Progressieve supranucleaire parese
Neem het voorbehoud bij medische informatie in acht.
Raadpleeg bij gezondheidsklachten een arts.
Raadpleeg bij gezondheidsklachten een arts.
| Progressieve supranucleaire parese - PSP | ||||
|---|---|---|---|---|
| ||||
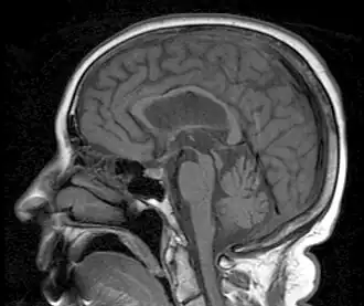
Een sagittale MRI-afbeelding toont atrofie in het mesencephalon kenmerkend voor PSP.
| ||||
| Coderingen | ||||
| ICD-11 | ||||
| OMIM | 601104 | |||
| DiseasesDB | 10723 | |||
| DOID | 678 | |||
| MedlinePlus | 000767 | |||
| eMedicine | neuro/328 | |||
| MeSH | D013494 | |||
| ||||
Progressieve supranucleaire parese[1] of progressieve supranucleaire paralyse[2] (PSP) wordt ook wel genoemd syndroom van Steele-Richardson-Olszewski. De aandoening begint doorgaans tussen het 50e en 80e levensjaar en wordt gekenmerkt door parkinsonisme, gestoorde oogbewegingen en dementie. Vaak gaat de patiënt ook naar beneden of boven kijken in plaats van recht vooruit en neemt de loopsnelheid af. Ook vallen zij vaak en hebben ze regelmatig slikstoornissen.
