Pneumocystis jiroveci
| Pneumocystis jirovecii | |||||||||||||
|---|---|---|---|---|---|---|---|---|---|---|---|---|---|
| |||||||||||||
| P. jirovecii-cysten in weefsel | |||||||||||||
| Taxonomische indeling | |||||||||||||
| |||||||||||||
| Soort | |||||||||||||
| Pneumocystis jirovecii Frenkel (1976 [1]) | |||||||||||||
| Afbeeldingen op | |||||||||||||
| |||||||||||||

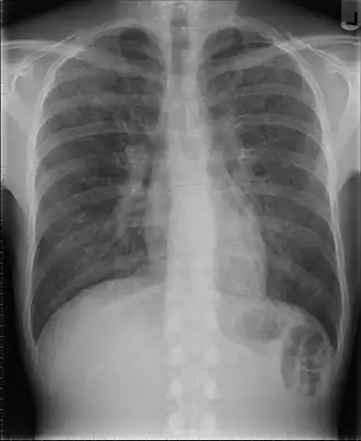
Pneumocystis jirovecii, voorheen ook Pneumocystis carinii genaamd, is een gist en genoemd naar de Tsjechische onderzoeker Otto Jírovec.[2] Deze kan verantwoordelijk zijn voor het ontstaan van longontstekingen bij immuungecompromitteerde patiënten, zoals hiv-patiënten of gebruikers van immunosuppressiva. Deze soort longontsteking was vroeger bekend als Pneumocystis carinii-pneumonie (PCP). Omdat de afkorting al ingeburgerd was in de medische wereld, werd de afkorting na de naamsverandering behouden en wordt de ziekte nu Pneumocystis jirovecii-pneumonie genoemd.
Ook de spelling Pneumocystis jiroveci wordt veel gebruikt, maar deze is achterhaald.[3]

Bronnen, noten en/of referenties
- ↑ (en) Index Fungorum
- ↑ Parasieten algemeen, Nederlandse Vereniging voor Parasitologie
- ↑ James R. Stringer, Charles B. Beard, and Robert F. Miller (2009). Spelling Pneumocystis jirovecii. Emerg Infect Dis. 15 (3): 506. PMC 2681121. DOI: 10.3201/eid1503.081060.
