Platwormen

Platwormen
Fossiel voorkomen: Perm[1]heden
Mogelijke overblijfselen uit Ordovicium[2]
Pseudobiceros bedfordi, een in zee levende
platworm met een opvallend groot lichaam
Taxonomische indeling
Rijk:Animalia (Dieren)
Onderrijk:Eumetazoa (Orgaandieren)
Clade:Bilateria
Stam
Platyhelminthes
Claus, 1887
Afbeeldingen op Wikimedia Commons Wikimedia Commons
Platwormen op Wikispecies Wikispecies
Portaal  Portaalicoon   Biologie

Platwormen (Platyhelminthes) vormen een omvangrijke stam van ongewervelde dieren die gekenmerkt worden door een plat en langwerpig lichaam. Platwormen behoren tot de Bilateria maar zijn in tegenstelling tot veel andere dieren acoelomaat (de lichaamsholte ontbreekt) en hebben een zeer eenvoudige organisatie. Ook hebben ze geen gespecialiseerd circulatiesysteem of ademhalingsorganen. Transport van zuurstof en voedingsstoffen vindt plaats middels diffusie door hun dunne weefsels.

Er zijn ongeveer 20.000 soorten platwormen bekend, die allemaal in vochtige omstandigheden leven. De meeste soorten leven onder water of in de weefsels van andere dieren. Veel platwormen, zoals de lintwormen, hebben een parasitaire levenswijze, maar er zijn ook soorten die vrijlevend zijn. Vrijlevende soorten in zoet of zout water zijn vaak afvaleters, maar ook jagende platwormen komen voor. Het voedsel wordt eerst voorzien van verterende sappen, waarna het halfverteerde voedsel met de monddelen naar binnen wordt gezogen.

Platwormen maken deel uit van de Lophotrochozoa, een van de drie hoofdgroepen binnen de Bilateria. Uit analyses vanaf 1980 bleek dat de Platyhelminthes uit twee monofyletische subgroepen bestaat: Catenulida en Rhabditophora.[3] In het verleden werden de platwormen beschouwd als een primitieve groep binnen de Bilateria, maar tegenwoordig wordt één subgroep, de Acoelomorpha, gezien als de basale clade. De overgebleven platwormen vormen een monofyletische groep.

Kenmerken

Verschillende soorten platwormen. Kunstformen der Natur (1904), plaat 75

Platwormen zijn tweezijdig symmetrische dieren: hun linker- en rechterkant zijn spiegelbeelden van elkaar; de boven- en onderzijde, maar ook de kop- en staartuiteinden zijn wel verschillend.[4] Net als veel andere dieren (alle Bilateria) hebben platwormen drie kiemlagen: endoderm, mesoderm en ectoderm. Platwormen zijn zo simpel van bouw dat ze meestal gedefinieerd worden door te noemen wat ze niet hebben. In tegenstelling tot veel andere dieren hebben platwormen geen coeloom (inwendige lichaamsholte), ze worden daarom 'acoelomaat' genoemd. Een bloedsomloop en ademhalingsorganen ontbreken.[4] Het lichaam is zacht en ongesegmenteerd, in tegenstelling tot andere wormen zoals oligochaeten.

Eigenschap Neteldieren en ribkwallen Platwormen[4] Hoger ontwikkelde Bilateria[5]
Bilaterale symmetrie Nee Ja
Aantal kiembladen Twee (met ertussen een laag mesoglea) Drie
Hersenen Nee Ja
Verteringsstelsel Nee Ja
Excretiestelsel Nee Ja
Coeloom Nee Ja
Circulatie- en ademhalingsstelsel Nee Ja

Platwormen kunnen enkele millimeters tot soms 20 meter lang worden, hebben een zeer zacht en plat lichaam en twee of meer ogen aan de voorzijde bij de kop. De kop is meestal van de achterzijde te onderscheiden door een iets andere vorm of een insnoering, en de lichtere of juist donkere oogvlekken. Deze 'ogen' kunnen slechts grote veranderingen in de lichtval waarnemen en niet echt zien zoals veel zoogdieren kunnen.

Een platworm heeft geen bloed; de huid is zo dun dat zuurstof erdoorheen dringt en de organen en spieren bereikt. De mond- en geslachtsopeningen liggen meestal aan de buikzijde. De voortbeweging geschiedt met behulp van trilharen (enkel de trilhaarwormen) en spieren. Het spijsverteringsstelsel, de zogenaamde gastrovasculaire holte, bestaat meestal uit een sterk vertakt kanaal, waarin vertering plaatsvindt door fagocytose van de endodermcellen; een anus ontbreekt echter, de mond fungeert als anus.[4]

Sommige platwormen, zoals de lintwormen, bezitten zelfs geen spijsverteringsstelsel: excretie gebeurt aan de hand van een protonephridiumbuisje, bestaande uit vlamcellen (solenocyten) die in verbinding staan met twee afvoerkanaaltjes. Dit zijn cellen met cilia die filteren en de afvalstoffen in één kanaal brengen. Ook het zenuwstelsel is vrij rudimentair, er komen slechts enkele zenuwstrengen voor.

Voortplanting en levenscyclus

Platwormen zijn net als veel andere wormachtige dieren tweeslachtig en kunnen zowel mannelijke als vrouwelijke geslachtscellen produceren. Ook kan een aantal platwormen zich letterlijk in tweeën delen, waarna beide delen kunnen uitgroeien tot aparte exemplaren. Andere platwormen doen aan zelfbevruchting. Het vervelende van veel parasitaire platwormen is dat de verschillende stadia, soms wel vijf, door faecaliën verspreid worden en zo overal terechtkomen, zoals in straatvuil en drinkwater. Sommige soorten, zoals de beruchte vossenlintworm (Echinococcus multilocularis), kunnen na besmetting levensgevaarlijk zijn voor mensen. Niet alleen vossen maar ook honden, katten en knaagdieren kunnen drager zijn van deze platworm.

Onderzoek, gepubliceerd in het vooraanstaande wetenschappelijke tijdschrift Science, heeft uitgewezen dat niet-parasitaire platwormen (klasse Turbellaria) geen centrosoom in hun cellen hebben en toch een normale celdeling lijken te hebben. Daardoor is onduidelijk geworden wat de rol van een centrosoom is, omdat altijd werd verondersteld dat de centrosomen een essentiële rol spelen bij de kerndeling.[6]

Indeling en taxonomie

Voor een uitgebreid overzicht, zie Taxonomie van de platwormen.

Er bestaan veel verschillende opvattingen over de taxonomische indeling van de platwormen. Nog steeds zeer gangbaar is een indeling van de Platyhelminthes in vier klassen: Turbellaria, Trematoda, Monogenea and Cestoda. In 1985 werd een fylogenetisch correctere classificatie voorgesteld, waarbij het uiterst parafyletische "Turbellaria" werd opgesplitst in verschillende ordes, en Trematoda, Monogenea en Cestoda werden samengevoegd in de nieuwe orde Neodermata.[7] De indeling die hier wordt gebruikt is de meer traditionele classificatie van de platwormen.

Trilhaarwormen

De trilhaarworm Pseudoceros dimidiatus

Trilhaarwormen (Turbellaria) bestaan uit ongeveer 4500 soorten, zijn meestal vrijlevend en variëren in lichaamsgrootte van 1 tot 600 mm.[5] De meeste trilhaarwormen zijn predatoren of aaseters. Soorten die op het land leven zijn meestal nachtactief en leven in schaduwrijke, vochtige omgevingen. Andere soorten hebben een symbiotische levenswijze en leven in ongewervelde dieren zoals kreeftachtigen, soms als parasiet. Vrijlevende trilhaarwormen zijn meestal zwart, bruin of grijs, maar er zijn ook soorten met een felgekleurd lichaam.[4] De Acoela en Nemertodermatida werden in het verleden ook ondergebracht bij Turbellaria, maar worden nu beschouwd als een aparte fylum, de Acoelomorpha.[8]

De meeste trilhaarwormen hebben een of twee paar pigmentrijke ocelli (oogjes). Met behulp van ocelli kunnen platwormen de richting van licht en schaduw inschatten, zodat ze predatoren kunnen ontwijken. Sommige soorten hebben ook een rudimentair evenwichtsoorgaan, de zogenaamde statocysten. Aangenomen wordt dat deze statocysten een rol spelen bij balans en voortbeweging, maar de precieze werking van deze orgaantjes is onbekend. Veel soorten hebben verspreid over hun lichaam ook andere sensorische cellen, gespecialiseerd in tastzin en reukzin.[5]

Vrijwel alle trilhaarwormen zijn tweeslachtig en vormen zowel vrouwelijke als mannelijke voortplantingscellen. Bevruchting vindt over het algemeen inwendig plaats (copulatie). Sommige grotere soorten gaan tijdens de paring een duel met elkaar aan, waarbij ze elkaar proberen te bevruchten en de verliezer de taak krijgt om de eieren te ontwikkelen. Uit de eieren ontstaan vaak kleine platwormpjes die sprekend lijken op de adulten; sommige grote soorten produceren planktonachtige larfjes.[5]

Zuigwormen

De zuigwormen (Trematoda) zijn parasitaire platwormen die voor hun levenscyclus afhankelijk zijn van andere dieren, veelal gewervelden. Ze hebben vaak een mondzuignap en een buikzuignap, waarmee ze zich vasthechten in de organen van de gastheer. De huid van alle soorten bestaat uit een syncytium, een laag cellen die door een enkel extern membraan is omgeven. Zuigwormen worden verdeeld in twee groepen: de grote groep Digenea en de kleinere groep Aspidogastrea.[5]

Helicometra sp. uit de darm van de kardinaalsbaars Apogon maculatus

Digenea zijn een zeer soortenrijke groep binnen de platwormen. Met ongeveer 11.000 soorten vormen ze het meer dan de helft van alle bekende platwormen. Hoewel de naam Digenea 'twee generaties' betekent, hebben de meeste soorten zeer complexe levenscycli waarin wel zeven gastheren kunnen voorkomen, afhankelijk van de omgeving waar de eieren worden afgezet. De definitieve gastheer (het stadium waarin de platworm uitgroeit tot een volwassen vorm), is vaak een gewervelde; de vroegste gastheer van juveniele stadia is meestal een slak, de tweede gastheer is meestal een vis of geleedpotige.[5]

Digenea worden over het algemeen 0,2 mm tot 6 mm lang. De volwassen individuen zijn meestal van gescheiden geslacht. De mannetjes en vrouwtjes zoeken elkaar op en blijven lange tijd aan elkaar gekleefd. Bij alle soorten hebben de adulten complexe voortplantingssystemen die 10.000 tot 100.000 keer zoveel eieren kunnen produceren ten opzichte van een vrijlevende platworm. Bovendien hebben veel soorten ook het vermogen om zich gedurende een tussenstadium ongeslachtelijk voor te planten.[5] Sommige vertegenwoordigers van Digenea kunnen ernstige ziektes veroorzaken bij de mens, zoals schistosomiasis.[9]

Monogenea

Illustratie van Microcotyle visa (Monogenea), een kleine platworm die parasiteert op zeevissen

Van de ongeveer 1100 soorten Monogenea zijn veruit de meeste ectoparasieten die een gastheer nodig hebben, voornamelijk vissen, maar in sommige gevallen ook amfibieën of in het water levende reptielen. Een paar zijn echter inwendige parasieten. De meeste Monogenea zijn kleine platwormen, ze worden zelden groter dan twee centimeter. Sommige soorten kunnen enzymen afscheiden (uit hun farynx) om daarmee de huid van de gastheer af te breken, zodat de parasiet zich kan voeden met bloed en celresten. De naam "Monogenea" slaat op het feit dat deze platwormen slechts één niet-larvale generatie in hun levenscyclus hebben.[5]

Lintwormen

Lintwormen (Cestoda) kenmerken zich door hun platte, slanke maar zeer lange lichaam dat vaak opgebouwd is uit herhalende segmenten. Er zijn ongeveer 6000 soorten bekend. De volwassen exemplaren zijn zonder uitzondering interne parasieten. Lintwormen hebben geen mond of verteringsstelsel; de huid absorbeert voedingsstoffen – voornamelijk koolhydraten en aminozuren – van de gastheer via diffusie. Lintwormen hebben een chemische camouflage om aan het immuunsysteem van de gastheer te ontsnappen.[5] De stofwisseling van lintwormen is dermate inefficiënt dat ze grote hoeveelheden voedsel aan de gastheer onttrekken om in leven te blijven.[4]

Bij de meeste lintwormen, met name de Eucestoda ("echte lintwormen"), groeien er uit de nekregio nieuwe segmenten die proglottiden worden genoemd. De oudste proglottiden zijn dus verst verwijderd van het hoofd, de scolex. Taenia saginata, een soort die ook bij de mens kan voorkomen, kan proglottidenketens vormen van meer dan 20 meter lang, hoewel 4 meter gebruikelijk is. Elke proglottide heeft zowel mannelijke als vrouwelijke voortplantingsorganen. Proglottiden van dezelfde platworm kunnen elkaar (en zelfs zichzelf) bevruchten. Wanneer de eieren volledig ontwikkeld zijn, laten de proglottiden los en worden ze uitgescheiden door de gastheer.

Evolutie en fylogenie

Platwormen hebben door het onbreken van harde lichaamsdelen een zeer mager fossielenbestand. De oudste fossielen die met zekerheid tot de platwormen behoren, zijn eitjes van lintwormen die bewaard zijn gebleven in een haaiencoproliet uit het Perm.[10] De oudst bekende vrijlevende platworm is een fossiel in Baltisch barnsteen uit het Eoceen. Deze soort werd geplaatst in het monotypische geslacht Micropalaeosoma.[11] De platwormen hebben zeer weinig synapomorfieën (onderscheidende kenmerken), en dit maakt het erg lastig om hun verwantschappen met andere groepen dieren aan de hand van fossiele overbijfselen uit te werken.[12]

In 2019 werden bruinachtige weefselstructuren gevonden in een gesteentelaag uit het late Ordovicium.[2] Deze weefsels zijn mogelijk overblijfsels van een trilhaarworm (Turbellaria), maar het zou ook kunnen gaan om een vroege vertegenwoordiger van de Acoelomorpha of Nemertea.[2]

Fylogenie

Op basis van moleculaire gegevens – aan de hand van DNA, RNA en andere biochemische aanwijzingen – kon de evolutionaire positie van Platyhelminthes en zijn relatie tot andere groepen in het dierenrijk worden vastgesteld. Uit morfologische onderzoeken en moleculaire fylogenetische analyses sinds 2000 blijkt dat Acoelomorpha, bestaande uit Acoela (traditioneel beschouwd als zeer eenvoudige 'trilhaarwormen') en Nemertodermatida (een andere een kleine groep die voorheen werd geclassificeerd als "trilhaarwormen") een zustergroep is van alle Bilateria.[13][14] De verwantschappen tussen platwormen en andere Bilateria is weergegeven in onderstaande fylogenetische boom:

Bilateria

 Acoelomorpha




 Deuterostomia


 Protostomia

 Ecdysozoa


 Spiralia

 Gnathifera


 Platytrochozoa
Rouphozoa

 Gastrotricha



 Platyhelminthes



 Lophotrochozoa

 Mollusca



 Annelida








Relatie met de mens

Parasitisme

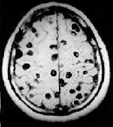
MRI-opname van een patiënt met ernstige hersencysticercose

Lintwormen (Cestoda) en Digenea kunnen vele ziekten veroorzaken bij de mens en bij vee. Veel soorten Monogenea kunnen ook visteelt ernstig aantasten.[15] Schistosomiasis is de op een na dodelijkste parasitaire ziekte in tropische landen, na malaria. Geschat wordt dat wereldwijd ongeveer 200 miljoen mensen besmet zijn met de ziekte, voornamelijk in Afrikaanse landen. Het sterftecijfer van de schistosomiasis is laag, maar manifesteert zich gewoonlijk als chronische ziekte waarbij de ingewanden beschadigd raken. De ziekte wordt veroorzaakt door verschillende soorten van het geslacht Schistosoma: platwormen die door de menselijke huid kunnen dringen.

In het jaar 2000 waren naar schatting 45 miljoen mensen besmet met de runderlintworm (Taenia saginata) en 3 miljoen met de varkenslintworm (Taenia solium).[15] Een infectie van het spijsverteringsstelsel door een volwassen lintwormen veroorzaakt buikklachten die, hoewel onaangenaam, zelden invaliderend of levensbedreigend zijn.[16] Wanneer de larven van T. solium echter het centrale zenuwstelsel binnendringen (cysticercose), is de kans op epilepsie groot. In 2000 waren ongeveer 39 miljoen mensen besmet met trematoden die van nature in vis en schaaldieren parasiteren. Infectie door de vislintworm Diphyllobothrium kan een vitamine B12-tekort en, in ernstige gevallen, megaloblastaire anemie veroorzaken.

Het gevaar voor platworminfecties neemt in ontwikkelde landen toe als gevolg van bepaalde maatschappelijke trends. Voorbeelden zijn de toename van de biologische landbouw, de groeiende populariteit van rauw of licht gekookt voedsel, en een verhoogde invoer van vlees, zeevruchten en saladegroenten uit risicogebieden. In minder ontwikkelde landen blijven gebrekkige sanitaire voorzieningen en het gebruik van menselijke ontlasting als meststof een belangrijke oorzaak voor de verspreiding van parasitaire platwormen. Veel soorten platwormen zijn bovendien resistent geworden tegen anti-parasitaire geneesmiddelen die in het verleden wel effectief waren.[15]

Voordelen

Er zijn enkele landen die platwormen gebruiken als biologisch bestrijdingsmiddel. Zo is in Hawaï de platworm Endeavouria septemlineata ingezet om de invasieve grote agaatslak te bestrijden. Platydemus manokwari, een andere parasitaire platworm, is voor hetzelfde doel gebruikt in de Filipijnen, Indonesië en Nieuw-Guinea. Hoewel de agaatslak in Hawaï sterk is afgenomen, zijn er twijfels gerezen over de mate waarin E. septemlineata heeft bijgedragen aan deze achteruitgang. Het gebruik van parasitaire platwormen voor biologisch bestrijding moet strikt gecontroleerd plaatsvinden, aangezien de platwormen ook inheemse weekdieren kunnen verdrijven.[17]

Zie ook

Zie de categorie Platyhelminthes van Wikimedia Commons voor mediabestanden over dit onderwerp.