Plasmodium malariae
| Plasmodium malariae | |||||||||||||
|---|---|---|---|---|---|---|---|---|---|---|---|---|---|
| |||||||||||||
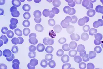
| Giemsa-kleuring van Plasmodium malariae | |||||||||||||
| Taxonomische indeling | |||||||||||||
| |||||||||||||
| Soort | |||||||||||||
| Plasmodium malariae Grassi & Feletti, 1890 | |||||||||||||
| Afbeeldingen op | |||||||||||||
| Plasmodium malariae op | |||||||||||||
| |||||||||||||
Plasmodium malariae is een eencellige en een van de vijf Plasmodium-soorten die malaria bij de mens veroorzaken. P. malariae is verantwoordelijk voor de goedaardige malariavariant "Malaria quartana". P. malariae veroorzaakt ongeveer 10% van de malariagevallen.[1]
Bronnen, noten en/of referenties
- ↑ Hoepelman, Noorda, Sauerwein en Verbrugh (red.), Microbiologie en infectieziekten, Bohn Stafleu Van Loghum, 2002
