Perimetrium

Het perimetrium[1] of tunica serosa uteri is de buitenste sereus vliezige laag van de baarmoeder, afkomstig van het buikvlies dat over de fundus uteri ligt, en kan worden beschouwd als een visceraal (visceraal = met betrekking tot de ingewanden) peritoneum. Het bestaat uit een oppervlakkige laag mesotheel en daaronder een dunne laag los bindweefsel. Verder liggen er het endometrium (baarmoederslijmvlies) (binnenste laag) en het myometrium (middelste laag).
Aan de voorkant bedekt het perimetrium de fundus en het bovenste deel van de baarmoeder totdat het het bovenstandige oppervlak van de aangrenzende urineblaas raakt, wat resulteert in een holle plooi van het buikvlies die de holte van Douglas wordt genoemd. Aan de achterkant bedekt het perimetrium het hele oppervlak van de baarmoeder tot aan de baarmoederhals, waar het zich vervolgens terugvouwt naar de aangrenzende endeldarm om de holte van Douglas te vormen, het laagste deel van de buikvliesholte binnen het buikvlies. Lateraal gaat het perimetrium over in de sereuse vliezen van de brede ligamenten van de baarmoeder. Het brede ligament van de baarmoeder is de brede vouw van het buikvlies die de zijkanten van de baarmoeder verbindt met de wanden en de bodem van het bekken.
-
Uterus fundus (bovenaan) -
Holte van Douglas (excavatio vesicouterina) label rechts onder -
Ligamentum latum uteri (broad ligament) -
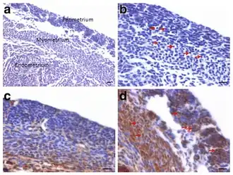
Muis. a: myometrium en perimetrium rondom het binnenste endometrium. b: Bij hogere vergroting bestaat het myometrium uit zowel ronde cellen (pijl) als dun verspreide stromale cellen. Schaalbalk is 20 μm. -
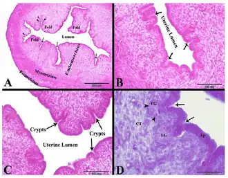
Konijnenbaarmoeder na 3-7 dagen schijnzwangerschap. Uterine lumen=baarmoederholte. Crypt=baarmoederslijmvliesklier
Externe link
- ↑ Everdingen, J.J.E. van, Eerenbeemt, A.M.M. van den (2012). Pinkhof Geneeskundig woordenboek (12de druk). Bohn Stafleu Van Loghum, Houten.
- Dit artikel of een eerdere versie ervan is een (gedeeltelijke) vertaling van het artikel Perimetrium op de Engelstalige Wikipedia, dat onder de licentie Creative Commons Naamsvermelding/Gelijk delen valt. Zie de bewerkingsgeschiedenis aldaar.