Percutane coronaire interventie
Raadpleeg bij gezondheidsklachten een arts.


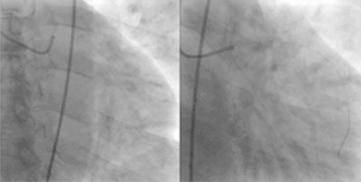
Een percutane coronaire interventie (PCI) – tot 2006 werd in de medische nomenclatuur gesproken van een percutane transluminale coronaire angioplastiek (PTCA) – is een angioplastiek, ook wel 'dotteren' genoemd, van een vernauwing (stenose) in een kransslagader.
De ingreep bestaat uit het met een hartkatheterisatie vergelijkbare procedure inbrengen van een ballonnetje en dat vervolgens op te blazen. Het bloedvat wordt zo opgerekt en kan weer voldoende bloed doorlaten. Vaak wordt daarbij tevens een stent geplaatst: een (meestal) stalen veertje met een bepaalde vorm dat in opgevouwen toestand wordt ingebracht en op de juiste plaats tot ontplooiing wordt gebracht. Het zorgt er voor dat het bloedvat open blijft. Problemen die na het plaatsen van een stent kunnen ontstaan, zoals de vorming van bloedstolsels op het lichaamsvreemde materiaal of het dichtslibben van het vat net naast de geplaatste stent zijn met medicatie grotendeels te voorkomen.
De uitvinder en naamgever van deze techniek is de Amerikaanse arts Charles Dotter.