Orbitofrontale cortex
| Cortex orbitofrontalis | ||||
|---|---|---|---|---|
| Orbitofrontale cortex | ||||
| ||||
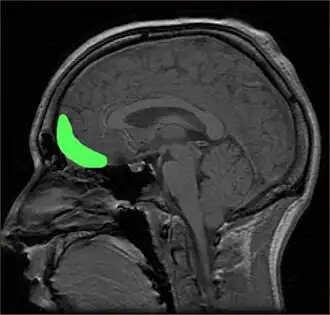
Op deze MR-scan is de cortex orbitofrontalis aangegeven in groen.
| ||||
| Synoniemen | ||||
| Nederlands | orbitofrontale schors orbitofrontale hersenschors[1] | |||
| Gegevens | ||||
| Onderdeel van | cortex praefrontalis | |||
| ||||
De cortex orbitofrontalis[2] of orbitofrontale cortex[1] is het onderdeel van de prefrontale schors van de grote hersenen.[2]. Het schorsgebied ligt boven de oogkassen (Latijn: orbitae). Voor het meer centrale deel wordt ook wel de benaming ventromediale prefrontale cortex gebruikt.
Anatomie
Het gebied ligt aan de basis van de prefrontale cortex en omvat de lagere delen van gebied 47 en de mediale delen van gebieden 9 tot 12.
Circuits
De orbitofrontale cortex heeft veel verbindingen met de amygdala en ontvangt als input geur-, smaak-, geluids- en tastprikkels en visuele informatie uit de secundaire visuele gebieden in de temporale kwab.
Functie
De orbitofrontale cortex maakt deel uit van een affectief netwerk in de hersenen, dat verantwoordelijk is voor de verwerking en controle van emotionele prikkels. Ook de amygdala en de cortex cingularis anterior maken deel uit van dit netwerk. Antonio Damasio van de Universiteit van Iowa is van mening dat de orbitofrontale cortex belangrijk is voor het nemen van affectieve beslissingen. Laesies in dit gebied gaan namelijk vaak gepaard met een onvermogen om emotionele prikkels te evalueren en/of beslissingen te nemen aan de hand van feedback (terugkoppeling) van sociaal- en emotioneel-relevante informatie. Antonio Damasio verbond hieraan zijn theorie van de somatische stempels (Engels: somatic markers) (fysiologische reacties bij emoties). Patiënten met laesies in de cortex orbitofrontalis zouden minder goed in staat zijn deze lichamelijke prikkels te benutten. Ook kunnen zij een ontremming in gedrag tot gevolg hebben (zie ook Phineas Gage). Edmund Rolls van de Universiteit van Oxford is van mening dat de orbitofrontale cortex een belangrijke rol speelt in het aanleren van associaties tussen een stimulus en een bekrachtiger (beloning of straf). Hierbij treedt vermoedelijk ook langetermijnpotentiëring op in corticale synapsen. Bij laesies in dit gebied ontstaan met name problemen als de relatie tussen stimulus en bekrachtigers wordt omgekeerd; beloning wordt straf en omgekeerd. Patiënten kunnen dan moeilijk omschakelen. Ook treedt er geen extinctie op: de respons blijft maar voortduren, ook als de bekrachtiger (bijvoorbeeld een beloning) afwezig blijft.
Literatuurverwijzingen
- ↑ a b Kessels, R., Eling, P., Ponds, R., Spikman, J & Zandvoort, M. van (Red.) (2012). Klinische neuropsychologie. Amsterdam: Uitgeverij Boom.
- ↑ a b Nieuwenhuys, R., Voogd, J., Huijzen, C. van (1988). The human central nervous system: a synopsis and atlas (3de uitgave). Berlijn/Heidelberg/New York: Springer
- Damasio, A.R. (1994). Descartes' Error: Emotion, Reason and the Human Brain. Putnam, New York.
- E.R. Rolls (1999). The brain and Emotion. Oxford University Press. Oxford.
