Nasofarynxcarcinoom
Raadpleeg bij gezondheidsklachten een arts.
| Nasofarynxcarcinoom | ||||
|---|---|---|---|---|
| ||||
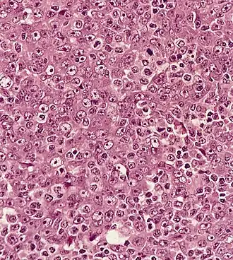
Gemetastaseerd nasofarynxcarcinoom in een lymfeknoop
| ||||
| Synoniemen | ||||
| Nederlands | nasofaryngeaal carcinoom[1] | |||
| Coderingen | ||||
| ICD-11 | ||||
| OMIM | 161550 | |||
| DiseasesDB | 8814 | |||
| DOID | 9261 | |||
| eMedicine | ped/1553 | |||
| MeSH | D009303 | |||
| ||||
Nasofarynxcarcinoom[1] (ook wel NPC naar de Engelse term nasopharyngeal carcinoma) is een in Europa en de Verenigde Staten zeer zeldzame vorm van plaveiselcelcarcinoom (kanker van het plaveiselcelepitheel) in de neus- en keelholten.
Epidemiologie
In Europa en de Verenigde Staten is de incidentie van nasofarynxcarcinoom 0,5 tot 2 gevallen per 100.000 persoonsjaren (per persoon per jaar).[2] Het betreft hier meestal de WHO type I-vorm van nasofarynxcarcinoom wordt en is meestal gerelateerd aan het gebruik van carcinogenen als alcohol en tabak.[3]
In Zuidoost-Azië komt nasofarynxcarcinoom veel vaker voor en wordt hier endemisch genoemd.[2][4] De incidentie varieert daar van 3 per 100.000 persoonsjaar in het noorden van China tot meer dan 25 in het zuiden van China. Ook onder Chinezen in Singapore en in de Verenigde Staten is de incidentie hoog.[2] De gevallen van nasofarynxcarcinoom in deze gebieden behoren meestal tot het WHO type II en III. De oorzaak van de hoge incidentie is een combinatie van omgevingsfactoren, besmetting met het Epstein-Barr virus en genetische aanleg. Deze kankervorm komt maar zeer zelden voor bij mensen die jonger zijn dan 18 jaar.
Risicofactoren
Er zijn enkele bekende risicofactoren en ziekten waarbij de kans op nasofarynxcarcinoom groter is.
Omgevingsfactoren
Bekende kankerverwekkende stoffen zoals alcohol en tabak vallen onder deze categorie.[3] Daarnaast worden specifiek voor nasofarynxcarcinoom in Zuidoost-Azië omgevingsfactoren als gezouten vis, nitraten, geconserveerde groenten en Chinese kruiden genoemd.[5][6]
Infectie
Personen die een infectie met het Epstein-Barr virus hebben doorgemaakt, hebben een verhoogd risico om een nasofarynxcarcinoom te krijgen.
Klachten
- Langdurig verstopte neus of doofheid waarbij een normale neusspray niet (meer) werkt.
- Pijn in de neus, keel of diep in het hoofd
- Pijn in de kaakgewrichten en kaakspieren bij het eten
- Storingen van de diepteperceptie in vergevorderde stadia
Beloop
De kans op genezing is afhankelijk van de uitbreiding van de tumor bij ontdekking. Bij ontdekking in een vroeg stadium zijn er goede mogelijkheden voor behandeling en ligt de genezingskans rond 60 tot 80%. Als de tumoren echter al groter zijn, dan is nasofarynxcarcinoom zeer moeilijk te behandelen (genezingskans van 10-50%). De meeste gevallen zijn bij ontdekking echter al ver gevorderd. Er worden drie histologische subtypen onderscheiden.
Behandeling
De meest toegepaste behandeling is bestraling, bij stadium II en hoger aangevuld met chemotherapie.[7] Daarnaast wordt ook radiotherapie in de vorm van brachytherapie toegepast.
Bronnen
- ↑ a b Everdingen, J.J.E. van, Eerenbeemt, A.M.M. van den (2012). Pinkhof Geneeskundig woordenboek (12de druk). Houten: Bohn Stafleu Van Loghum.
- ↑ a b c Chang ET, Adami H-O. (2006) The Enigmatic Epidemiology of Nasopharyngeal Carcinoma Cancer Epidemiology Biomarkers Prevention. 2006; 15 (10):1765-77. PMID 17035381
- ↑ a b E Vokes, RR Weichselbaum, SM Lippman and WK Hong. (1993) Medical progress in head and neck cancer, New Engl J Med 383 (1993), pp. 184–194. PMID 10213566
- ↑ Altun M, Fandi A, Dupuis O, Cvitkovic E, Krajina Z, Eschwege F. (1995) Undifferentiated nasopharyngeal cancer (UCNT): current diagnostic and therapeutic aspects. Int J Radiat Oncol Biol Phys. 1995 Jun 15;32(3):859-77. PMID 7790274
- ↑ Yuan JM, Wang XL, Xiang YB, Gao YT, Ross RK, Yu MC. (2000) Preserved foods in relation to risk of nasopharyngeal carcinoma in Shanghai, China. Int J Cancer. 2000 Feb 1;85(3):358-63. PMID 10652427
- ↑ Farrow DC, Vaughan TL, Berwick M, Lynch CF, Swanson GM, Lyon JL. (1998) Diet and nasopharyngeal cancer in a low-risk population. Int J Cancer. 1998 Dec 9;78(6):675-9. PMID 9833758
- ↑ Nasopharyngeal Cancer Treatment NCI cancer.gov
