Musculus arrector pili
| Haaroprichter | ||||
|---|---|---|---|---|
| Musculus arrector pili | ||||
| Spier | ||||
| Synoniemen | ||||
| Nederlands | pilo-errector[1] haarspiertje | |||
| Gegevens | ||||
| Zenuw | autonoom zenuwstelsel | |||
| Actie | spannen van de haarwortel | |||
| ||||
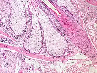
De musculus arrector pili[2] (meervoud: musculi arrectores pilorum) of haaroprichter[1] is een kleine spier bestaand uit glad spierweefsel die zich bij elke haarwortel bevindt van zoogdieren. Het is een onwillekeurige spier die de mogelijkheid biedt om onze haren rechtovereind te zetten (kippenvel). Als deze spier zich aanspant, gaan onze haren rechtovereind staan.
De haren worden altijd onder een bepaalde hoek ingepland. De musculus arrector pili is altijd terug te vinden aan de stompe hoek. Zo is het principe van thermoregulatie verder te verklaren: reflexmatig wordt de spier gecontraheerd waardoor de volledige haarfollikel tezamen met het haartje recht wordt getrokken. Hierdoor wordt de stilstaande lucht dat tussen de haren zit iets dikker. Hoe dikker de stilstaande lucht, hoe beter de isolatie.
De samentrekkingen zijn onvrijwillig, maar nog andere factoren zoals stress, spanning... kunnen leiden tot het contraheren van deze spier.
