Morbus Bowen
Raadpleeg bij gezondheidsklachten een arts.
| Ziekte van Bowen | ||||
|---|---|---|---|---|
| Morbus Bowen | ||||
| ||||
| Synoniemen | ||||
| Latijn | dyskeratosis maligna[1] | |||
| Coderingen | ||||
| ICD-11 | ||||
| ICD-O | 8081/2 | |||
| DiseasesDB | 1569 | |||
| eMedicine | derm/59 | |||
| MeSH | D001913 | |||
| ||||
Morbus Bowen[1] ofwel de ziekte van Bowen[2] is een voorstadium van huidkanker. Het wordt beschouwd als een (plaveiselcel)-carcinoma in situ: dat wil zeggen een kanker die niet doorgroeit naar diepere huidlagen en dus niet uitzaait. Als geen behandeling wordt ingesteld kan er uit deze plekken huidkanker ontstaan. Daarom wordt de aandoening in de regel behandeld.
Achtergrond
Verschillende oorzaken zijn:
- Actinische beschadiging van de huid: schade door zonlicht, UV- of röntgenstraling.
- Arseen (werd vroeger wel toegepast als medicament en als bestrijdingsmiddel).
- HPV-infectie.
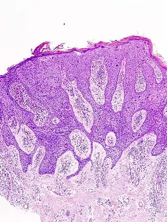
De diagnose morbus Bowen wordt gesteld door middel van histologisch onderzoek. De cellen van de opperhuid zien er dan onrustig (atypisch) uit: onregelmatig van vorm, wisselend van kleur, ongeordend van ligging. Bij morbus Bowen is deze onrust aanwezig over de gehele dikte van de opperhuid. Per definitie blijven de afwijkingen tot de opperhuid beperkt, en groeien ze niet de dermis (lederhuid) in, want dan zou er sprake zijn van een plaveiselcelcarcinoom. Echter in de praktijk is dit verschil niet altijd even duidelijk vast te stellen; ook getrainde pathologen komen vrij vaak tot uiteenlopende conclusies.[3][4]
Behandeling
Excisie heeft als voordeel dat het zeer effectief is, en controle mogelijk maakt (waarbij wordt nagegaan of de afwijking helemaal verwijderd is en of de diagnose klopt). Nadeel is dat er een operatie voor nodig is (die een litteken achterlaat, en het risico op wondinfectie met zich meebrengt). De andere methoden zijn minder effectief, maar laten (meestal) minder ernstige littekens achter.
Zie ook
- Keratosis actinica: minder ernstige atypie van keratinocyten
- Bowenoïde papulose: morbus-Bowen-achtige afwijkingen in de schaamstreek.
- Erytroplasie van Queyrat: morbus Bowen van de penis
- Plaveiselcelcarcinoom
- ↑ a b Reuter, P. (2007). Springer Klinisches Wörterbuch. Heidelberg: Springer Medizin Verlag.
- ↑ Beijer, T. & Apeldoorn, C.G.L. (1996). Woordenboek van medische eponiemen. Houten/Diegem: Bohn Stafleu Van Loghum.
- ↑ Jagdeo J, Weinstock MA, Piepkorn M, et al. Reliability of the histopathologic diagnosis of keratinocyte carcinomas. J Am Acad Dermatol. 2007 Aug;57(2):279-84. PMID 17482716
- ↑ Ramos-Ceballos FI, Ounpraseuth ST, Horn TD. Diagnostic concordance among dermatopathologists using a three-tiered keratinocytic intraepithelial neoplasia grading scheme. J Cutan Pathol. 2008 Apr;35(4):386-91. PMID 18333899
.jpg)