Mitralisinsufficiëntie
Raadpleeg bij gezondheidsklachten een arts.

Een mitralisinsufficiëntie of mitralisklepinsufficiëntie is een lekkage van de mitralisklep, een van de vier hartkleppen.
Symptomen
De mitralisklep bevindt zich tussen het linkeratrium en linkerventrikel. Een lekkende (of insufficiënte) mitralisklep kan resulteren in hartfalen. Een mitralisinsufficiëntie resulteert in terugstroom van bloed van de linkerventrikel naar het linkeratrium. Dit kan uiteindelijk resulteren in pulmonale hypertensie en longoedeem. Longoedeem uit zich door kortademigheid (in eerste instantie bij inspanning, maar later ook in rust), orthopneu (kortademigheid bij platliggen) en nachtelijke kortademigheidsaanvallen. Bij lichamelijk onderzoek kan longoedeem worden ontdekt door fijne crepitaties (knetterende geluidjes) aan met name de dorsobasale (achter-onder) longvelden. Bovendien kan door verwijding van het linkeratrium atriumfibrilleren ontstaan.
Secundaire kenmerken
Mitralisklepinsufficiëntie kan bij auscultatie als geruis hoorbaar zijn over het hart. Specifiek is dan een blazende, systolische souffle te horen aan de apex van het hart, goed hoorbaar bij linkerzijligging. De luidheid zegt daarbij niets over de ernst. Het betreft een holosystolisch, blazend en hoogfrequent geruis. De tweede harttoon kan wijd gespleten zijn door verkorting van de ejectiefase van de linkerventrikel, de aortaklep sluit eerder dan de pulmonalisklep. Het kan lastig zijn het geruis dat past bij een aortastenose te onderscheiden van degene die passend is bij een mitralisinsufficiëntie. Voor een geoefend oor is het onderscheid echter goed te maken.
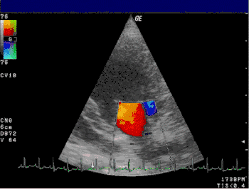
De gouden standaard voor de diagnose en de ernst van de mitralisinsufficiëntie is het afnemen van een echocardiogram. Verder kan een thoraxfoto bijdragend zijn. De aan- of afwezigheid van longoedeem kan middels een thoraxfoto worden beoordeeld en een vergroot linkeratrium kan leiden tot een zichtbaar stompe carinahoek van meer dan 60 graden.
Oorzaken


Een mitralisinsufficiëntie kan worden veroorzaakt door een afwijking van de klep zelf, bijvoorbeeld een afwijking aan de klepbladen, een afwijking aan het klepsteunapparaat of een combinatie van beide. Daarnaast kan sprake zijn van een functionele kleplekkage. De meest voorkomende oorzaken van mitralisinsufficiëntie zijn degeneratieve aandoeningen en ischemische hartziekten.
Klepgerelateerde oorzaken
Afwijkingen van de klepbladen
- Degeneratie van de mitralisklep, met toegenomen beweeglijkheid of slecht aansluiten van de kleppen als gevolg.
- Bacteriële endocarditis.
- Acuut reuma.
Afwijkingen van het steunapparaat
- Degeneratie van de chordae tendineae, dit kan fibro-elastische of myxomateuze degeneratie zijn, resulterend in verlenging van die chordae, waardoor een mitralisklepprolaps ontstaat, of resulterend in een verkorting van die chordae waardoor het betrokken klepblad restrictief wordt.
- Een ruptuur van een van de chordae tendineae of, in zeldzame gevallen, van de kop van een papillairspier, resulterend in een mitralisklepprolaps. Een papillairspierruptuur leidt tot een zeer ernstige lekkage en doorgaans tot acuut hartfalen, wat zich dan uit in een asthma cardiale.
Gecombineerde afwijkingen van de klepbladen en het steunapparaat
- Ziekte van Barlow, ofwel myxomateuze degeneratie van de klep en het steunapparaat. Goed te herkennen beeld met verdikte klepbladen met overmatige beweeglijkheid, overmatig klepweefsel en verlenging van de chordae tendineae.
Functionele mitralisinsufficiëntie
- Ischemische hartziekten.
- Systolisch linkerkamerfalen, met verwijding van de linkerkamer en dus de anulus of klepring.
- Hypertrofische cardiomyopathie.
Behandeling
Bij functionele oorzaken van de mitralisinsufficiëntie zal de behandeling gericht zijn op behandeling van de onderliggende oorzaken. Daarnaast, en bij klepgerelateerde oorzaken, zal eerst met medicijnen worden behandeld: diuretica en ACE-remmers. Bij een ernstig tekortschieten, bijvoorbeeld bij een chordaruptuur, zal chirurgische reparatie of vervanging van de hartklep worden verricht. Dit gebeurt door middel van een openhartoperatie of door middel van een endoscopische ingreep waarbij via de liesader toegang wordt verkregen tot het hart en een zogenoemde 'Mitraclip' wordt geplaatst. Bij mitraalklepvervanging kan een mechanische kunstklep of een biologische kunstklep worden geplaatst, de laatste is doorgaans afkomstig van een varken of rund.