Macrocytaire anemie
Neem het voorbehoud bij medische informatie in acht.
Raadpleeg bij gezondheidsklachten een arts.
Raadpleeg bij gezondheidsklachten een arts.
| Macrocytaire anemie | ||||
|---|---|---|---|---|
| ||||
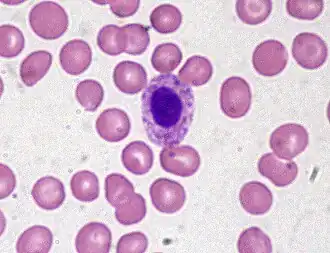
Rode bloedcellen bij macrocytaire anemie. In het midden een neutrofiele granulocyt
| ||||
| Synoniemen | ||||
| Latijn | anaemia megalocytaria[1] | |||
| Nederlands | megalocytaire anemie[1] | |||
| Coderingen | ||||
| DOID | 2361 | |||
| MeSH | D000748 | |||
| ||||
Macrocytaire anemie[2] is een vorm van bloedarmoede (anemie) die wordt gekenmerkt door macrocyten die groter ("macro") zijn dan normaal (normocyten). Men spreekt van macrocytaire anemie als het het gemiddelde volume van de bloedcellen (MCV) hoger is dan 100 femtoliter.
De belangrijkste oorzaken van macrocytaire anemie zijn vitamine-B12- en/of foliumzuurtekort. Voor deze gevallen wordt ook wel de term megaloblastaire anemie gebruikt. Andere oorzaken zijn onder andere overmatig gebruik van alcohol / alcoholverslaving, medicatie, leverziekten, overmatig lachgasgebruik en myelodysplastisch syndroom (MDS), een vorm van leukemie.
Pernicieuze anemie is een macrocytaire anemie.
Zie ook
Literatuurverwijzingen
.jpg)