Maaghoofdcel

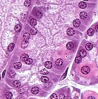
Een maaghoofdcel, peptische cel of hoofdcel (exocrinocytus principalis) is een type maagkliercel in de maag, die pepsinogeen en maaglipase vrijgeeft. Het is de cel die verantwoordelijk is voor de secretie van chymosine bij herkauwers en sommige andere dieren.[1] De cel kleurt basofiel bij H&E-kleuring vanwege het grote aandeel ruw endoplasmatisch reticulum in het cytoplasma. Maaghoofdcellen bevinden zich over het algemeen diep in het maagslijmvlies, in de fundus en maagwand.[2][3] De fundus is de koepel van de maag (de fundus gastricus).
Hoofdcellen geven het pro-enzym pepsinogeen vrij wanneer ze worden gestimuleerd door verschillende factoren, waaronder cholinerge activiteit van de nervus vagus en zure omstandigheden in de maag. Gastrine en secretine kunnen ook als secretagoog fungeren.[4]
Het werkt samen met de pariëtale cel, die maagzuur vrijgeeft en het pepsinogeen omzet in pepsine.
Functie
Pepsinogeen wordt geactiveerd in het spijsverteringsenzym pepsine wanneer het in contact komt met zoutzuur geproduceerd door pariëtale cellen in de maag.[5] Dit type cel scheidt ook maaglipase-enzymen af, die helpen triglyceriden te verteren tot vrije vetzuren en di- en monoglyceriden.[6] Er is ook bewijs dat de maaghoofdcel leptine afscheidt als reactie op de aanwezigheid van voedsel in de maag. Leptine is aangetroffen in de pepsinogeenkorrels van hoofdcellen.[7]
Levensduur
Maagkanaaltjescellen worden elke 2-4 dagen vervangen. Deze hoge omzettingssnelheid is een beschermingsmechanisme dat is ontworpen om de epitheliale bekleding van de maag te beschermen tegen zowel de proteolytische werking van pepsine als het zuur dat wordt geproduceerd door pariëtale cellen.[8] Maaghoofdcellen leven veel langer en men denkt dat ze differentiëren van stamcellen die zich hoger in de maagklier in de vernauwing bevinden.[9] Deze stamcellen differentiëren in slijmnekcellen in de vernauwing en veranderen in maaghoofdcellen terwijl ze naar de basis migreren. Binnen enkele dagen produceren deze cellen nieuwe korrels met steeds grotere, heldere plekken. Aan het einde van het proces produceren de cellen korrels die volledig gevuld zijn met materiaal, waaruit pepsinogeen ontstaat.[10] De mate van pepsinogeenexpressie neemt toe richting de basis van de klier. Omdat de slijmnekcellen zich niet delen wanneer ze een maaghoofdcel worden, staat dit proces bekend als transdifferentiatie. Het gen Mist1 (muscle, intestine and stomach expression 1) reguleert aantoonbaar de transdifferentiatie van slijmnekcellen naar mnaaghoofdcellen en speelt een rol in de normale ontwikkeling van de maaghoofdcelorganellen en -structuren.[11]
Ziekten
In maagweefsel is aangetoond dat een verlies van pariëtale cellen als gevolg van chronische ontsteking de differentiatie van maaghoofdcellen beïnvloedt en maaghoofdcellen kan aanzetten tot transdifferentiatie terug naar nekcellen en kan leiden tot de vorming van slijmcelmetaplasie, bekend als spasmolytische polypeptide-expressie metaplasie (SPEM), die pre-kankervormend zou kunnen zijn.[12] Als pariëtale cellen verloren gaan, vormen zich geen volwassen hoofdcellen. Pariëtale cellen kunnen stoffen afscheiden die leiden tot transdifferentiatie van maaghoofdcellen, dus als ze verloren gaan, ontwikkelen maaghoofdcellen zich normaal gesproken niet.[13]
![]() |
![]() |
![]() |
![]() |
![]() |
Voetnoten
- ↑ Kitamura N, Tanimoto A, Hondo E, Andrén A, Cottrell DF, Sasaki M, Yamada J (2001). Immunohistochemical study of the ontogeny of prochymosin--and pepsinogen-producing cells in the abomasum of sheep. Anatomia, Histologia, Embryologia 30 (4): 231–235. PMID 11534329. DOI: 10.1046/j.1439-0264.2001.00326.x.
- ↑ Kelsey E. McHugh, M.D., Thomas P. Plesec, M.D., Stomach - General - Histology. PathologyOutlines. Topic Completed: 28 May 2020. Minor changes: 28 December 2020
- ↑ pathologyoutlines.com/topic/stomachnormalhistology.html
- ↑ Johnson, Leonard R. (2001). Gastrointestinal Physiology. ISBN 0323012396.
- ↑ MeSH https://www.nlm.nih.gov/cgi/mesh/2012/MB_cgi?mode=&term=Chief+Cells,+Gastric&field=entry
- ↑ Chief cells (Cytokines & Cells Encyclopedia - COPE).
- ↑ Picó, C, Oliver, P, Sánchez, J (Oct 2003). Gastric leptin: a putative role in the short-term regulation of food intake.. The British Journal of Nutrition 90 (4): 735–41. PMID 13129441. DOI: 10.1079/BJN2003945.
- ↑ Boron, WF, Waisbren, SJ, Modlin, IM (Nov 1994). Unique permeability barrier of the apical surface of parietal and chief cells in isolated perfused gastric glands.. The Journal of Experimental Biology 196 (1): 347–60. PMID 7823033. DOI: 10.1242/jeb.196.1.347.
- ↑ Ramsey, VG, Doherty, JM, Chen, CC (Jan 2007). The maturation of mucus-secreting gastric epithelial progenitors into digestive-enzyme secreting zymogenic cells requires Mist1.. Development 134 (1): 211–22. PMID 17164426. DOI: 10.1242/dev.02700.
- ↑ Karam S.M.; Leblond C.P. (1993). «Dynamics of epithelial cells in the corpus of the mouse stomach. III.Inward migration of neck cells followed by progressive transformation into zymogenic cells». The Anatomical Record 236 (2 p.): 297-313. doi:10.1002/ar.1092360204. Graadpleegd op 18 augustus 2023.
- ↑ Goldenring, JR, Nam, KT, Mills, JC (15 november 2011). The origin of pre-neoplastic metaplasia in the stomach: chief cells emerge from the Mist.. Experimental Cell Research 317 (19): 2759–64. PMID 21907708. PMC 3210373. DOI: 10.1016/j.yexcr.2011.08.017.
- ↑ Bredemeyer, Andrew J., Geahlen, Jessica H., Weis, Victoria G. (1 January 2009). The gastric epithelial progenitor cell niche and differentiation of the zymogenic (chief) cell lineage. Developmental Biology 325 (1): 211–224. PMID 19013146. PMC 2634829. DOI: 10.1016/j.ydbio.2008.10.025.
- ↑ Nam, KT, Lee, HJ, Sousa, JF (Dec 2010). Mature chief cells are cryptic progenitors for metaplasia in the stomach.. Gastroenterology 139 (6): 2028–2037.e9. PMID 20854822. PMC 2997152. DOI: 10.1053/j.gastro.2010.09.005.
- ↑ Naziheh Assarzadegan, M.D., Raul S. Gonzalez, M.D., Stomach Polyps - Fundic gland polyp. PathologyOutlines. Topic Completed: 1 November 2017. Minor changes: 11 December 2019
Bronvermelding
- Dit artikel of een eerdere versie ervan is een (gedeeltelijke) vertaling van het artikel Gastric chief cell op de Engelstalige Wikipedia, dat onder de licentie Creative Commons Naamsvermelding/Gelijk delen valt. Zie de bewerkingsgeschiedenis aldaar.




