Longabces
Raadpleeg bij gezondheidsklachten een arts.
| Longabces | ||||
|---|---|---|---|---|
| ||||
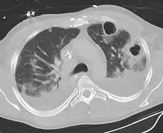
CT Thorax - beeld van pneumonie met verscheidene longabcessen, 2 cavernes en effusies dorsaal en rond de cavernes
| ||||
| Coderingen | ||||
| ICD-11 | ||||
| DOID | 0060317 | |||
| MeSH | D008169 | |||
| ||||
Een longabces is een met etter gevulde holte (abces) in de long, omgeven door ontstoken weefsel, veroorzaakt door een infectie.
Een longabces wordt meestal veroorzaakt door bacteriën uit de mond- of keelflora. Bij een onderdrukking van een van de verdedigingsmechanismen tegen zulk een infectie, met name hoesten, kunnen deze bacteriën in de longen terechtkomen. Een longabces kan ook een gevolg zijn van een longtumor, waarbij een deel van de luchtweg wordt afgesloten, of bij mensen met een slecht functionerend afweersysteem.
Symptomen
- Vermoeidheid
- Verminderde eetlust
- Zweten
- Koorts
- Ophoesten van onwelriekend sputum, soms met spoortjes bloed
- Pijn op de borstwand
- Etter en/of bloed in fluimen
Diagnose
Een longabces is vrijwel altijd zichtbaar op een longfoto (RX van de thorax). Dit wordt alleszins bevestigd met een computertomografie van de borstkas. Een kweek van het sputum kan in sommige gevallen de ziekteverwekker identificeren.
Behandeling
- Antibiotica (Amoxicilline 1g 3x/dag), aanvankelijk intraveneus en bij verdwijnen van de koorts oraal.
- Bronchoscopie, om het abces te draineren of om een vreemd voorwerp te verwijderen
Prognose
Het sterftecijfer bij patiënten met een longabces bedraagt ongeveer 5%. Dit aantal ligt echter hoger bij patiënten met een verzwakte conditie, een afweerstoornis, een longtumor of een zeer groot abces.
