Leverbiopt
Raadpleeg bij gezondheidsklachten een arts.

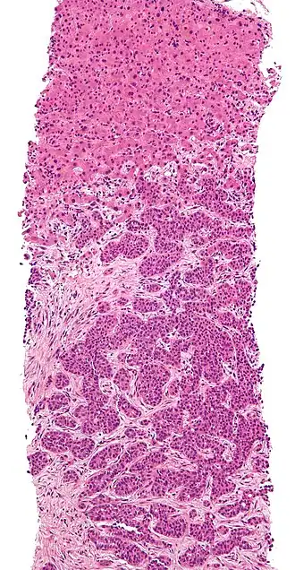
Het nemen van een leverbiopt is de enige manier om het leverweefsel direct te kunnen bekijken onder de microscoop. Voorafgaand aan een leverbiopt wordt de patiënt eerst lokaal verdoofd. Daarna wordt er met een holle naald tussen de ribben door in de lever geprikt om zo een klein pijpje leverweefsel te verkrijgen. Dit stukje leverweefsel wordt vervolgens door de patholoog bekeken. Hierbij kunnen de volgende aspecten worden onderscheiden: de mate van fibrose (verlittekening) van het leverweefsel, de mate van ontsteking, de opbouw van het leverweefsel en bepaalde specifieke kleuringen kunnen gedaan worden.
Een van de belangrijkste dingen om naar te kijken in een leverbiopt is de hoeveelheid fibrose. Fibrose is littekenweefsel dat in de lever ontstaat doordat er gedurende een heel lange tijd (jaren) ontsteking in het leverweefsel aanwezig is. Er zijn verschillende manieren om aan de te geven hoeveel fibrose er in de lever zit. Een van de meest gebruikte methodes is de Metavir-classificatie. Hierbij wordt de hoeveelheid fibrose ingedeeld in 5 groepen, F0 t/m 4. F0 is geen fibrose, F1 is minimale fibrose, F2 is matige fibrose, F3 is ernstige fibrose en F4 is cirrose.
Een leverbiopt heeft naast de vele voordelen ook nadelen, in ongeveer 1% van de leverbiopten treedt er een complicatie op. Meestal is dit een nabloeding na het prikken in de lever, waarvoor soms een bloedtransfusie gegeven moet worden. Voordat er een leverbiopt wordt genomen, moet er eerst worden gekeken of het bloed wel goed stolt. Om dezelfde reden is het ook belangrijk te weten welke geneesmiddelen de patiënt gebruikt.