Herpes gestationis
Raadpleeg bij gezondheidsklachten een arts.
| Herpes gestationis | ||||
|---|---|---|---|---|
| ||||
| Coderingen | ||||
| ICD-11 | ||||
| DOID | 14482 | |||
| eMedicine | derm/178 | |||
| MeSH | D006559 | |||
| ||||
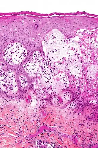
Herpes gestationis is een huidziekte met blaren en ernstige jeuk, die zeer zelden in de zwangerschap optreedt. Omdat de aandoening weinig met herpes (een virusinfectie) te maken heeft, maar meer met pemfigoïd (een auto-immuunziekte) is pemphigoides gestationis een duidelijker naam.
Rond de navel ontstaan huidafwijkingen die leiden tot blaren, de ziekte breidt zich dan hiervandaan uit. Net als bij veel andere auto-immuunziekten is de oorzaak niet goed begrepen. Net als bij bulleus pemfigoïd worden antistoffen gevormd tegen eiwitten van de hemi-desmosoom die de opperhuid aan de lederhuid verankert, meestal tegen collageen XVII, soms tegen BP230. Deze antistoffen verzwakken de aanhechting, en daardoor ontstaat blaarvorming.
Het is niet besmettelijk, de jeuk kan worden bestreden met lokale corticosteroïden. Na de zwangerschap geneest het vanzelf (hoewel bij een enkeling de klachten blijven bestaan). Bij een volgende zwangerschap kunnen de klachten terugkomen. Er is geen extra risico voor de ongeboren baby.
