Hemosiderose
| Hemosiderose | ||||
|---|---|---|---|---|
| ||||
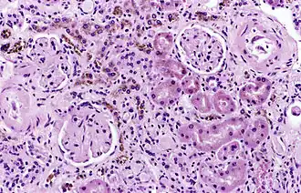
Een nier aangedaan met hemosiderose
| ||||
| Coderingen | ||||
| ICD-9 | 516.1 | |||
| OMIM | 178550 | |||
| DiseasesDB | 29717 | |||
| DOID | 12119 | |||
| MeSH | D006486 | |||
| ||||
Hemosiderose is een aandoening waarbij hemosiderine accumuleert. Hemosiderose kan voorkomen als gevolg van bloedtransfusie maar ook zonder aanwijsbare oorzaak (idiopathisch).
