Glioom
Neem het voorbehoud bij medische informatie in acht.
Raadpleeg bij gezondheidsklachten een arts.
Raadpleeg bij gezondheidsklachten een arts.
| Glioom | ||||
|---|---|---|---|---|
| ||||
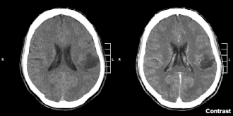
Glioom in linker pariëtale kwab (CT-hersenscan), tweede graad volgens WHO.
| ||||
| Synoniemen | ||||
| Latijn | Glioma[1] | |||
| Coderingen | ||||
| ICD-10 ICD-9 |
C71 191 | |||
| ICD-O | M9380/3-9460/3 | |||
| DiseasesDB | 31468 | |||
| DOID | 3070 | |||
| MeSH | D005910 | |||
| ||||
Een glioom is een soort tumor die ontstaat in de hersenen[2] en soms ruggenmerg, en wordt glioom genoemd vanwege de oorsprong uit gliacellen. Gliomen worden geclassificeerd naar hun celtype, gradatie, en locatie.
Typen
Op grond van het celtype worden onderscheiden (type tumor — celtype):
- Ependymoom — ependymatische cel
- Astrocytoom — astrocyt, met als meestvoorkomende variant glioblastoma multiforme.
- Oligodendroglioom — oligodendrocyt
- gemengde gliomen, zoals oligoastrocytoom, bevatten verschillende typen gliacellen.
Literatuurverwijzingen
- ↑ Leflot-Soetemans, C. & Leflot, G. (1975). Standaard Geneeskundig woordboek Frans-Nederlands. Antwerpen-Amsterdam: Standaard Uitgeverij.
- ↑ Mamelak A.N., and Jacoby, D.B. Targeted delivery of antitumoral therapy to glioma and other malignancies with synthetic chlorotoxin (TM-601) Expert Opin. Drug Drliv. (2007) 4(2):175-186.
