Fibroadenoom
Neem het voorbehoud bij medische informatie in acht.
Raadpleeg bij gezondheidsklachten een arts.
Raadpleeg bij gezondheidsklachten een arts.
| Fibroadenoom | ||||
|---|---|---|---|---|
| ||||
Fibroadenoom
| ||||
| Coderingen | ||||
| ICD-11 | ||||
| ICD-O | M9010-M9012, M9020, M9030 | |||
| DiseasesDB | 1595 | |||
| DOID | 1618 | |||
| MedlinePlus | 007216 | |||
| eMedicine | radio/109 | |||
| MeSH | D018226 | |||
| ||||
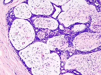
Een fibroadenoom is een (in principe goedaardige) tumor van bindweefsel- en kliercellen. Ze komen vaak voor in de borstklier.
Het wordt gedefinieerd als abnormale proliferatie van fibrotisch weefsel. Het komt vaak voor bij jonge vrouwen (pre-menopausaal). Wanneer het zich bij onderzoek horizontaal presenteert is het meestal benigne. Wanneer het zich presenteert wordt er (bijna) nooit iets aan gedaan.
.jpg)