Eerste molaar
| Tanden in volwassen gebit | ||||
|---|---|---|---|---|
| Tanden in melkgebit | ||||
| Afbeelding | ||||
| ||||
| Eerste molaar | ||||
|
Eerste molaar. | ||||
| ||||
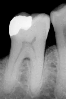
De eerste molaar is een molaar in de achterste delen van de mond, achter de premolaren (zie afbeelding). In een normale gebitssituatie is het de 6e tand vanaf het midden van de mond (centrale snijtanden). In een normaal volwassen gebit bevinden zich in totaal 4 eerste molaren, één in elk kwadrant. De eerste molaar breekt in de regel door op 6-jarige leeftijd.
Achter de eerste molaren bevinden zich de tweede molaren. Beide hebben grofweg dezelfde kenmerken en functie.
Morfologie
Eerste molaren in de bovenkaak hebben vrijwel altijd drie wortels met elk een zenuwkanaal; mesiobuccaal, distobuccaal en palatinaal. Waarbij de mesiobuccale wortel twee kanalen kan bevatten. Ondermolaren hebben twee mesiale wortels en een distale wortel. In iets minder dan 60% van de gevallen bevat de distale wortel twee kanalen.
Internationale tandnummering
Om onduidelijkheid te voorkomen heeft elke tand in het menselijke gebit door de internationale tandnummering een nummer, gebaseerd op het kwadrant en de precieze plaats vanaf het midden. Hieronder zijn de nummers van de eerste molaren gegeven (in een volwassen gebit):
- rechtsboven: 16
- linksboven: 26
- linksonder: 36
- rechtsonder: 46
In een melkgebit wijkt de tandnummering af.
