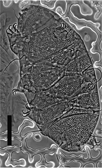
Echiniscus quadrispinosus
| Echiniscus quadrispinosus | |||||||||||||||||
|---|---|---|---|---|---|---|---|---|---|---|---|---|---|---|---|---|---|
| |||||||||||||||||
| Taxonomische indeling | |||||||||||||||||
| |||||||||||||||||
| Soort | |||||||||||||||||
| Echiniscus quadrispinosus Richters, 1902 | |||||||||||||||||
| Echiniscus quadrispinosus op | |||||||||||||||||
| (en) World Register of Marine Species | |||||||||||||||||
| |||||||||||||||||
Echiniscus quadrispinosus is een soort in de taxonomische indeling van de beerdiertjes (Tardigrada).
Het diertje behoort tot het geslacht Echiniscus en behoort tot de familie Echiniscidae. De wetenschappelijke naam van de soort werd voor het eerst geldig gepubliceerd in 1902 door Richters.
Bronnen, noten en/of referenties
- van der Land, J. (2011). Echiniscus quadrispinosus. Gebaseerd op informatie uit het World Register of Marine Species, te vinden op http://www.marinespecies.org/aphia.php?p=taxdetails&id=342999. Opgevraagd op 1 december 2011.
_Figure_1.jpg)