Degeneratieve ziekte
Raadpleeg bij gezondheidsklachten een arts.
Het begrip degeneratieve ziekte is niet eenduidig. Meestal worden er ziekten onder verstaan die gepaard gaan met een geleidelijk minder worden van een of meer lichaamsfuncties. Meestal, maar niet altijd, noemt men ziekten degeneratief, wanneer de oorzaak niet precies bekend is; al is er dikwijls wel sprake van een erfelijke kwetsbaarheid. Hoewel er degeneratieve ziekten zijn die op de kinderleeftijd inzetten, zal het meestal ouderen betreffen. De term wordt het meest gebezigd voor aandoeningen van het bewegingsapparaat en het zenuwstelsel.
Reserve en regeneratie
Het lichaam heeft voor de meeste functies reservecapaciteit. Een gezond mens kan een stuk darm, een nier, de helft van zijn lever en nog meer missen zonder dat hij klachten krijgt. Het lichaam heeft ook een fors vermogen tot regeneratie. Schaafwonden en operatiewonden, botbreuken genezen meestal vlot, wanneer de wondranden of de botstukken niet te ver van elkaar afliggen. Een degeneratieve ziekte zal dan pas klachten geven als de beschadiging sneller verloopt dan de reparatiecapaciteit en de reserve is uitgeput. Het vermogen tot regeneratie is niet onbeperkt. Hoe ouder de mens wordt, des te minder kan het weefsel zich herstellen zoals het was.
Cellen
Ziekte speelt zich af op het niveau van de cel. Cellen kunnen op twee manieren doodgaan:
- Necrose: bijvoorbeeld bij een infectie of zuurstofgebrek
- Apoptose of autolyse: hierbij zet de cel als reactie op een prikkel een kettingreactie in gang waardoor ze sterft.
Wanneer meer cellen dood gaan door apoptose dan er gevormd kunnen worden en de reserve is opgebruikt, zal de functie tekort gaan schieten. Een zieke cel vertoont afwijkingen die door pathologen ook degeneratie worden genoemd.[1] Welbeschouwd speelt degeneratie bij vele ziekten een rol; het principe van de progressieve longbeschadiging (COPD) door het roken of de levercirrhose door overvloedig alcoholgebruik verschilt niet sterk hiervan, maar wordt zelden degeneratie genoemd. In de praktijk noemt men die ziekten degeneratief, waarvan men de oorzaak niet precies weet.
Ziekten
In de praktijk wordt met degeneratief een ziekte bedoeld van het bewegingsapparaat of van het centraal zenuwstelsel. Kraakbeen en zenuwweefsel hebben beide een beperkte capaciteit om te herstellen.
Aandoeningen van het bewegingsapparaat

Deze aandoeningen worden vaak aangeduid met het enigszins verwarrende woord reumatisch. Inflammatoire aandoeningen, zoals reumatoïde artritis, zijn ontstekingen in gewrichten (artritis) die worden gekenmerkt door chronische pijn. Bij lichamelijk- en bloedonderzoek worden verschijnselen van ontsteking vastgesteld. Inflammatoire aandoeningen kunnen leiden tot fysieke beperkingen en invaliditeit, maar de laatste tien jaar zijn de resultaten van de behandeling veel beter.
De tegenhanger van inflammatoire aandoeningen (ontstekingen) zijn de zogenaamde degeneratieve aandoeningen. Patiënten met degeneratieve aandoeningen hebben in rust minder pijn en er wordt bij onderzoek over het algemeen geen ontstekingsactiviteit gevonden. Degeneratieve aandoeningen komen vaak voor. De degeneratieve reumatische aandoeningen zijn onder te verdelen zijn in:
- Artrose, voortschrijdende beschadiging van de gewrichten van met name heup, knie, vingers (duim!) en wervelkolom.
- Artrose (in het Engels verwarrend genoeg osteoarthritis genoemd) begint vaak met beschadiging van het gladde gewrichtskraakbeen; later ontstaan er cysten in het bot daaronder, veranderingen van het gewrichtskapsel en uitstulpingen van het bot. Dit gaat gepaard met een ontsteking, maar die staat niet op de voorgrond.
- Discopatie, slijtage van de tussenwervelschijf, de kraakbeenkussens tussen de wervels in, wat kan leiden tot een hernia.
- Spondylose, slijtage van de wervels en de tussenwervelschijf[2]
- Osteoporose, botontkalking bij met name ouderen; oorzaken zijn onder meer hormonaal, te weinig beweging, vitamine D gebrek, bepaalde medicijnen, diabetes. De belangrijkste gevolgen kunnen zijn botbreuken in pols, heup en/of wervels.
Neurodegeneratieve ziekten
Onder de neuro-degeneratieve ziekten verstaat men meestal een aantal aandoeningen die
- langzaam (vele jaren) progressief verlopen
- bij mensen optreden die een erfelijke kwetsbaarheid hebben
- vaak wordt gezien dat verschillende van deze aandoeningen in één familie voorkomen[3]
- Ziekte van Alzheimer: Als aangroei en weer kort maken van bepaalde lange eiwitmoleculen aan de wand van de zenuwcel elkaar niet in evenwicht houden, ontstaan er “kluwens” en “plaques” met een afsterven van zenuwcellen als gevolg.

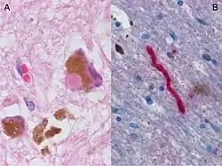
- Ziekte van Parkinson: Te beginnen met de substantia nigra treedt apoptose op in dopamineproducerende neuronen. Kenmerkend is de stapeling van alfasynucleïne en de vorming van Lewy bodies. Wanneer minder dan 20% van de cellen over is, ontstaan klachten als gevolg van dopaminegebrek.
- Spinale-, Spinocerebellaire-, Cerebellaire degeneratie, ALS en nog veel meer.
Oogziekten
Sommige progressieve netvliesaandoeningen ontstaan al op de kindertijd dystrofie van kegeltjes of staafjes; andere, zoals de zogenaamde maculadegeneratie, vooral boven de 60.