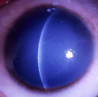
Cornea-oedeem
Cornea-oedeem is een vochtophoping in het hoornvlies, die bijvoorbeeld ontstaat door ontsteking (keratitis).
De endotheelcellen van het hoornvlies pompen water uit het stroma, zodat het hoornvlies dun en transparant blijft. Normaliter heeft het cornea-endotheel zo'n 2500 à 3000 cellen per mm².[1] Indien dit aantal echter door pathologie te klein is stroomt er meer vocht het hoornvlies in dan eruit wordt gepompt. Hierdoor kan een ophoping van vocht in het hoornvlies ontstaan, waardoor het hoornvlies gaat zwellen.
Oorzaken
Het oedeem van het hoornvlies ontstaat bij verschillende aandoeningen:
- Fuchs endotheeldystrofie
- Pellucide marginale degeneratie
- Acuut gesloten kamerhoekglaucoom
- Te lang dragen van contactlenzen
- Een ongeval of als complicatie bij een oogoperatie.
Bronnen, noten en/of referenties
- ↑ Hoornvlieszwakte (troebel verdikt zwak hoornvlies), Fuchse endotheliale dystrofie. www.oogartsen.nl. Geraadpleegd op 13 april 2020.