COVID-19-diagnostiek
Raadpleeg bij gezondheidsklachten een arts.
COVID-19-diagnostiek omvat verschillende medische tests om vast te stellen of personen de ziekte COVID-19 hebben of het virus SARS-CoV-2 bij zich dragen. Er zijn moleculaire testmogelijkheden die gericht zijn op het opsporen van het virus, serologische tests gericht op de detectie van antilichamen, en tests die door röntgenonderzoek aan de longen een uitspraak doen.
Testmethoden
Op 11 januari 2020 was de genetische code van het virus bekend.[1] Hierdoor werd het ontwikkelen van testen vereenvoudigd. In de loop der tijd ontstaan virusvarianten. Varianten die zich gemakkelijker verspreiden, meer besmettelijk zijn of een ernstiger ziekteverloop hebben dienen ook gedetecteerd te worden.
Nucleic Acid Amplification Tests


Een moleculaire PCR-test test de aanwezigheid van een virus door ribonucleïnezuur (RNA) van het virus op te sporen. Het wordt uitgevoerd met behulp van een real-time omgekeerde polymerasekettingreactietest (rRT-PCR)[2] op monsters uit luchtwegen die zijn verkregen met verschillende methoden zoals een neusslijmvliesuitstrijkje (nasofaryngeaal staaltje) of een sputumstaaltje.[3] Over het algemeen zijn resultaten binnen een uur tot twee dagen beschikbaar.[4] Het meeste virus wordt door patiënten uitgescheiden rond de eerste ziektedag. Ook nadat de ziekteverschijnselen verdwenen zijn, kunnen soms nog resten van het virus gevonden worden.
Een positief testresultaat geeft geen uitslag over de ziektefase, omdat het virus afneemt als het afweersysteem gaat werken. Daartoe zou men meerdere malen moeten worden getest. De “hoog positieven” uit de test kunnen een rol spelen bij de prioritering in het bron- en contactonderzoek.[5] Er is bij een PCR-test altijd kans op een foutpositief of foutnegatief testresultaat.
Bij sommige virusvarianten in een van de primer regio’s kan de PCR-test dat gen niet meer aantonen maar nog wel de genen op de andere targets. Deze ‘dropout’ gen is een sterk indicatie dat het om een nieuwe variant gaat, maar dit moet door sequencing worden vastgesteld.
Een van de eerste PCR-tests werd in januari 2020 ontwikkeld in het Charité-ziekenhuis in Berlijn en vormde de basis van 250.000 kits die door de Wereldgezondheidsorganisatie (WHO) werden verspreid.[6] Het Zuid-Koreaanse bedrijf Kogenebiotech heeft op 28 januari 2020 een op PCR gebaseerde SARS-CoV-2-detectiekit (PowerChek Coronavirus ) van klinische kwaliteit ontwikkeld.[7][8] Deze test zoekt naar het "E"-gen dat wordt gedeeld door alle bèta-coronavirussen alsook het RdRp-gen dat specifiek is voor SARS-CoV-2.[9] Andere bedrijven in Zuid-Korea - zoals Solgent en Seegene - ontwikkelden in februari 2020 ook versies van detectiekits van klinische kwaliteit. Deze heten respectievelijk DiaPlexQ en Allplex 2019-nCoV Assay. In China was BGI Group een van de eerste bedrijven die goedkeuring voor noodgebruik van een test ontving van de Chinese National Medical Products Administration voor een op PCR gebaseerde SARS-CoV-2-detectiekit.[10]
In de Verenigde Staten verspreiden de Centers for Disease Control and Prevention (CDC) hun testkit ('2019-Novel Coronavirus (2019-nCoV) Real-Time RT-PCR Diagnostic Panel') via de 'International Reagent Resource' naar diverse laboratoria.[11] Een van de drie genetische tests in oudere versies van de testkits veroorzaakte onbetrouwbare resultaten als gevolg van defecte reagentia. Dit leidde ertoe dat in februari 2020 gemiddeld minder dan 100 monsters per dag met succes werden verwerkt. Toen regionale laboratoria met testen mochten beginnen werden op 28 februari testen met twee componenten als betrouwbaar beoordeeld.[12]
Amerikaanse commerciële laboratoria begonnen begin maart 2020 te testen. Op 5 maart 2020 kondigde het laboratorium LabCorp aan dat COVID-19-testen op basis van RT-PCR beschikbaar zijn.[13] Het laboratorium Quest Diagnostics maakte op 9 maart 2020 hetzelfde bekend.[14] Het verzamelen en verwerken van monsters moet in de Verenigde Staten worden uitgevoerd volgens de CDC-vereisten.
In Nederland is een sneltest beschikbaar op basis van de testmethode loop-mediated isothermal amplification (LAMP). LAMP gebruikt 4 (of 6) primers die gericht zijn op 6 (of 8) regio's binnen een vrij klein segment van het genoom van het virus. De test is gevalideerd met een sensitiviteit en specificiteit van elk 99%.[15] De test geeft resultaat binnen 1 uur, is goed opschaalbaar en vereist weinig speciale apparatuur of voorzieningen. TNO heeft deze test ontwikkeld en gevalideerd in samenwerking met de GGD Amsterdam, RIVM, DSM, LUMC en UMCG.[16][17]
In Rusland is de COVID-19-test ontwikkeld en geproduceerd door het State Research Center of Virology and Biotechnology (VECTOR). Op 11 februari 2020 is de test geregistreerd door de federale dienst voor toezicht in de gezondheidszorg.[18]
In Engeland werd een test ontwikkeld op basis van DNA/RNA sequencing techniek.[19]
Nucleic Acid Amplification Tests (NAATs) kunnen verschillende methoden gebruiken om het RNA van het virus te amplificeren:[20][21]
- Polymerase chain reaction (PCR)
- Reverse transcription polymerase chain reaction (RT-PCR)
- Loop mediated isothermal amplification (LAMP):
- Nicking endonuclease amplification reaction (NEAR)
- Helicase-dependent amplification (HDA)
- Clustered regularly interspaced short palindromic repeats (CRISPR)
- Transcription mediated amplification (TMA)
- Strand displacement amplification (SDA)
- Moleculaire Point-Of-Care-Test (mPOCT)
Antigeentests
Antigeentests testen door de viruseiwitten te detecteren.[22]
Een dergelijke test is minder gevoelig, in 60 à 70 procent van de gevallen wordt het virus inderdaad gedetecteerd. Het zal vooral hoog positieven detecteren. Antigeentesten zijn in staat om in het vroege stadium de ziekte te herkennen.[23] Omdat antigenen eerder in het lichaam aanwezig zijn dan antilichamen kan een besmetting in een vroeg stadium gedetecteerd worden.[24] Later in het ziektebeloop, als er veel minder virus in de keel en neus zit, is deze test niet geschikt.[25] Antigeentests kunnen worden gebruikt als men klachtenvrij is. Men moet dan twee of drie keer per week ’s ochtends testen om te controleren of men geen infectie heeft. Bij een negatieve uitslag kan men naar school of werk met inachtneming van de regels. Bij een positieve uitslag moet men in isolatie en naar de teststraat[26]ter bevestiging.
Antigeentests kunnen worden uitgevoerd met een uitstrijkje uit de neusholte. Ze kunnen binnen 10-30 minuten resultaat geven.[27][28] De Nederlandse overheid publiceert een lijst met leveranciers die een ontheffing hebben gekregen om een antigeentest als zelftest op de Nederlandse markt te mogen brengen.[29]
In Taiwan werd een test ontwikkeld die een monoklonaal antilichaam gebruikt dat specifiek bindt aan het nucleocapside-eiwit (N-eiwit) van het nieuwe coronavirus, in de hoop dat het net als een snelle griep-test binnen 15 tot 20 minuten resultaten kan opleveren. Deze testen meten (vaak) het viruseiwit en zijn vaak minder gevoelig, omdat de zogenaamde detectielimiet hoger is.[30]
Radiologische tests
Met beeldvormend medisch onderzoek van de borstkas kunnen longafwijkingen gezien worden die mogelijk verband houden met COVID-19.
In een literatuuronderzoek van maart 2020 werd geconcludeerd dat "thoraxfoto's van de borstkas in een vroeg stadium van weinig diagnostische waarde zijn, terwijl CT-scans mogelijk al voor het begin van de symptomen het virus kunnen detecteren."[31][32]
Een studie waarin PCR wordt vergeleken met CT in Wuhan in het epicentrum van de huidige pandemie, heeft gesuggereerd dat CT significant gevoeliger is dan PCR, hoewel minder specifiek.[33]
Diagnose op grond van CT-scans is door zijn snelheid een goed alternatief voor PCR-test en heeft bovendien als voordeel dat ook de ernst van de ziekte in de longen is vast te stellen.[34]
Uit de scanbeelden bleek schade aan de longblaasjes bij Long-covid, waardoor zuurstof niet goed in het bloed terecht komt. Met standaard MRI-scans is zuurstof in de longen niet te zien. Het gas Xenon, dat zich in de longen net als zuurstof gedraagt, kan dit wél zichtbaar maken, de hyperpolarized 129Xe MRI.[35]
Visuele analyse
Een kleinschalige studie toonde aan dat Chinese radiologen 72-94% gevoeligheid en 24-94% specificiteit toonden bij het differentiëren van COVID-19 van andere soorten virale longontsteking met behulp van CT-beeldvorming.[36]
Computeranalyse
Met behulp van kunstmatige intelligentie werd een hogere specificiteit bereikt.[37][38]
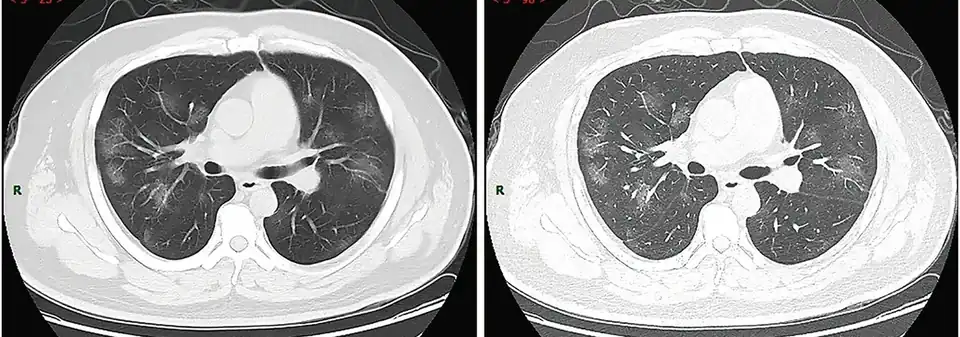
-
CT-scan van de borstkas van 38-jarige man met COVID-symptomen -
CT-scan van 50-jarige vrouw met COVID-symptomen
Serologische tests
Antilichamentest
Een serologische test toont in het bloed van de patiënt specifeke immunoglobuline (antilichamen) tegen het virus aan. De antilichamen zijn gewoonlijk veertien dagen na het begin van de infectie detecteerbaar.
Vanaf 9 maart 2020 worden bloedtesten ontwikkeld om specifieke antilichamen[39] op te sporen. Hiermee kan worden bepaald of een persoon ooit geïnfecteerd is geweest, ongeacht of deze symptomen heeft ontwikkeld.[40] Men hoopt dat het binnen vijftien minuten resultaten kan opleveren door zowel IgM- als IgG-antilichamen te detecteren.[41]
Eind maart 2020 ontvingen Euroimmun Medical Laboratory Diagnostics en Epitope Diagnostics Europese goedkeuringen voor hun testkits die IgG- en IgA-antilichamen tegen het virus in bloedmonsters kunnen detecteren.[42]
Bloed CoLab-score test
De standaard bloedtest (quick scan) afgenomen bij de spoedeisende hulp meet 30 verschillende waarden. Van de bloed quick scan wordt de CoLab-score berekend met een ontwikkeld algoritme op basis van hoe het coronavirus veranderingen in het bloed veroorzaakt. De software is bedoeld voor gebruik op spoedeisende hulp om de aanwezigheid van de ziekte bij binnenkomende patiënten snel uit te sluiten. Bij een niet-negatieve uitkomst volgt een PCR- of LAMP-test. De test is ontwikkeld door de Technische Universiteit Eindhoven en het Catharina Ziekenhuis.[43]
Ademtest
Er wordt getwijfeld aan de juistheid van het volgende gedeelte.
Raadpleeg de bijbehorende overlegpagina en pas na controle desgewenst het artikel aan.
Opgegeven reden: Uit de bronnen blijkt geen differentiering met andere infecties, klinkt toch een beetje als het pushen van een matige methode met buzzwords als cloud en KI (sjabloon geplaatst op 20 mei 2021)
Bij de ademtest worden moleculen van het virus in de uitgeademde adem gedetecteerd.[44]
In de uitgeademde adem bevinden zich kort levende organische bestanddelen die door nanosensoren gedetecteerd kunnen worden. Dankzij een lerend algoritme op basis van artificiële intelligentie kan het virus dan al of niet herkend worden.
Een andere techniek is gebaseerd op resonantie en spectroscopie. Het virus in de adem is een nanodeeltje met een doorsnede van tussen de 100 en 140 nanometer. Ultrahoge geluiden in het terahertz frequentiebereik zorgen ervoor dat virusdeeltjes gaan trillen, en dankzij een spectroscopische analyse verraadt het virus zich.[45][46]
Het Nederlandse bedrijf Breathomix ontwikkelde een ademtest in samenwerking met Leiden University Medical Center (LUMC), Franciscus Gasthuis & Vlietland en de GGD Amsterdam waarbij de duur van meting tot uitslag binnen 2 minuten is. Deze elektronische neus meet het complete mengsel van stoffen in de uitademingslucht. Dit gebeurt via sensoren binnenin de elektronische neus. Het ademprofiel wordt direct doorgestuurd naar een online platform, waar het wordt vergeleken met andere ademprofielen van personen met en zonder COVID-19 diagnose. De ademtest wordt ingezet in teststraten, evenementen en congressen om als eerste een COVID-19 infectie uit te kunnen sluiten. Als het testresultaat niet negatief is dan volgt meteen daarna een PCR-test of LAMP-test.[47]
Meldplicht
In veel landen, waaronder Nederland en België,[48] geldt een meldplicht. In Nederland geldt al bij het vermoeden van deze ziekte een meldplicht in groep A.[49] Testresultaten zijn ook nodig voor bron- en contactonderzoek en monitoring van de verspreiding en onderzoek van virusvarianten.
Testprocedures

Zelfafnameprocedures
Hong Kong heeft een procedure opgesteld waarbij verdachte patiënten thuis kunnen blijven om met een zelfafnameset zelf thuis een monster af te nemen en op te sturen. De spoedeisende hulp geeft de patiënt een specimenbuisje, ze vullen het met speeksel, sturen het terug en krijgen een testresultaat.[50]
Drive-in-afnameprocedures
Bij drive-in-tests voor COVID-19 kan een patiënt per auto langs een zorgverlener leiden die in beschermende uitrusting een monster van een patiënt afneemt.[51][52] Zij zijn bedoeld voor mensen met milde symptomen, of helemaal geen, die in aanraking met een besmet persoon zijn geweest. Drive-in-centra hebben Zuid-Korea geholpen bij het uitvoeren van de meeste tests wereldwijd.[53]
Naast de reguliere PCR-testen werden vanaf november 2020 in Nederland ook gevalideerde antigeentesten ingezet. Op de testlocatie wacht men op de uitslag van de sneltest. Na een testresultaat bij de antigeentest kan eventueel nog een reguliere PCR-test of LAMP-test volgen.[54]
Vanaf april 2021 werden in Nederland ook ademtesten ingezet. Als er geen negatieve uitslag is volgt een PCR-test of LAMP-test.[21]
Mobiele afnameprocedures
De Britse NHS heeft aangekondigd bij verdachte gevallen thuis te gaan testen; dit neemt het risico weg dat een patiënt anderen besmet als ze naar een ziekenhuis komen. Ook hoeven op die manier niet nodeloos ambulances gedesinfecteerd te worden.[55]
In november 2020 werden in Nederland bussen en bestelbusjes omgebouwd tot pop-up-testlocaties die werden ingezet op plaatsen met een lokale uitbraak of bij een plotselinge stijging van de testaanvraag.[56]
Point-of-careprocedures
Bij point-of-care testing voert de arts zelf de test uit, vaak bij kwetsbare mensen.
In een kleine studie werd aangetoond dat afnemen van 'ochtend-speeksel' als materiaal voor een SARS-CoV2 PCR-test mogelijk is. Vooral voor gevallen waarin een swab in de neus veel moeite kost is dit een oplossing.[57]
Samenwerkende onderwijsinstellingen in Eindhoven startten half februari 2021 een pilot met het eerste invullen van een vragenlijst in een app. Als hieruit bleek dat er geen gezondheidsklachten waren werd vervolgens bij school tweemaal per week een speekselmonster gedaan dat werd opgestuurd voor een PCR-test. Bij een positieve testuitslag wordt een telefonische waarschuwing gegeven om zo snel mogelijk naar de GGD teststraat te gaan.[58]
Laboratoria
In Duitsland zei de Nationale Vereniging van Wettelijke Ziektekostenverzekeraars op 2 maart dat het een capaciteit had voor ongeveer 12.000 tests per dag en dat er 10.700 in de voorgaande week waren getest. De kosten kwamen voor rekening van de ziektekostenverzekeraars wanneer de test door een arts wordt aangevraagd.[59] Volgens de president van het Robert Koch Institute heeft Duitsland een totale capaciteit van 160.000 tests per week.[60] Vanaf 19 maart werden in verschillende grote steden drive-throughtests aangeboden.[61] Op 26 maart 2020 was het totale aantal in Duitsland uitgevoerde tests onbekend, omdat alleen positieve resultaten worden gerapporteerd, maar minister van Volksgezondheid Jens Spahn schatte het op 200.000 tests per week.[62]
In Israël ontwikkelden en testten onderzoekers van het Technion en Rambam Ziekenhuis een methode voor het gelijktijdig testen van monsters van 64 patiënten, door de monsters samen te voegen en alleen verder te testen als het gecombineerde monster positief blijkt te zijn, het zogenaamd pooled testing. Hierdoor kunnen meer mensen worden getest dan met het testen per monster van een patiënt.[63][64][65]
In Wuhan werd een geïmproviseerd noodlaboratorium genaamd "Huo-Yan" geopend op 5 februari 2020 door het BGI.[66][67] Het laboratorium, waarvan de bouw vijf dagen in beslag nam, mat 2.000 vierkante meter en kon meer dan 10.000 monsters per dag verwerken.[68][69] Uit modellen kwam naar voren dat zonder dit laboratorium er 47% meer besmette gevallen zouden zijn geweest en dat de bijbehorende kosten voor het aanpakken van de quarantaine zouden zijn verdubbeld als deze testcapaciteit niet beschikbaar was geweest.[70] Het Wuhan-laboratorium werd onmiddellijk gevolgd door Huo-Yan-laboratoria in Shenzhen, Tianjin, Beijing en Shanghai, in totaal in twaalf steden in heel China. Op 4 maart 2020 waren de dagelijkse testcapacatiteiten 50.000 tests per dag.[71]
In Denemarken werd een megalab opgezet met "mix-en-match"-robots die ongeacht de producent van de testkits en testmachines met alle soorten reageerbuisjes, staafjes en vloeistof kunnen werken. Hierdoor ontstond een open systeem. Bij een gesloten systeem ben je verplicht om alle elementen van één producent af te nemen. Een gesloten systeem is in tijden van schaarste terwijl veel testen nodig zijn een bottleneck.[72]
In Nederland werd een geautomatiseerde test robot doorontwikkeld die 20.000 samples in 24 uur kan verwerken.[73]
Onvoldoende hoeveelheden reagens waren een bottleneck voor massatests.[74][75][76]
Nederland
In Nederland vindt coördinatie plaats via de Taskforce Diagnostiek en functioneren de laboratoria van het Rijksinstituut voor Volksgezondheid en Milieu in Bilthoven en het Erasmus Medisch Centrum in Rotterdam als expertiselaboratoria. Zij worden bijgestaan door regionale opschalingslaboratoria.[77] Opschalingslaboratoria zijn 24/7 geopend, kunnen minimaal 100 tests per dag aan en kennen een doorlooptijd van 8 uur.[77]
Testcapaciteit
China[78] en de Verenigde Staten[79] hadden aan het begin van de uitbraak problemen met de betrouwbaarheid van testkits; net als Australië[80] konden ze niet genoeg kits leveren om aan de vraag en aanbeveling door gezondheidsdeskundigen te voldoen. Deskundigen geven aan dat de grootschalige beschikbaarheid van tests in Zuid-Korea de verspreiding van het nieuwe coronavirus heeft helpen verminderen. De testcapaciteit van tienduizend tests per dag - grotendeels in commerciële laboratoria - werd door de Zuid-Koreaanse regering gedurende meerdere jaren opgebouwd.[81]
Op 16 maart riep de Wereldgezondheidsorganisatie op om de testprogramma's zoveel mogelijk te vergroten omdat testen de beste manier is om de opmars van de COVID-19-pandemie te vertragen.[82][83] België zet in op massaal testen via een speciale taskforce onder leiding van minister Philippe De Backer.[84]
Externe links
- COVID-19 Diagnostics & testing van FIND
- Testen op COVID-19 van het RIVM
- Aanvullende informatie diagnostiek COVID-19
- Gratis coronatest voor reizigers
- Ontheffingen antigeentesten in Nederland
- Dit artikel of een eerdere versie ervan is een (gedeeltelijke) vertaling van het artikel COVID-19 testing op de Engelstalige Wikipedia, dat onder de licentie Creative Commons Naamsvermelding/Gelijk delen valt. Zie de bewerkingsgeschiedenis aldaar.
- ↑ (en) Lisa Schnirring, China releases genetic data on new coronavirus, now deadly. CIDRAP. Gearchiveerd op 1 november 2020. Geraadpleegd op 29 oktober 2020.
- ↑ 2019 Novel Coronavirus (2019-nCoV) Situation Summary. Centers for Disease Control and Prevention (30 januari 2020). Gearchiveerd op 26 januari 2020. Geraadpleegd op 30 januari 2020.
- ↑ Real-Time RT-PCR Panel for Detection 2019-nCoV. Centers for Disease Control and Prevention (29 januari 2020). Gearchiveerd op 30 januari 2020. Geraadpleegd op 1 februari 2020.
- ↑ Curetis Group Company Ares Genetics and BGI Group Collaborate to Offer Next-Generation Sequencing and PCR-based Coronavirus (2019-nCoV) Testing in Europe. GlobeNewswire News Room (30 januari 2020). Gearchiveerd op 31 januari 2020. Geraadpleegd op 1 februari 2020.
- ↑ Is er een grens te bedenken waarbij je kunt zeggen dat iemand niet besmettelijk is
- ↑ (en) Sheridan, Cormac (19 februari 2020). Coronavirus and the race to distribute reliable diagnostics. Nature Biotechnology. DOI: 10.1038/d41587-020-00002-2. Gearchiveerd van origineel op 10 mei 2023.
- ↑ KogeneBiotech (Homepage). Kogene.co.kr. Gearchiveerd op 1 december 2013. Geraadpleegd op 16 maart 2020.
- ↑ (ko) Jeong, Sei-im, "Korea approves 2 more COVID-19 detection kits for urgent use – Korea Biomedical Review", www.koreabiomed.com, 28 februari 2020. Gearchiveerd op 15 maart 2020. Geraadpleegd op 12 maart 2020.
- ↑ ABOUT US | NEWS. Gearchiveerd op 7 juni 2020. Geraadpleegd op 29 maart 2020.
- ↑ (en) BGI Sequencer, Coronavirus Molecular Assays Granted Emergency Use Approval in China. GenomeWeb. Gearchiveerd op 16 maart 2020. Geraadpleegd op 9 maart 2020.
- ↑ International Reagent Resource > Home. www.internationalreagentresource.org.
- ↑ Transcript for the CDC Telebriefing Update on COVID-19, 28 februari 2020
- ↑ LabCorp Launches Test for Coronavirus Disease 2019 (COVID-19). Gearchiveerd op 1 juni 2023.
- ↑ Covid19 : COVID-19. www.questdiagnostics.com.
- ↑ Praktijkproef met corona-sneltest TNO succesvol, TNO, 15 oktober 2020
- ↑ TNO ontwikkelt snelle, goedkope en betrouwbare coronatest: binnen het uur een uitslag
- ↑ Loop mediated isothermal amplification (LAMP) assays as a rapid diagnostic for COVID-19
- ↑ В России зарегистрирована отечественная тест-система для определения коронавируса[dode link]
- ↑ LamPORE, a new generation of COVID-19 test
- ↑ Nucleic Acid Amplification Tests (NAATs)
- ↑ a b Soorten coronatesten
- ↑ Testen we onszelf uit de lockdown daarvoor moeten we eerst de testen testen
- ↑ Supersnelle coronatests in aantocht, maar nog veel vragen
- ↑ Corona hoe werkt een coronavirus thuistestkit en hoe krijg ik er een
- ↑ Covid-sneltesten, wanneer kan je ze gebruiken?
- ↑ Coronareistesten- Testlocaties. Coronareistesten.nl. Gearchiveerd op 13 februari 2023. Geraadpleegd op 13 februari 2023.
- ↑ An overview of the rapid test situation for COVID-19 diagnosis in the EU/EEA, 1 april 2020, Europees Centrum voor ziektepreventie en -bestrijding
- ↑ Fast coronavirus tests: what they can and can’t do
- ↑ Ontheffingen antigeentesten. Gearchiveerd op 2 augustus 2021. Geraadpleegd op 25 maart 2021.
- ↑ "中央研究院網站", www.sinica.edu.tw, Sinca. Gearchiveerd op 18 april 2020. Geraadpleegd op 12 maart 2020.
- ↑ (en) Salehi, Sana (14 maart 2020). Coronavirus Disease 2019 (COVID-19): A Systematic Review of Imaging Findings in 919 Patients. American Journal of Roentgenology: 1–7. ISSN: 0361-803X. PMID 32174129. DOI: 10.2214/AJR.20.23034.
- ↑ (en) Lee, Elaine Y. P. (24 februari 2020). COVID-19 pneumonia: what has CT taught us?. The Lancet Infectious Diseases 0 (4): 384–385. ISSN: 1473-3099. PMID 32105641. DOI: 10.1016/S1473-3099(20)30134-1. Geraadpleegd op 13 maart 2020.
- ↑ Ai, Tao (26 februari 2020). Correlation of Chest CT and RT-PCR Testing in Coronavirus Disease 2019 (COVID-19) in China: A Report of 1014 Cases. Radiology (Radiological Society of North America). PMID 32101510. DOI: 10.1148/radiol.2020200642.
- ↑ Corona-virus/COVID-19 en CT-scan van de longen uitgelegd, Nederlandse Vereniging voor Radiologie, 15 maart 2020
- ↑ Hyperpolarized 129Xe MRI Abnormalities in Dyspneic Participants 3 Months after COVID-19 Pneumonia: Preliminary Results
- ↑ Bai, Harrison X. (10 maart 2020). Performance of radiologists in differentiating COVID-19 from viral pneumonia on chest CT. Radiology: 200823. ISSN: 0033-8419. PMID 32155105. DOI: 10.1148/radiol.2020200823.
- ↑ Heaven, Will Douglas, A neural network can help spot Covid-19 in chest x-rays. MIT Technology Review. Geraadpleegd op 27 maart 2020.
- ↑ Li, Lin (19 maart 2020). Artificial Intelligence Distinguishes COVID-19 from Community Acquired Pneumonia on Chest CT. Radiology: 200905. ISSN: 0033-8419. PMID 32191588. DOI: 10.1148/radiol.2020200905.
- ↑ SARS-CoV-2 and related antibodies; bio-connect bedrijfswebsite, geraadpleegd 2 augustus 2020
- ↑ (en) Coronavirus Disease 2019 (COVID-19). Centers for Disease Control and Prevention (11 februari 2020). Geraadpleegd op 20 maart 2020.
- ↑ Li, Z. (2020). Development and Clinical Application of a Rapid IgM-IgG Combined Antibody Test for SARS-CoV-2 Infection Diagnosis. Journal of Medical Virology. PMID 32104917. DOI: 10.1002/jmv.25727.
- ↑ (de) Fellmann F. (maart 2020). "Jetzt beginnt die Suche nach den Genesenen". Tages Anzeiger.
- ↑ Dutch corona blood test from Eindhoven goes international
- ↑ Onderzoek opsporing coronavirus met E-nose[dode link]
- ↑ Corona-ademtest kan mogelijk al binnen twee minuten ruiken of iemand besmet is
- ↑ Multiplexed Nanomaterial-Based Sensor Array for Detection of COVID-19 in Exhaled Breath
- ↑ (en) Ruling out SARS-CoV-2 infection using exhaled breath analysis by electronic nose in a public health setting. Medrxiv.org. Geraadpleegd op 24 maart 2021.
- ↑ Agentschap zorg & gezondheid: Verplicht te melden infectieziekten
- ↑ Welke infectieziekten zijn meldingsplichtig?
- ↑ (en) In Age of COVID-19, Hong Kong Innovates To Test And Quarantine Thousands. NPR.org.
- ↑ (en) jkiger@postbulletin.com, Jeff Kiger, Mayo Clinic starts drive-thru testing for COVID-19. PostBulletin.com. Geraadpleegd op 13 maart 2020.
- ↑ (en) Hawkins, Andrew J., Some states are offering drive-thru coronavirus testing. The Verge (11 maart 2020). Geraadpleegd op 13 maart 2020.
- ↑ (en) South Korea's Drive-Through Testing For Coronavirus Is Fast – And Free. npr (11 maart 2020). Geraadpleegd op 16 maart 2020.
- ↑ Factsheet XL teststraten en snelteststraten[dode link]
- ↑ (en) NHS pilots home testing for coronavirus. MobiHealthNews (24 februari 2020).
- ↑ GGD zet mobiele testbussen in voor meer testflexibiliteit
- ↑ Saliva or Nasopharyngeal Swab Specimens for Detection of SARS-CoV-2
- ↑ Test met coronavrije bubbel op scholen: Eerst spugen en dan de collegebanken in
- ↑ (de) Nina Weber, Katherine Rydlink, Irene Berres, "Coronavirus und Covid-19: So testet Deutschland", Der Spiegel, 5 maart 2020. Geraadpleegd op 23 maart 2020.
- ↑ (en) Oltermann, Philip, "Germany's low coronavirus mortality rate intrigues experts", The Guardian, 22 maart 2020. Geraadpleegd op 24 maart 2020.
- ↑ (de) "Covid-19 – Tests auf das Coronavirus: Wann, wo und wie?", Deutschlandfunk, 19 maart 2020. Gearchiveerd op 18 april 2020. Geraadpleegd op 24 maart 2020.
- ↑ (de) Charisius, Hanno, "Covid-19: Wie gut testet Deutschland?", 26 maart 2020. Geraadpleegd op 26 maart 2020.
- ↑ (en) "Pooling method allows dozens of COVID-19 tests to run simultaneously", medicalxpress.com. Geraadpleegd op 24 maart 2020.
- ↑ "Israeli team has coronavirus test kit to test dozens of people at once", The Jerusalem Post. Geraadpleegd op 24 maart 2020.
- ↑ Staff, Israel21c, "Israelis introduce method for accelerated COVID-19 testing", Israel21c, 19 maart 2020. Geraadpleegd op 24 maart 2020.
- ↑ Wuhan Test Lab Opens; CDC Ships Diagnostic Kits: Virus Update. Bloomberg (5 februari 2020). Geraadpleegd op 7 februari 2020.
- ↑ (en) China virus crisis deepens as whistleblower doctor dies. AFP.com (27 februari 2012). Gearchiveerd op 27 april 2020. Geraadpleegd op 7 februari 2020.
- ↑ "日检测量达万份的“火眼”实验室连夜试运行".
- ↑ (en) BGI's Coronavirus Response? Build a Lab in Wuhan. GEN – Genetic Engineering and Biotechnology News (12 februari 2020). Geraadpleegd op 27 maart 2020.
- ↑ (en) Xie, Qing (20 maart 2020). Effect of large-scale testing platform in prevention and control of the COVID-19 pandemic: an empirical study with a novel numerical model. MedRxiv: 2020.03.15.20036624. DOI: 10.1101/2020.03.15.20036624.
- ↑ (en) COVID-19 Local Laboratory Solution. BGI – Global. Gearchiveerd op 14 april 2020. Geraadpleegd op 27 maart 2020.
- ↑ Hoe Denen het virus onder controle houden: heel veel testen en iedereen in de pas
- ↑ Robotic System for Ultra-High Throughput SARS-CoV-2 Testing
- ↑ Coronavirus disease 2019 (COVID-19) pandemic: increased transmission in the EU/EEA and the UK –seventh update 15–16. European Centre for Disease Prevention and Control (25 maart 2020). Geraadpleegd op 29 maart 2020. “the current shortages of laboratory consumables and reagents affect diagnostic capacity and hamper the epidemic response at the national and local levels. The laboratories have experienced delayed or missing deliveries of swabbing material, plastic consumables, RNA extraction and RT-PCR reagents, and PPE. This is affecting laboratories in all EU/EEA countries.”
- ↑ (en) Baird, Robert P., Why Widespread Coronavirus Testing Isn’t Coming Anytime Soon. The New Yorker (24 maart 2020). Gearchiveerd op 28 maart 2020. Geraadpleegd op 29 maart 2020. “South Dakota, said that her state’s public-health laboratory—the only lab doing COVID-19 testing in the state—had so much trouble securing reagents that it was forced to temporarily stop testing altogether. also noted critical shortages of extraction kits, reagents, and test kits”
- ↑ (en) Ossola, Alexandra, Here are the coronavirus testing materials that are in short supply in the US. Quartz (25 maart 2020). Gearchiveerd op 26 maart 2020. Geraadpleegd op 29 maart 2020. “extract the virus’s genetic material—in this case, RNA—using a set of chemicals that usually come in pre-assembled kits. “The big shortage is extraction kits” There are no easy replacements here: “These reagents that are used in extraction are fairly complex chemicals. They have to be very pure, and they have to be in pure solution””
- ↑ a b Aanvullende informatie diagnostiek COVID-19, RIVM, Versie 24 maart 2020
- ↑ Heartbreak in the Streets of Wuhan
- ↑ State figures on testing raise questions about efforts to contain outbreak. The Boston Globe.
- ↑ Davey, Melissa, Australian stocks of coronavirus testing kits 'rapidly deteriorating', says chief medical officer (14 maart 2020).
- ↑ Experts Credit South Korea's Extensive Testing For Curbing Coronavirus Spread. NPR.org.
- ↑ "'Test, Test, Test': WHO Chief's Coronavirus Message to World", The New York Times, 16 maart 2020. Geraadpleegd op 16 maart 2020.
- ↑ Reuters, Source, "'Test, test, test': WHO calls for more coronavirus testing – video", The Guardian, 16 maart 2020. Geraadpleegd op 16 maart 2020.
- ↑ België wil zieken massaal testen: 'Een land op slot zetten, is niet genoeg om coronavirus te stoppen', De Morgen, 22 maart 2020