Burkittlymfoom
Raadpleeg bij gezondheidsklachten een arts.
| Burkittlymfoom | ||||
|---|---|---|---|---|
| ||||
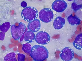
Burkittlymfoom, wrightkleuring
| ||||
| Coderingen | ||||
| ICD-11 | ||||
| ICD-O | 9687/3 | |||
| OMIM | 113970 | |||
| DiseasesDB | 1784 | |||
| DOID | 8584 | |||
| MedlinePlus | 001308 | |||
| eMedicine | med/256 | |||
| MeSH | D002051 | |||
| ||||
Het burkittlymfoom[1] is een maligne lymfoom, oftewel een kanker van het lymfevatenstelsel (in het bijzonder de B-lymfocyten: lymfeklierkanker). De ziekte is genoemd naar Denis Parsons Burkitt, de chirurg die de ziekte voor het eerst beschreef in 1956 toen hij werkzaam was in equatoriaal Afrika.
Een Burkittlymfoom gaat per definitie geassocieerd met een chromosomale translocatie waarbij met name het c-myc gen is aangedaan. De meest geziene variant is t(8;14)(q24;q32), zeldzamer zijn de varianten t(2;8)(p12;q24) en t(8;22)(q24;q11). Een driewegstranslocatie, t(8;14;18) is eveneens beschreven[2].
Classificatie
Het burkittlymfoom kan onderverdeeld worden in drie klinische varianten: de endemische, de sporadische en de immunodeficiëntiegeassocieerde variant[3].

- De endemische variant komt voor in equatoriaal Afrika. In deze regio is het de meest geziene maligniteit bij kinderen. Kinderen met de ziekte hebben vaak eveneens malaria doorgemaakt. Verondersteld wordt dat ze hierdoor een verminderde resistentie hebben voor het epstein-barrvirus dat niet goed geklaard kan worden. De kaak, het distale ileum, caecum, de ovaria, de nieren of de borst zijn karakteristiek aangedaan.
- Het sporadische type (ook het "niet-Afrikaanse" type) is een bepaalde vorm van non-hodgkinlymfoom. De tumorcellen hebben een gelijkaardig voorkomen als de kankercellen van de endemische variant. Ook hier wordt verondersteld dat een verlaagde afweer de voedingsbodem vormt voor het epstein-barrvirus. Bij kinderen kunnen 30 à 50% van de lymfomen als non-hodgkinlymfoom (waartoe ook het burkittlymfoom behoort) gecategoriseerd worden. Vergeleken met de endemische variant is de kaak minder vaak betrokken. De ileocaecale zone is het vaakst aangedaan.
- Het immunodeficiëntiegeassocieerd burkittlymfoom is vaak gelinkt met hiv-infectie[4] of het komt voor bij patiënten die een orgaantransplantatie ondergingen en immunosupressieve medicijnen nemen. Het burkittlymfoom kan de eerste manifestatie van aids zijn.
Het is bijna onmogelijk om morfologisch (microscopische vormaspecten) een onderscheid te maken tussen deze drie klinische varianten.
Literatuurverwijzingen
- ↑ Everdingen, J.J.E. van, Eerenbeemt, A.M.M. van den (2012). Pinkhof Geneeskundig woordenboek (12de druk). Bohn Stafleu Van Loghum, Houten.
- ↑ Liu D, Shimonov J, Primanneni S, Lai Y, Ahmed T, Seiter K (2007). t(8;14;18): a 3-way chromosome translocation in two patients with Burkitt's lymphoma/leukemia. Mol. Cancer 6: 35. PMID 17547754. DOI: 10.1186/1476-4598-6-35.
- ↑ Ferry JA (April 2006). Burkitt's lymphoma: clinicopathologic features and differential diagnosis. Oncologist 11 (4): 375–83. PMID 16614233. DOI: 10.1634/theoncologist.11-4-375.
- ↑ Bellan C, Lazzi S, De Falco G, Nyongo A, Giordano A, Leoncini L (March 2003). Burkitt's lymphoma: new insights into molecular pathogenesis. J. Clin. Pathol. 56 (3): 188–92. PMID 12610094. PMC 1769902.
