Bronchiolitis
Raadpleeg bij gezondheidsklachten een arts.
| Bronchiolitis | ||||
|---|---|---|---|---|
| ||||
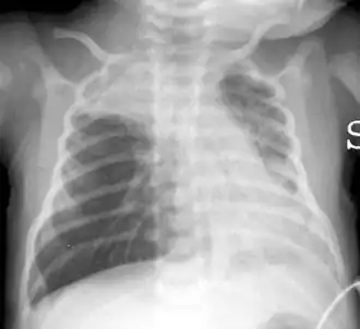
Een thoraxfoto die een hyperinflatie laat zien met een afgevlakt middenrif en bilaterale atelectase in de rechter apicale (longtop) en linker basale (longbasis) regio's bij een 16 dagen oud kind met ernstige bronchiolitis.
| ||||
| Coderingen | ||||
| ICD-11 | ||||
| DiseasesDB | 1701 | |||
| DOID | 2942 | |||
| MedlinePlus | 000975 | |||
| eMedicine | emerg/365 | |||
| MeSH | D001988 | |||
| ||||
Bronchiolitis is een luchtweginfectie die leidt tot een ontsteking van de kleinste buisjes die naar de longblaasjes voeren, de bronchiolen. Zijn vooral de grotere luchtwegen aangedaan, dan spreekt men van bronchitis, zijn ook de longblaasjes (alveoli) aangedaan dan spreekt men van een longontsteking (pneumonie).
Oorzaak
De term bronchiolitis verwijst meestal naar een acute virale infectie. Bij kleine kinderen wordt deze vaak veroorzaakt door het RS-virus. Andere virale verwekkers zijn het metapneumovirus, influenza, coronavirus, adenovirus en rinovirus.
Diagnose
In een typisch geval ontwikkelt een kind onder twee jaar een hoest, piepende ademhaling en kortademigheid gedurende één à twee dagen. De diagnose gebeurt via klinisch onderzoek. Een thoraxfoto kan echter handig zijn bij het uitsluiten van pneumonie (longontsteking). Het identificeren van de verwekker gebeurt frequent, maar heeft geen implicaties voor de te volgen therapie.
Het kind kan gedurende enkele dagen kortademig zijn. Na de acute fase is het niet ongewoon dat de luchtwegen overgevoelig blijven gedurende enkele weken. Deze overgevoeligheid manifesteert zich als hoesten en een piepende ademhaling.
Er is een mogelijke link met het ontwikkelen van astma op latere leeftijd. Een mogelijke verklaring is dat bronchiolitis een langdurende ontstekingsreactie veroorzaakt. Een andere verklaring stelt dat kinderen die voorbestemd zijn om later astma te ontwikkelen vatbaarder zijn voor bronchiolitis op jongere leeftijd.
Behandeling
Er is geen specifieke behandeling voorhanden. De te volgen therapie is doorgaans symptoombestrijding. Soms wordt zuurstof toegediend om de oxygenatie op peil te houden. Het vrijmaken door suctie van de nasofarynx zorgt voor een vrije luchtweg. In ernstige gevallen kan het kind gevoed worden via een nasogastrische sonde of kan intraveneus vocht worden toegediend. In extreme gevallen kan mechanische ventilatie noodzakelijk zijn.
Het gebruik van bronchodilatatoren zoals salbutamol of ipratropium is niet langer aangewezen. Het gebeurt echter wel dat een dosis wordt toegediend om de effectiviteit ervan na te gaan. Deze strategie volgt men vaak wanneer astma in de familie voorkomt. Het is immers moeilijk een klinisch onderscheid te maken tussen het beeld van bronchiolitis en dat van een viraal geïnduceerde astma-aanval.
Ribavirine is een antiviraal middel dat geen duidelijke rol speelt bij het behandelen van een infectie met het RS-virus. Er is geen bewijs voor de werkzaamheid van het middel bij bronchiolitis, maar het wordt soms toegediend bij kinderen met een reeds aanwezige long-, hart- of immuunziekte. Antibiotica worden vaak toegediend wanneer een bacteriële infectie het klinische beeld compliceert. Ze hebben echter geen invloed op de onderliggende virale infectie.
Corticosteroïden hebben geen bewezen werkzaamheid bij bronchiolitis.
Er is tegenwoordig enige interesse voor het gebruik van een hypertone saline-oplossing bij bronchiolitis. Dit middel wordt bij taaislijmziekte (cystic fibrosis, mucoviscidose) gebruikt om de slijmen vloeibaarder te maken zodat ze makkelijker geklaard kunnen worden.
Preventie
Over het algemeen is de preventie van bronchiolitis gebaseerd op maatregelen die het verspreiden van de virale verwekkers tegengaan (het wassen van de handen en het vermijden van contact met aangedane patiënten).
Prematuren, en andere kinderen met bewezen cardiale- en longaandoeningen kunnen passieve immunisatie ondergaan in de vorm van Palivizumab (een monoklonaal antilichaam tegen het RS-virus). Deze therapievorm houdt in dat een maandelijkse injectie wordt gegeven gedurende de winter.
