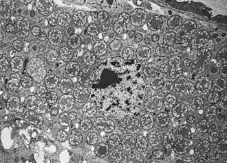
Bacteriocyt
.jpg)

Een bacteriocyt, ook bekend als een mycetocyt, is een gespecialiseerde adipocyte die vooral voorkomt bij bepaalde insecten, zoals bladluizen, tseetseevlieg, Duitse kakkerlak, snuitkevers. Deze cellen bevatten endosymbiotische organismen zoals bacteriën en schimmels, die essentiële aminozuren en andere stoffen aan hun gastheer leveren. Bacteriocyten kunnen bij elkaar in een gespecialiseerd orgaan zitten, het bacterioom.
De plaats waar de bacteriocyten voorkomen is afhankelijk van de insectensoort en het type endosymbiont. Bacteriocyten komen vaak voor in het vetlichaam in het midden van het darmepitheel. De nabijheid van het insectenspijsverteringsstelsel vergemakkelijkt de absorptie van de door de bacteriën geproduceerde voedingsstoffen. Met schimmel geïnfecteerde bacteriocyten en sommige met bacteriën geïnfecteerde bacteriocyten kunnen echter soms in de lichaamsvloeistof voorkomen.[1]
Overdracht van endosymbionten
.jpg)
Overdracht van bacteriocyten vindt plaats via verticale overdracht van moeder op moedernakomelingen. Horizontale overdracht of infectie vindt meestal niet plaats, omdat insecten met bacteriocyten om te overleven sterk afhankelijk zijn van hun symbiotische relaties. Gastheren zonder bacteriocyten overleven meestal niet. In sommige gevallen worden de bacteriën en schimmels met het ei overgedragen, zoals bij Buchnera'[2]; in andere, zoals Wigglesworthia, worden ze overgedragen via een melkachtige substantie die wordt gegeven aan de zich ontwikkelende insectenlarve.
Hoewel verticale overdracht van de symbionten cruciaal is, zijn de onderliggende en cellulaire mechanismen van dit proces relatief onbekend. Er zijn echter verschillende bestaande hypothesen. Een theorie is dat de micro-organismen die circuleren in de hemolymfe van de moeder migreren naar een achterste gebied van de nakomelingen blastula met vergrote follikelcellen. Andere studies suggereren dat symbionten rechtstreeks worden overgebracht van de moederlijke bacteriocyt naar het folliculaire gebied van de blastula via exocytisch en endocytisch transport. Een nieuwere hypothese suggereert dat zich een membraangeleider vormt tussen de moederbacteriocyt en de blastula die fungeert als een brug voor de symbionten. Bovendien tonen sommige onderzoeken aan dat de herkenning van stamceluitsparingen en associatie met dyneïne, kinesine en microtubuli cruciaal zijn voor de overdracht van de ouder op de kiembaan van de nakomelingen evenals afscheiding naar dochtercellen.[3]
- ↑ Thompson, S.N., Simpson, S.J. (2009). Encyclopedia of Insects, 2. Academic Press, Amsterdam, "Nutrition", 715–720.
- ↑ Douglas, A E (1998). Nutritional interactions in insect-microbial symbioses: Aphids and their symbiotic bacteria Buchnera. Annual Review of Entomology 43: 17–38. ISSN: 0066-4170. PMID 15012383. DOI: 10.1146/annurev.ento.43.1.17.
- ↑ Koga, Meng, , Tsuchida,, Fukatsu, (2012). Cellular mechanism for selective vertical transmission of an obligate insect symbiont at the bacteriocyte–embryo interface. Proc Natl Acad Sci USA 109 (20): 1230–1237. PMID 22517738. PMC 3356617. DOI: 10.1073/pnas.1119212109.
- Dit artikel of een eerdere versie ervan is een (gedeeltelijke) vertaling van het artikel Bacteriocyte op de Engelstalige Wikipedia, dat onder de licentie Creative Commons Naamsvermelding/Gelijk delen valt. Zie de bewerkingsgeschiedenis aldaar.