Babesiosis
Raadpleeg bij gezondheidsklachten een arts.
| tekenkoorts | ||||
|---|---|---|---|---|
| Babesiose | ||||
| ||||
| Coderingen | ||||
| ICD-11 | ||||
| DiseasesDB | 1200 | |||
| DOID | 9643 | |||
| MeSH | D001404 | |||
| ||||
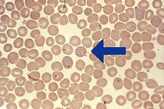
Babesiosis, ook babesiose, tekenkoorts of piroplasmose genoemd, is een infectie die wordt veroorzaakt door de parasiet Babesia (Theileria microti). Babesiosis wordt door een teek overgebracht, de Dermacentor reticulatus. Een infectie met deze parasiet kwam vroeger enkel voor bij dieren, maar in toenemende mate nu ook bij mensen. Na een tekenbeet bedraagt de incubatieperiode één tot drie weken, hoogstens zes weken. Na een bloedtransfusie kan dit zelfs 9 weken zijn. Babesia leeft in rode bloedcellen en vernietigt ze. Dit leidt tot koorts, hoofdpijn en spierpijn. De afbraak van de bloedcellen kan bloedarmoede veroorzaken.
Bij mensen van wie de milt is verwijderd of mensen met een gelijktijdige borrelia-infectie kan de infectie tot ernstige ziekte leiden met zelfs de dood als gevolg. In dit geval lijkt babesiosis op malaria. Dit gaat gepaard met hoge koorts, bloedarmoede, geelzucht, braken nierinsufficiëntie en donkere urine. De meeste gevallen van de ziekte in de Verenigde Staten, die werden opgelopen nabij de kust van New York en Massachusetts, zijn niet ernstig.
Er zijn bij mensen ongeveer 31 gevallen bekend in West-Europa, vooral bij mensen zonder milt. Hierdoor is het verloop van de ziekte veel ernstiger dan bij de Amerikaanse gevallen. In Nederland zijn tot nu toe nog maar enkele patiënten bekend.
Tot voor kort beperkte deze aandoening zich in Europa tot de warme, en in mindere mate tot de gematigde gebieden op aarde. In 2004 zijn echter in de regio Den Haag een aantal gevallen waargenomen in honden. Er lijkt een verband te bestaan met de opkomst in Nederland van de teek Dermacentor reticulatus, die oorspronkelijk alleen in het zuidelijk deel van Europa voorkwam. De Babesia-bloedparasiet (Babesia canis) is een protozoaire bloedparasiet en dringt de rode bloedcellen binnen. Ziekteverschijnselen zijn kortademigheid, koorts, rode urine en plotselinge sterfte. Een hond kan besmet raken door een tekenbeet, als deze teek zich eerder heeft volgezogen met bloed van een besmet dier. Het duurt 24 tot 48 uur voordat de Babesia's besmettelijk worden. Daarom moeten de teken snel worden verwijderd. Ook zijn er bestrijdingsmiddelen tegen teken, zoals spot-on-pipetten, speciale tekenbanden en sprays. Ook is het mogelijk de hond te laten inenten tegen tekenkoorts, maar dit biedt geen volledige bescherming.
Geschiedenis
Tot 1957 was dit slechts een probleem op diergeneeskundig vlak. Babesia microti veroorzaakte bij schapen en runderen 'roodwaterkoorts'. In 1957 werd een eerste patiënt gevonden in het voormalige Joegoslavië. De ziekte werd eerst bij miltloze patiënten beschreven, maar in 1968 werd Babesia vastgesteld bij een patiënt, op een eiland voor de kust van de Verenigde Staten, met een milt. Sindsdien zijn in de VS meerdere gevallen gevonden bij personen waar de milt niet verwijderd was. Bij veel van die patiënten werd hun weerstand zwaar verminderd door een andere ziekte, bijvoorbeeld bij personen met hiv of lymeziekte.
