Anaplastisch oligodendroglioom
Raadpleeg bij gezondheidsklachten een arts.
Anaplastisch oligodendroglioom is een neuro-epitheliale tumor waarvan wordt aangenomen dat deze ontstaat uit oligodendrocyte, een type gliacel. In de classificatie van hersentumoren van de Wereldgezondheidsorganisatie (WHO) worden anaplastisch oligodendroglioom geclassificeerd als graad III.[1] In de loop van de ziekte kunnen ze degenereren tot zeer maligne oligodendroglioom van de graad IV.[2] De overgrote meerderheid van oligodendroglioom komt sporadisch voor, zonder bewezen oorzaak en zonder overdracht binnen een familie.
Tekenen en symptomen
- Aanvallen van epilepsie.
Symptomen van anaplastisch oligodendroglioom kunnen zijn:[3]
- Hartinfarct
- Hoofdpijn
- Zwakte aan één kant van het lichaam
- Taalproblemen
- Gedrags- en persoonlijkheidsveranderingen
- Evenwichts- en bewegingsproblemen
- Geheugenproblemen
Pathogenese
Anaplastisch (kwaadaardig) oligodendroglioom behoort tot de groep van diffuse gliomen en ontstaat in het centrale zenuwstelsel (hersenen en ruggenmerg) uit oligodendrocyten precursor stamcellen. Deze tumor komt voornamelijk voor op middelbare leeftijd met een piekfrequentie in het 4 en 5 levensdecennium.[2]
Diagnostisch
De belangrijkste diagnostische procedure is magnetische resonantie beeldvorming (MRI). Soms wordt, afgezien van routinematige diagnostiek, het metabolisme in weefsels in beeld gebracht met behulp van positronemissietomografie (PET). De diagnose wordt bevestigd door een fijn weefselonderzoek na een operatie. Anaplastisch oligodendroglioom vertonen vaak verlies van genetisch materiaal. Ongeveer 50 tot 70 %[4] van de WHO-graad III anaplastisch oligodendroglioom vertonen gecombineerde allelische verliezen op de korte arm van chromosoom 1 (1p) en de lange arm van chromosoom 19 (19q). Deze wijziging wordt voornamelijk "1p/19q Co-verwijdering". Het kan als gunstig voor de patiënt worden beschouwd en maakt een reactie op radiotherapie of chemotherapie waarschijnlijker. De aanduiding van graad III (hooggradig) oligodendroglioom omvat over het algemeen eerdere diagnoses van anaplastisch of kwaadaardig oligodendroglioom.
-
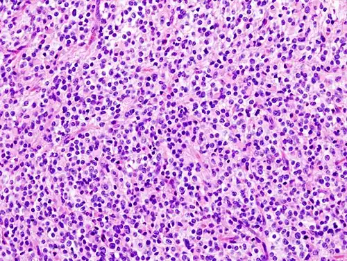
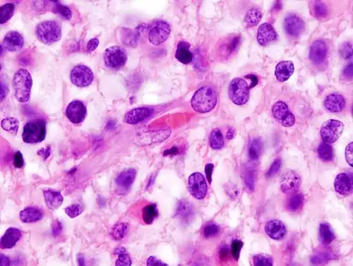
Histopathologisch beeld van anaplastisch oligodendroglioom in de hersenen. Hematoxyline- en eosinekleuring. -
Let bij het inzoomen op de onregelmatige vormen van cellen en kernen. -
IDH1 R132H bij anaplastisch oligodendroglioom
Behandeling
Het verdient de voorkeur om de op MRI zichtbare tumor zo volledig mogelijk te verwijderen, mits de locatie van de tumor dit toelaat. Omdat de cellen van een anaplastisch oligodendroglioom meestal al zijn gemigreerd naar het omringende gezonde hersenweefsel op het moment van diagnose, is volledige chirurgische verwijdering van alle tumorcellen niet mogelijk. De marker "1p/19q codeletie" speelt een steeds belangrijkere rol bij de keuze van therapieën en therapeutische combinaties. Aangezien deze tumor een slappe genegenheid (een langzaam voortschrijdende medische aandoening die gepaard gaat met weinig of geen pijn) en de mogelijke morbiditeit die gepaard gaat met neurochirurgie, chemotherapie en bestralingstherapie, zullen de meeste neuro-oncologen in eerste instantie waakzaam afwachten en patiënten conservatief behandelen. Symptomatische behandeling omvat vaak het gebruik van anticonvulsiva voor toevallen en steroïden voor hersenzwelling. Voor verdere behandeling is aangetoond dat bestraling of chemotherapie met temozolomide of chemotherapie met procarbazine, lomustine en vincristine (PCV) effectief is en het meest gebruikte chemotherapieregime was voor de behandeling van anaplastisch oligodendroglioom.[2][5]
Cyberknife kan worden gebruikt voor de behandeling van anaplastisch oligodendroglioom.[6]
Prognose
Relatief overlevingspercentage na 5 jaar: 20 tot 44 jaar, 76%. 45-54 jaar, 67%. 55-64 jaar, 45%. Procarbazine, lomustine en vincristine worden gebruikt sinds mei 1975. Gedurende 48[7][8] jaar zijn er regelmatig nieuwe therapeutische opties getest in therapeutische studies om de behandeling van anaplastisch oligodendroglioom te verbeteren.[9]
Onderzoek
Het was ontdekking dat neoplasma communiceren met elkaar in een groot netwerk, stoffen uitwisselen die nodig zijn om te overleven, en zo de effecten van bestraling of chemotherapie kunnen vermijden. Netwerkcommunicatie speelt ook een belangrijke rol bij de verspreiding van de ziekte. De tumorcellen zijn zelfs verbonden met gezonde zenuwcellen en ontvangen directe signalen van hen – op deze manier kunnen de tumoren sneller groeien. De onderzochte mechanismen bieden niet alleen fundamenteel nieuwe verklaringen voor de zeer agressieve groei van dit type tumor. Ze bieden ook benaderingen voor nieuwe therapieën - om de groei van hersentumoren te stoppen en bestaande therapieën effectiever te maken. Zo wordt de verstoring en zelfs vernietiging van tumorcelnetwerken een geheel nieuw therapeutisch principe in de oncologie, met de eerste klinische onderzoeken op basis van deze bevindingen.[10]
Literatuur
- Weller M, van den Bent M, Preusser M, Le Rhun E, Tonn JC, Minniti G, Bendszus M, Balana C, Chinot O, Dirven L, French P, Hegi ME, AS Jakola, M. Platten, P. Roth, R. Rudà, S. Short, M. Smits, MJ Taphoorn, A. von Deimling, M. Westphal, R. Soffietti, G. Reifenberger, W. Wick: EANO-richtlijnen voor de diagnose en behandeling van diffuse gliomen op volwassen leeftijd. In: Natuurbeoordelingen. Klinische oncologie. Jaargang 18, Nummer 3, 03 2021, p. 170-186, DOI:10.1038/s41571-020-00447-z, PMID 33293629, PMC 7904519 (beoordeling).
Externe links
- Molekulare Diagnostik. Centrum voor Neuropathologie en Priononderzoek – Ludwig Maximilians-Universiteit München. Geraadpleegd op 23 oktober 2021.
- Neuro-oncologie
Noten
- ↑ (August 2007). The 2007 WHO classification of tumours of the central nervous system. Acta Neuropathol 114 (2): 97–109. PMID 17618441. PMC 1929165. DOI: 10.1007/s00401-007-0243-4.
- ↑ a b c Radboud universitair medisch centrum., highly malignant oligodendroglioma, grade IV. www.radboudumc.nl/ 46–48.
- ↑ Oligodendrogliom, hjärntumör: orsaker, symtom och behandlingar (6 maart 2022).
- ↑ (en) administrador, "Anaplastic oligodendroglioma, IDH-mutant & 1p/19q-codeleted", 5 February 2020. Gearchiveerd op 21 juni 2022. Geraadpleegd op 13 juni 2023.
- ↑ (November 2003). Oligodendroglioma and anaplastic oligodendroglioma: clinical features, treatment, and prognosis. Surg Neurol 60 (5): 443–56. PMID 14572971. DOI: 10.1016/s0090-3019(03)00167-8.
- ↑ Radiosurgery/Cyberknife. Stanford School of Medicine. Gearchiveerd op 3 september 2007. Geraadpleegd op 8 February 2019.
- ↑ Survival Rates for Selected Adult Brain and Spinal Cord Tumors. American Cancer Society. Geraadpleegd op 8 January 2021.
- ↑ Ostrom, Quinn T., Gittleman, Haley, Liao, Peter, Vecchione-Koval, Toni, Wolinsky, Yingli (October 2017). CBTRUS Statistical Report: Primary brain and other central nervous system tumors diagnosed in the United States in 2010–2014. Neuro-Oncology 19 (S5): v1–v88. PMID 29117289. DOI: 10.1093/neuonc/nox158.
- ↑ (May 1975). Phase II study of procarbazine, CCNU, and vincristine combination chemotherapy in the treatment of malignant brain tumors. Cancer 35 (5): 1398–404. PMID 1122488. DOI: <1398::aid-cncr2820350524>3.0.co;2-c 10.1002/1097-0142(197505)35:5<1398::aid-cncr2820350524>3.0.co;2-c.
- ↑ (April 2023). Cancer Neuroscience: State of the Field, Emerging Directions. Cell 186: 1689–1707. PMID 37059069. DOI: 10.1016/j.cell.2023.02.002.