Adenoïdcystisch carcinoom
Raadpleeg bij gezondheidsklachten een arts.
Het adenoïdcystisch carcinoom, adenoïde cystisch carcinoom of adenoïd cysteus carcinoom is een zeldzame, kwaadaardige speekselklierkanker. Het komt vooral voor in het hoofd- en nekgebied. De meest voorkomende plaats is de speekselklier (oorspeekselklier, onderkaakspeekselklier, kleine mondspeekselklieren)[1] Bovendien kan de tumor op veel andere locaties worden waargenomen, zoals in de traanklier,[2] neus en neusholten,[3] strottenhoofd,[4] luchtpijp, bronchiën,[5] longen, huid,[6] melkklieren,[7] buitengehoorgang,[8] baarmoederhals,[9] klier van Bartholin[10] of prostaat.[11] Aanvankelijk is langzame groei typerend voor adenoïdcystisch carcinoom, maar de tumor vertoont een uitgesproken neiging om in het omliggende weefsel te infiltreren en kan daarom vaak niet volledig worden verwijderd en keert uiteindelijk terug.[12]
Afbeeldingen
-
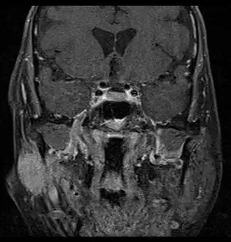
Coronale MRI die cystisch carcinoom van de rechter oorspeekselklier toont met perineurale uitzaaiing van de tumor: de tumor vindt zijn oorsprong in de rechter oorspeekselklier en verspreidt zich langs de nervus trigeminus via de nervus auriculotemporalis die zich intracraniaal uitstrekt door het foramen ovale bij de schedelbasis richting de holte van Meckel. -
Coronale MRI die cystisch carcinoom van de rechter oorspeekselklier toont met perineurale verspreiding van de tumor langs de aangezichtszenuw die zich uitstrekt tot het foramen stylomastoïde -
Histopathologisch beeld van adenoïdcystisch carcinoom van de speekselklier die een zenuw infiltreert (midden), H&E-kleuring -
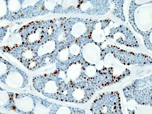
Histopathologisch beeld van adenoïdcystisch carcinoom van de speekselklier, immunokleuring voor S-100-eiwit -
Biopt van adenoïdcystisch carcinoom, aspiratiemonster met fijne naald -
Adenoïdcystisch carcinoom met comedonecrose -
Relatief voorkomen van submandibulaire tumoren, waarbij het adenoïdcystisch carcinoom de tweede meest voorkomende is.[13] -
Relatief voorkomen van oorspeekselkliertumoren, waarbij adenoïdcystisch carcinoom relatief zeldzaam is.[13]
- ↑ J. R. Molina, M. C. Aubry, J. E. Lewis, J. A. Wampfler, B. A. Williams, D. E. Midthun, P. Yang, S. D. Cassivi: Primary salivary gland-type lung cancer: spectrum of clinical presentation, histopathologic and prognostic factors. In: Cancer, 2007 Nov 15;110(10), S. 2253–2259.
- ↑ F. P. Bernardini, M. H. Devoto, J. O. Croxatto. Epithelial tumors of the lacrimal gland: an update. In: Curr Opin Ophthalmol. 2008 Sep;19(5), S. 409–413. PMID 18772674.
- ↑ A. D. Lupinetti, D. B. Roberts, M. D. Williams, M. E. Kupferman, D. I. Rosenthal, F. Demonte, A. El-Naggar, R. S. Weber, E. Y. Hanna: Sinonasal adenoid cystic carcinoma: the M. D. Anderson Cancer Center experience. In: Cancer. 2007 Dec 15;110(12), S. 2726–2731.
- ↑ A. Del Negro, E. Ichihara, A. J. Tincani, A. Altemani, A. S. Martins: Laryngeal adenoid cystic carcinoma: case report. In: Sao Paulo Med J. 2007 Sep 6;125(5), S. 295–296. PMID 18094899
- ↑ E. Albers, T. Lawrie, J. H. Harrell, E. S. Yi: Tracheobronchial adenoid cystic carcinoma: a clinicopathologic study of 14 cases. In: Chest. 2004 Mar;125(3), S. 1160–1165.
- ↑ E. Naylor, P. Sarkar, C. S. Perlis, D. Giri, D. R. Gnepp, L. Robinson-Bostom: Primary cutaneous adenoid cystic carcinoma. In: J Am Acad Dermatol. 2008 Apr;58(4), S. 636–641. PMID 18342709.
- ↑ Y. M. Law, S. T. Quek, P. H. Tan, S. L. Wong: Adenoid cystic carcinoma of the breast. In: Singapore Med J. 2009 Jan;50(1), S. e8–e11. PMID 19224074
- ↑ C. P. Carvalho, A. N. Barcellos, D. C. Teixeira, O. Sales Jde, R. Silva Neto: Adenoid cystic carcinoma of the external auditory canal. In: Braz J Otorhinolaryngol. 2008 Sep-Oct;74(5), S. 794–796. PMID 19082366.
- ↑ S. A. Koyfman, A. Abidi, P. Ravichandran, S. A. Higgins, M. Azodi: Adenoid cystic carcinoma of the cervix. In: Gynecol Oncol. 2005 Nov;99(2), S. 477–480. PMID 16139349
- ↑ F. M. Woida, A. Ribeiro-Silva: Adenoid cystic carcinoma of the Bartholin gland: an overview. In: Arch Pathol Lab Med. 2007 May;131(5), S. 796–798. PMID 17488169
- ↑ S. K. Halat, G. T. MacLennan: Adenoid cystic/basal cell carcinoma of the prostate. In: J Urol. 2008;179, S. 1576. PMID 18295260
- ↑ American Society of Clinical Oncology: Adenoid Cystic Carcinoma. auf: cancer.net (07/2008)
- ↑ a b Salivary Gland Neoplasms. Medscape (23 december 2021). Updated: Jan 13, 2021
Diagrams by Mikael Häggström, MD