Spondyloarthritis

Spondyloarthritis
Other namesSpondyloarthropathy
Bone scintigraphy made with 99mTc demonstrating the highly enhanced tumor borders and the left elbow affected by psoriatic arthritis.
SpecialtyRheumatology Edit this on Wikidata

Spondyloarthritis (SpA), also known as spondyloarthropathy, is a collection of syndromes connected by genetic predisposition and clinical symptoms.[1] The best-known subtypes are enteropathic arthritis (EA), psoriatic arthritis (PsA), ankylosing spondylitis (AS), and reactive arthritis (ReA).[2] Symptoms of spondyloarthritis include back pain, arthritis, and enthesitis, inflammation at bone-adhering ligaments, tendons, or joint capsules.

Spondyloarthritis is caused by a combination of genetic and environmental factors.[3] It is associated with intestinal inflammation, with a connection between Crohn's disease and ankylosing spondylitis.[4] Reactive arthritis is primarily caused by gastrointestinal, genitourinary, respiratory infections, and genetic factors.[3]

Spondyloarthritis is diagnosed based on symptoms and imaging. Early diagnosis criteria use genetic testing and more advanced forms of medical imaging.[5] Spondyloarthritis is categorized into two groups based on the Assessment of SpondyloArthritis International Society (ASAS) criteria: primarily axial involvement and predominantly peripheral manifestations.[6][7]

Non-steroidal anti-inflammatory drugs (NSAIDs) are administered first for active axial signs of spondyloarthritis. If NSAIDs are contraindicated or cause side effects, TNF blockers are used. Traditional disease-modifying antirheumatic drugs (DMARDs) are not used for people without peripheral disease signs.[8]

Signs and symptoms

In all subtypes of spondyloarthritis, inflammatory back pain and/or asymmetrical arthritis, mainly affecting the lower limbs, are the most common symptoms.[9] Another characteristic is enthesitis, which is inflammation at the locations where ligaments, tendons, or joint capsules adhere to bone.[10]

Sacroiliitis symptoms

Inflammatory back pain associated with ankylosing spondylitis usually starts slowly, has a dull feel to it, and spreads into the gluteal areas. Back pain has a nocturnal component, gets better with movement, and is worse in the morning. Axial arthritis may begin in the sacroiliac joints and work its way up to the cervical spine over time. Spinal abnormalities such as flattening of the lumbar lordosis, exaggeration of the thoracic kyphosis, and hyperextension of the cervical spine lead to limited spinal motion. Hip and shoulder arthritis can occur in some people with ankylosing spondylitis, usually early in the course of the illness. Usually, the other peripheral joints start to be affected later. Most frequently, there is an asymmetrical involvement of the lower extremities.[10]

Reactive arthritis is an aseptic arthritis caused by an infectious pathogen found outside the joint. Particularly affecting the joints in the lower limbs, the arthritis is usually oligoarticular. In most cases, the condition develops quickly; two to four joints may swell and hurt in an uneven manner within a few days. Inflammatory back pain and dactylitis are also prevalent.[10]

Psoriatic arthritis is known to present in five distinct patterns: oligoarticular (affecting four or fewer joints); polyarticular (affecting five or more joints); prominent distal interphalangeal (DIP) joint involvement; arthritis mutilans; and psoriatic spondylitis. More than 70% of cases follow the oligoarticular pattern. Distal joints are frequently impacted by psoriatic arthritis, which is typically asymmetrical.[10]

Up to 20% of people with inflammatory bowel disease (IBD) develop spondyloarthropathy. Those with Crohn's disease are more likely to have this association than those with ulcerative colitis. Arthritis may appear before bowel disease. Usually, the lower extremities are asymmetrically affected by arthritis. The arthritis typically manifests abruptly and follows a migratory pattern.[10]

In those who do not fit the criteria for any of the well-established spondyloarthropathies, the term "undifferentiated spondyloarthropathy" is used to characterize the signs of spondyloarthritis. A tiny percentage of these eventually experience a characterized spondyloarthritis, but most experience more general symptoms such as dactylitis, enthesitis, unilateral or alternating buttock pain, inflammatory back pain, and occasionally extra-articular symptoms.[10]

Causes

Spondyloarthritis is caused by a complicated combination of genetic polymorphisms and environment. The relative contributions of genes and environment may differ across different types of spondyloarthritis.[3]

Risk factors

Microscopically visible ileal inflammation is seen in about 50% of people with spondyloarthritis and ankylosing spondylitis during ileocolonoscopy.[11][4] There seems to be an immunological connection between the gut inflammation observed in Crohn's disease and ankylosing spondylitis.[12] It is known that, in comparison to healthy controls, people with ankylosing spondylitis and those related to them have higher intestinal permeability.[13]

Triggers

The majority of organisms responsible for reactive arthritis are gastrointestinal pathogens, such as Shigella flexneri, Clostridioides difficile, Yersinia enterocolitica and Yersinia pseudotuberculosis, Campylobacter jejuni and Campylobacter coli, and Salmonella spp. Genitourinary and respiratory infections, such as Chlamydia trachomatis and Chlamydia pneumoniae, have also been linked to reactive arthritis.[3]

Genetics

Given the well-established familial aggregation and the concordance rate of up to 63% in identical twins (vs 23% in nonidentical twins), it is evident that genetic variables play a role in the susceptibility to ankylosing spondylitis.[14][15] There is limited research on familial aggregation in other forms of spondyloarthritis.[12]

HLA-B27 is a polymorphic form of the HLA-B molecule found in up to 95% of people with ankylosing spondylitis of European ancestry,[16][17] 70% with reactive arthritis,[18] 60% with psoriatic spondylitis,[12] 25% with peripheral psoriatic arthritis,[17] and 70% with spondylitis associated with inflammatory bowel disease.[17][16]

Mechanism

Inflammatory pathways in spondyloarthritis

The arthritogenic-peptide theory is the classic pathophysiological paradigm for spondyloarthritis. It argues that HLA-B27 displays self-peptides that resemble pathogen-derived peptides to CD8-restricted T cells. Two other theories have been proposed to explain HLA-B27's function. They suggest that HLA-B27's genesis may be autoinflammatory rather than autoimmune, as it plays a part in initiating innate immune responses instead of its traditional function of presenting antigens.[2]

According to the first hypothesis, HLA-B27 heavy chains devoid of β2 microglobulin can form disulphide-linked homodimers that are produced at the cell surface and can be recognized directly by KIR3DL2 killer immunoglobulin-like receptors, regardless of the associated peptide.[19][20]

According to the second hypothesis, the B pocket's Cys 67 residue causes HLA-B27 heavy-chain misfolding in the endoplasmic reticulum before assembling into complexes with peptide and β2 microglobulin.[21][22] As a result, the unfolded protein response (UPR) modifies the immune cells' cytokine output and reactivity to various innate immunological stimuli.[23][24][25]

Diagnosis

Spondyloarthritis is primarily diagnosed, or at least first suspected, based on clinical factors. According to the current criteria for ankylosing spondylitis, a person must exhibit clinical symptoms of inflammatory back pain and limited spinal mobility together with radiological sacroiliitis. But many people with inflammatory back pain may have no radiographic evidence of sacroiliitis since up to 10 years might pass between the onset of inflammatory back pain and the development of radiographic sacroiliitis.[5] Criteria for the early diagnosis of axial spondyloarthritis have been developed in light of the emergence of effective treatments. These criteria consider the added value of HLA-B27 testing, as well as current advancements in MRI scanning.[6][26]

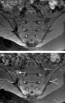
Magnetic resonance images of sacroiliac joints: psoriatic arthritis. Shown are T1-weighted semi-coronal magnetic resonance images through the sacroiliac joints (a) before and (b) after intravenous contrast injection. Enhancement is seen at the right sacroiliac joint (arrow), indicating active sacroiliitis.

Imaging is crucial to the spondyloarthritis diagnosis process. The most distinctive radiographic observation is the sacroiliac (SI) joints' erosion, ankylosis, and sclerosis.[27] There must be clear evidence of sacroiliitis (at least grade 2 bilaterally or grade 3 unilaterally) on the radiographs to diagnose ankylosing spondylitis. When axial spondyloarthritis is suspected, sacroiliac joint radiographs are still the initial imaging approach. If radiographs clearly show sacroiliitis, then no more diagnostic imaging is required. But because structural change seen on radiographs can take months or years to emerge, normal radiographs or worrisome abnormalities only warrant additional diagnostic imaging in the context of suggestive clinical symptoms or findings.[28] Furthermore, reading sacroiliac joint radiographs can be difficult and dependent on several variables, such as the image quality, the radiological technique, the reader's background, and variations in sacroiliac anatomy.[29][30]

A challenge associated with radiographic imaging is the typical ten-year lag between the beginning of inflammatory back pain and the development of radiographic sacroiliitis.[26] MRI imaging of the spine and entheses has made it possible to distinguish between inflammatory spinal lesions associated with ankylosing spondylitis and those unrelated to it earlier than is feasible with traditional radiography. It has also allowed for accurate anatomical description of spinal components.[31] The only imaging modality that can precisely identify and evaluate spinal inflammation at this time is magnetic resonance imaging (MRI) of the sacroiliac joints and spine. It is also being developed as a gauge of disease activity and response to treatment.[5]

When evaluating someone with reactive arthritis or psoriatic arthritis, plain radiographs of the hands and feet are very beneficial. Seventy-five percent of those with psoriatic arthritis have radiographic abnormalities of the peripheral joints, such as soft tissue swelling, erosions, periarticular osteopenia, periostitis, and narrowing of the joint space. Aggressive psoriatic arthritis erosions can result in the articular surface of the proximal bone of the joint being destroyed and taking on the look of a "pencil in cup."[27]

Laboratory abnormalities in spondyloarthritis are nonspecific and less effective for diagnosing a specific disease than clinical presentation. Normochromic normocytic anemia, increased C reactive protein, and erythrocyte sedimentation rate are frequently present nonspecific indicators.[27]

Testing for the human leukocyte antigen (HLA) can be the most beneficial laboratory investigation. Since only 5% of those with HLA-B27 in the general population will develop ankylosing spondylitis, the correlation between HLA-B27 and the prevalence of spondyloarthritis is weak. Therefore, the illness prevalence in a particular population must be taken into account when interpreting results from HLA-B27 testing.[27]

Classification

Spondyloarthritis is classified into two categories based on the Assessment of SpondyloArthritis International Society (ASAS) classification criteria: primarily axial involvement and predominantly peripheral manifestations.[6][7]

Axial spondyloarthritis

A person must meet two requirements to be considered for a diagnosis of axial spondyloarthritis: they must be under 45 years old and have experienced back pain of any kind for at least three months.[6]

The second step comprises two sections that are assessed independently according to the existence of either sacroiliitis on imaging or human leukocyte antigen (HLA) B27:[6]

  • HLA-B27-positive people — To diagnose axial spondyloarthritis in those who test positive for HLA-B27, at least two more spondyloarthritis symptoms from the list below must be present.[6]
  • Sacroiliitis on imaging — When sacroiliitis is diagnosed in those with structural alterations on plain radiographs or subchondral bone marrow edema (BME) on MRI, at least one additional sign of spondyloarthritis from the list below should be present.[6]

Spondyloarthritis features:

Peripheral spondyloarthritis

The initial requirement is that a person have at least one of the following three findings:[7]

If the person meets the previous requirements, they must exhibit at least one of Group A's spondyloarthritis features or two of Group B's spondyloarthritis features.[7]

Group A spondyloarthritis features:[7]

Group B spondyloarthritis features:[7]

Treatment

Improving the persons's state (pain, functional impairment, etc.) and preventing further clinical deterioration are the goals of spondyloarthritis treatment.[2] The ASAS has issued guidelines regarding the use of TNF blockers specifically[33] as well as the general care of spondyloarthritis.[34] Non-steroidal anti-inflammatory drugs (NSAIDs) should be administered first to those with active, primarily axial signs of spondyloarthritis. If NSAID medication is contraindicated, does not work, or causes side effects, people are then treated with tumor necrosis factor (TNF) blockers. Because there is insufficient evidence of treatment efficacy, those with axial spondyloarthritis who do not exhibit peripheral disease signs do not receive traditional disease-modifying antirheumatic drugs (DMARDs). But if peripheral arthritis is present, those with spondyloarthritis should get treatment with conventional DMARDs before TNF-blocker medication and after the failure of NSAID therapy.[8]

According to a recent Cochrane systematic review of published work, supervised group physiotherapy is superior to home exercises, individual home-based or supervised exercise programs are preferable to no intervention, and in-patient spondyloarthritis exercise therapy combined with follow-up group physiotherapy is superior to group physiotherapy alone.[35] Recreational exercise, whether performed in a group setting or alone, helps people with ankylosing spondylitis feel less stiff and in pain. Back exercise also helps these people function better, but the effects vary depending on how long the disease has been present. People's health improves when they engage in back exercises five days a week and recreational activity for at least half an hour each day.[36][35]

NSAIDs continue to be the first line of treatment for spondylitis, and many people will get adequate symptom relief on their own with just these medications. The best NSAID for treating those with ankylosing spondylitis appears to be tolmetin or indomethacin, although there is insufficient evidence to support this theory in rheumatologic practice. The majority of those with established peptic ulcer disease should take selective COX-2 antagonists.[12]

When peripheral arthritis coexists with axial illness, conventional DMARDs such methotrexate,[37] sulfasalazine,[38] or leflunomide may be useful in treating peripheral spondyloarthritis.[39] These drugs are typically ineffective in treating axial symptoms of spondyloarthritis.[40]

After 2000, a number of studies examining the effects of TNF blockers on people with ankylosing spondylitis were published. These studies demonstrated that TNF-blocker therapy improves clinical symptoms, CRP levels, and MRI-detectable inflammation in the spine or sacroiliac joints.[8] These improvements were noted with certolizumab pegol,[41] etanercept,[42][43] infliximab,[44][45] adalimumab,[46] and golimumab.[47]

Outlook

The lives of people with ankylosing spondylitis are profoundly affected.[5] According to recent statistics, people with ankylosing spondylitis, particularly those who are older and have had the condition longer, may be more likely than population controls to be work handicapped or not engage in the labor market. Additionally, those with ankylosing spondylitis were more likely to have never married or been divorced. Compared to expectations, women with ankylosing spondylitis were less likely to have had children.[31] People with ankylosing spondylitis experience up to 50% more sick leave episodes, an overall 8% loss of productivity, and a thrice higher rate of disability than the general population. Their overall frequency of disability and economic costs are comparable to those of rheumatoid arthritis.[48] Furthermore, increasing evidence indicates that cardiovascular illness puts those with ankylosing spondylitis at risk for early death.[49]

Early research on the course of reactive arthritis indicated a poor prognosis.[5] But more recent research has shown that the prognosis for reactive arthritis is generally favourable.[50] Within six months of onset, the majority of cases seem to resolve.[5]

The prognosis for psoriatic arthritis is worse than previously thought, according to recent research.[51][52] It has also been demonstrated that those with psoriatic arthritis have a higher mortality rate, which is linked to high erythrocyte sedimentation rate, high usage of medications, and early radiographic damage.[5]

While not well researched, the prognosis for juvenile spondyloarthritisis is unknown.[53] According to the data available, children who have had a condition for longer than five years are more likely to be impaired. After five years of the illness, the chance of remission was only 17 percent. After ten years of the condition, moderate to severe restriction affects around 60% of children with juvenile spondyloarthritis.[5]

Epidemiology

The prevalence of ankylosing spondylitis and spondyloarthritis, in particular, varies across populations and is similar to that of HLA-B27.[5] The incidence of spondyloarthritis as a disease entity was recorded in only four investigations, and ranged from 0.48/100,000 in Japan[54] to 62.5/100,000 in Spain.[55][56] Data on the prevalence of spondyloarthritis were reported from 16 investigations; the results ranged from 0.01% in Japan[54] to 2.5% in Alaska.[57][56]

Those with European heritage have a 0.2% to 0.7% prevalence of ankylosing spondylitis.[58][59][60] Reactive arthritis prevalence is unknown and likely varies with time based on endemic rates of the enteric (Shigella, Salmonella, Campylobacter) and sexually acquired (chlamydia) infections that cause it.[5] In the general community, 1–3% of people have psoriasis.[60] It is less known how common psoriatic arthritis is, and it is more common in people with more severe disease; population studies in Caucasians suggest that the prevalence is about 0.1%.[58] Inflammatory bowel disease about 400 Caucasians per 100,000 people, with a male–to–female ratio of 1:1.[59][58] People of Asian and African ancestry rarely experience it. Varying reports have varying risks for spondylitis and peripheral arthritis, which may be related to the observer's specialty. 15% to 20% of people with inflammatory bowel disease have spondylitis.[5] Peripheral arthritis is generally less common in those with ulcerative colitis (up to 10%) than in those with Crohn's disease (up to 20%), but it is more common in cases where a rheumatologist served as the assessor.[59][58]

History

Moll and associates first proposed the idea of a collection of similar conditions known as seronegative spondyloarthritides in 1974.[61] Psoriatic arthritis, reactive arthritis, arthritis associated with inflammatory bowel disease, a subtype of juvenile idiopathic arthritis, and ankylosing spondylitis comprise the group of disorders currently referred to as spondyloarthritis.[2]

See also

References

  1. ^ Inman, Robert D. (2012). "The Spondyloarthropathies". Goldman's Cecil Medicine. Elsevier. pp. 1690–1697. doi:10.1016/b978-1-4377-1604-7.00273-6. ISBN 978-1-4377-1604-7.
  2. ^ a b c d Dougados, Maxime; Baeten, Dominique (2011). "Spondyloarthritis". The Lancet. 377 (9783): 2127–2137. doi:10.1016/S0140-6736(11)60071-8. PMID 21684383.
  3. ^ a b c d Sikora, Keith A.; Layh-Schmitt, Gerlinde; Colbert, Robert A. (2017). "Etiology and Pathogenesis of Spondyloarthritis". Kelley and Firestein's Textbook of Rheumatology. Elsevier. pp. 1245–1255.e4. doi:10.1016/b978-0-323-31696-5.00074-7. ISBN 978-0-323-31696-5.
  4. ^ a b Mielants, H.; Veys, E. M.; Goemaere, S.; Goethals, K.; Cuvelier, C.; De Vos, M. (1991). "Gut inflammation in the spondyloarthropathies: clinical, radiologic, biologic and genetic features in relation to the type of histology. A prospective study". The Journal of Rheumatology. 18 (10): 1542–1551. ISSN 0315-162X. PMID 1765980.
  5. ^ a b c d e f g h i j k Reveille, John D. (2019). "Spondyloarthritis". Clinical Immunology. Elsevier. pp. 769–787. doi:10.1016/b978-0-7020-6896-6.00057-0. ISBN 978-0-7020-6896-6.
  6. ^ a b c d e f g h i j k l m n o p q Rudwaleit, M; van der Heijde, D; Landewe, R; Listing, J; Akkoc, N; Brandt, J; Braun, J; Chou, C T; Collantes-Estevez, E; Dougados, M; Huang, F; Gu, J; Khan, M A; Kirazli, Y; Maksymowych, W P; Mielants, H; Sorensen, I J; Ozgocmen, S; Roussou, E; Valle-Onate, R; Weber, U; Wei, J; Sieper, J (2009-03-17). "The development of Assessment of SpondyloArthritis international Society classification criteria for axial spondyloarthritis (part II): validation and final selection". Annals of the Rheumatic Diseases. 68 (6). BMJ: 777–783. doi:10.1136/ard.2009.108233. ISSN 0003-4967. PMID 19297344.
  7. ^ a b c d e f g h i j k l m n o p q r s t Rudwaleit, M.; van der Heijde, D.; Landewe, R.; Akkoc, N.; Brandt, J.; Chou, C. T.; Dougados, M.; Huang, F.; Gu, J.; Kirazli, Y.; Van den Bosch, F.; Olivieri, I.; Roussou, E.; Scarpato, S.; Sorensen, I. J.; Valle-Onate, R.; Weber, U.; Wei, J.; Sieper, J. (2010-11-24). "The Assessment of SpondyloArthritis international Society classification criteria for peripheral spondyloarthritis and for spondyloarthritis in general". Annals of the Rheumatic Diseases. 70 (1). BMJ: 25–31. doi:10.1136/ard.2010.133645. ISSN 0003-4967. PMID 21109520.
  8. ^ a b c Sieper, Joachim; Poddubnyy, Denis (2016). "New evidence on the management of spondyloarthritis". Nature Reviews Rheumatology. 12 (5): 282–295. doi:10.1038/nrrheum.2016.42. ISSN 1759-4790. PMID 27052489.
  9. ^ Sieper, Joachim; Rudwaleit, Martin; Khan, Muhammed Asim; Braun, Jürgen (2006). "Concepts and epidemiology of spondyloarthritis". Best Practice & Research Clinical Rheumatology. 20 (3): 401–417. doi:10.1016/j.berh.2006.02.001. PMID 16777573.
  10. ^ a b c d e f Kataria, Rajesh K.; Brent, Lawrence H. (2004-06-15). "Spondyloarthropathies". American Family Physician. 69 (12): 2853–2860. PMID 15222650. Retrieved 2024-07-24.
  11. ^ Leirisalo-Repo, Marjatta; Turunen, Ulla; Stenman, Svante; Helenius, Petri; Seppälä, Kari (1994). "High Frequency of Silent Inflammatory Bowel Disease in Spondylarthropathy". Arthritis & Rheumatism. 37 (1). Wiley: 23–31. doi:10.1002/art.1780370105. ISSN 0004-3591. PMID 8129761.
  12. ^ a b c d Reveille, John D.; Arnett, Frank C. (2005). "Spondyloarthritis: update on pathogenesis and management". The American Journal of Medicine. 118 (6): 592–603. doi:10.1016/j.amjmed.2005.01.001. PMID 15922688.
  13. ^ MARTÍNEZ-GONZÁLEZ, O.; CANTERO-HINOJOSA, J.; PAULE-SASTRE, P.; GÓMEZ-MAGÁN, J. C.; SALVATIERRA-RÍOS, D. (1994). "Intestinal Permeability in Patients with Ankylosing Spondylitis and Their Healthy Relatives". Rheumatology. 33 (7). Oxford University Press (OUP): 644–647. doi:10.1093/rheumatology/33.7.644. ISSN 1462-0324. PMID 8019793.
  14. ^ Brown, Matthew A.; Kennedy, L. Gail; Macgregor, Alex J.; Darke, Chris; Duncan, Emma; Shatford, Jane L.; Taylor, Andrew; Calin, Andrei; Wordsworth, Paul (1997). "Susceptibility to ankylosing spondylitis in twins the role of genes, HLA, and the environment". Arthritis & Rheumatism. 40 (10). Wiley: 1823–1828. doi:10.1002/art.1780401015. ISSN 0004-3591. PMID 9336417.
  15. ^ Brown, M A (2000-11-01). "Recurrence risk modelling of the genetic susceptibility to ankylosing spondylitis". Annals of the Rheumatic Diseases. 59 (11). BMJ: 883–886. doi:10.1136/ard.59.11.883. ISSN 0003-4967. PMC 1753017. PMID 11053066.
  16. ^ a b van der Linden, Sjef M.; Baeten, Dominique; Maksymowych, Walter P. (2013). "Ankylosing Spondylitis". Kelley's Textbook of Rheumatology. Elsevier. pp. 1202–1220.e5. doi:10.1016/b978-1-4377-1738-9.00075-x. ISBN 978-1-4377-1738-9.
  17. ^ a b c Brown, M. A.; Wordsworth, B. P.; Reveille, J. D. (2002). "Genetics of ankylosing spondylitis". Clinical and Experimental Rheumatology. 20 (6 Suppl 28): S43–49. ISSN 0392-856X. PMID 12463446.
  18. ^ P, Ekman; J, Kirveskari; K, Granfors (2000). "Modification of disease outcome in Salmonella-infected patients by HLA-B27". Arthritis and Rheumatism. 43 (7). Arthritis Rheum: 1527–1534. doi:10.1002/1529-0131(200007)43:7<1527::AID-ANR17>3.0.CO;2-G. ISSN 0004-3591. PMID 10902756.
  19. ^ Kollnberger, Simon; Bird, Lucy A.; Roddis, Matthew; Hacquard-Bouder, Cecile; Kubagawa, Hiromi; Bodmer, Helen C.; Breban, Maxime; McMichael, Andrew J.; Bowness, Paul (2004-08-01). "HLA-B27 Heavy Chain Homodimers Are Expressed in HLA-B27 Transgenic Rodent Models of Spondyloarthritis and Are Ligands for Paired Ig-Like Receptors". The Journal of Immunology. 173 (3). The American Association of Immunologists: 1699–1710. doi:10.4049/jimmunol.173.3.1699. ISSN 0022-1767. PMID 15265899.
  20. ^ Chan, A. T.; Kollnberger, S. D.; Wedderburn, L. R.; Bowness, P. (2005-10-27). "Expansion and enhanced survival of natural killer cells expressing the killer immunoglobulin-like receptor KIR3DL2 in spondylarthritis". Arthritis & Rheumatism. 52 (11). Wiley: 3586–3595. doi:10.1002/art.21395. ISSN 0004-3591. PMID 16255049.
  21. ^ Mear, J. P.; Schreiber, K. L.; Münz, C.; Zhu, X.; Stevanović, S.; Rammensee, H. G.; Rowland-Jones, S. L.; Colbert, R. A. (1999-12-15). "Misfolding of HLA-B27 as a result of its B pocket suggests a novel mechanism for its role in susceptibility to spondyloarthropathies". Journal of Immunology. 163 (12): 6665–6670. doi:10.4049/jimmunol.163.12.6665. ISSN 0022-1767. PMID 10586062.
  22. ^ Dangoria, Nandita S.; DeLay, Monica L.; Kingsbury, Daniel J.; Mear, John P.; Uchanska-Ziegler, Barbara; Ziegler, Andreas; Colbert, Robert A. (2002). "HLA-B27 Misfolding Is Associated with Aberrant Intermolecular Disulfide Bond Formation (Dimerization) in the Endoplasmic Reticulum". Journal of Biological Chemistry. 277 (26). Elsevier BV: 23459–23468. doi:10.1074/jbc.m110336200. ISSN 0021-9258. PMID 11978783.
  23. ^ Turner, Matthew J.; Sowders, Dawn P.; DeLay, Monica L.; Mohapatra, Rajashree; Bai, Shuzhen; Smith, Judith A.; Brandewie, Jaclyn R.; Taurog, Joel D.; Colbert, Robert A. (2005-08-15). "HLA-B27 Misfolding in Transgenic Rats Is Associated with Activation of the Unfolded Protein Response". The Journal of Immunology. 175 (4). The American Association of Immunologists: 2438–2448. doi:10.4049/jimmunol.175.4.2438. ISSN 0022-1767. PMID 16081815.
  24. ^ Smith, Judith A.; Turner, Matthew J.; DeLay, Monica L.; Klenk, Erin I.; Sowders, Dawn P.; Colbert, Robert A. (2008-04-18). "Endoplasmic reticulum stress and the unfolded protein response are linked to synergistic IFN-β induction via X-box binding protein 1". European Journal of Immunology. 38 (5). Wiley: 1194–1203. doi:10.1002/eji.200737882. ISSN 0014-2980. PMC 2838478. PMID 18412159.
  25. ^ DeLay, Monica L.; Turner, Matthew J.; Klenk, Erin I.; Smith, Judith A.; Sowders, Dawn P.; Colbert, Robert A. (2009-08-27). "HLA–B27 misfolding and the unfolded protein response augment interleukin-23 production and are associated with Th17 activation in transgenic rats". Arthritis & Rheumatism. 60 (9). Wiley: 2633–2643. doi:10.1002/art.24763. ISSN 0004-3591. PMC 2893331. PMID 19714651.
  26. ^ a b Taylor, William; Gladman, Dafna; Helliwell, Philip; Marchesoni, Antonio; Mease, Philip; Mielants, Herman (2006-07-26). "Classification criteria for psoriatic arthritis: Development of new criteria from a large international study". Arthritis & Rheumatism. 54 (8). Wiley: 2665–2673. doi:10.1002/art.21972. ISSN 0004-3591. PMID 16871531.
  27. ^ a b c d Harper, Brock E.; Reveille, John D. (2009). "Spondyloarthritis". Current Sports Medicine Reports. 8 (1). Ovid Technologies (Wolters Kluwer Health): 29–34. doi:10.1249/jsr.0b013e3181967ac6. ISSN 1537-890X. PMC 2898732. PMID 19142077.
  28. ^ Poddubnyy, Denis; Rudwaleit, Martin (2012). "Early Spondyloarthritis". Rheumatic Disease Clinics of North America. 38 (2): 387–403. doi:10.1016/j.rdc.2012.04.007. PMID 22819091.
  29. ^ Poddubnyy, D.; Rudwaleit, M.; Haibel, H.; Listing, J.; Marker-Hermann, E.; Zeidler, H.; Braun, J.; Sieper, J. (2011-05-27). "Rates and predictors of radiographic sacroiliitis progression over 2 years in patients with axial spondyloarthritis". Annals of the Rheumatic Diseases. 70 (8). BMJ: 1369–1374. doi:10.1136/ard.2010.145995. ISSN 0003-4967. PMID 21622969.
  30. ^ van Tubergen, A (2003-06-01). "Radiographic assessment of sacroiliitis by radiologists and rheumatologists: does training improve quality?". Annals of the Rheumatic Diseases. 62 (6). BMJ: 519–525. doi:10.1136/ard.62.6.519. ISSN 0003-4967. PMC 1754576. PMID 12759287.
  31. ^ a b Maksymowych, Walter P.; Inman, Robert D.; Salonen, David; Dhillon, Suhkvinder S.; Williams, Martin; Stone, Millicent; Conner-spady, Barbara; Palsat, Janice; Lambert, Robert G. W. (2005-10-05). "Spondyloarthritis research Consortium of Canada magnetic resonance imaging index for assessment of sacroiliac joint inflammation in ankylosing spondylitis". Arthritis Care & Research. 53 (5). Wiley: 703–709. doi:10.1002/art.21445. ISSN 0893-7524. PMID 16208659.
  32. ^ a b c d e f Sieper, J; van der Heijde, D; Landewe, R; Brandt, J; Burgos-Vagas, R; Collantes-Estevez, E; Dijkmans, B; Dougados, M; Khan, M A; Leirisalo-Repo, M; van der Linden, S; Maksymowych, W P; Mielants, H; Olivieri, I; Rudwaleit, M (2009-01-15). "New criteria for inflammatory back pain in patients with chronic back pain: a real patient exercise by experts from the Assessment of SpondyloArthritis international Society (ASAS)". Annals of the Rheumatic Diseases. 68 (6). BMJ: 784–788. doi:10.1136/ard.2008.101501. ISSN 0003-4967. PMID 19147614.
  33. ^ Braun, J (2006-03-01). "First update of the international ASAS consensus statement for the use of anti-TNF agents in patients with ankylosing spondylitis". Annals of the Rheumatic Diseases. 65 (3). BMJ: 316–320. doi:10.1136/ard.2005.040758. ISSN 0003-4967. PMC 1798064. PMID 16096329.
  34. ^ Zochling, J (2006-04-01). "ASAS/EULAR recommendations for the management of ankylosing spondylitis". Annals of the Rheumatic Diseases. 65 (4). BMJ: 442–452. doi:10.1136/ard.2005.041137. ISSN 0003-4967. PMC 1798102. PMID 16126791.
  35. ^ a b Dagfinrud, Hanne; Hagen, Kåre Birger; Kvien, Tore K (2008-01-23). "Physiotherapy interventions for ankylosing spondylitis". Cochrane Database of Systematic Reviews. 2009 (2). Wiley: CD002822. doi:10.1002/14651858.cd002822.pub3. ISSN 1465-1858. PMC 8453259. PMID 18254008.
  36. ^ Uhrin, Zuzana; Kuzis, Susana; Ward, Michael M. (2000-10-23). "Exercise and Changes in Health Status in Patients With Ankylosing Spondylitis". Archives of Internal Medicine. 160 (19). American Medical Association (AMA): 2969–2975. doi:10.1001/archinte.160.19.2969. ISSN 0003-9926. PMID 11041905.
  37. ^ Haibel, H; Brandt, H C; Song, I H; Brandt, A; Listing, J; Rudwaleit, M; Sieper, J (2007-03-01). "No efficacy of subcutaneous methotrexate in active ankylosing spondylitis: a 16-week open-label trial". Annals of the Rheumatic Diseases. 66 (3). BMJ: 419–421. doi:10.1136/ard.2006.054098. ISSN 0003-4967. PMC 1856012. PMID 16901959.
  38. ^ Chen, Junmin; Lin, Shaopeng; Liu, Chao (2014-11-27). "Sulfasalazine for ankylosing spondylitis". Cochrane Database of Systematic Reviews. 2014 (11). Wiley: CD004800. doi:10.1002/14651858.cd004800.pub3. ISSN 1465-1858. PMC 11182569. PMID 25427435.
  39. ^ Haibel, H (2005-01-01). "Six months open label trial of leflunomide in active ankylosing spondylitis". Annals of the Rheumatic Diseases. 64 (1). BMJ: 124–126. doi:10.1136/ard.2003.019174. ISSN 0003-4967. PMC 1755172. PMID 15608310.
  40. ^ Braun, J; van den Berg, R; Baraliakos, X; Boehm, H; Burgos-Vargas, R; Collantes-Estevez, E; Dagfinrud, H; Dijkmans, B; Dougados, M; Emery, P; Geher, P; Hammoudeh, M; Inman, RD; Jongkees, M; Khan, MA; Kiltz, U; Kvien, TK; Leirisalo-Repo, M; Maksymowych, WP; Olivieri, I; Pavelka, K; Sieper, J; Stanislawska-Biernat, E; Wendling, D; Özgocmen, S; van Drogen, C; van Royen, BJ; van der Heijde, D (2011-05-02). "2010 update of the ASAS/EULAR recommendations for the management of ankylosing spondylitis". Annals of the Rheumatic Diseases. 70 (6). BMJ: 896–904. doi:10.1136/ard.2011.151027. ISSN 0003-4967. PMC 3086052. PMID 21540199.
  41. ^ Landewé, R; Braun, J; Deodhar, A; Dougados, M; Maksymowych, W P; Mease, P J; Reveille, J D; Rudwaleit, M; van der Heijde, D; Stach, C; Hoepken, B; Fichtner, A; Coteur, G; de Longueville, M; Sieper, J (2013-09-06). "Efficacy of certolizumab pegol on signs and symptoms of axial spondyloarthritis including ankylosing spondylitis: 24-week results of a double-blind randomised placebo-controlled Phase 3 study". Annals of the Rheumatic Diseases. 73 (1). BMJ: 39–47. doi:10.1136/annrheumdis-2013-204231. ISSN 0003-4967. PMC 3888598. PMID 24013647.
  42. ^ Davis, John C.; Van Der Heijde, Désirée; Braun, Jurgen; Dougados, Maxime; Cush, John; Clegg, Daniel O.; Kivitz, Alan; Fleischmann, Roy; Inman, Robert; Tsuji, Wayne (2003). "Recombinant human tumor necrosis factor receptor (etanercept) for treating ankylosing spondylitis: A randomized, controlled trial". Arthritis & Rheumatism. 48 (11). Wiley: 3230–3236. doi:10.1002/art.11325. ISSN 0004-3591. PMID 14613288.
  43. ^ Davis, J C (2005-08-26). "Sustained durability and tolerability of etanercept in ankylosing spondylitis for 96 weeks". Annals of the Rheumatic Diseases. 64 (11). BMJ: 1557–1562. doi:10.1136/ard.2004.035105. ISSN 0003-4967. PMC 1755272. PMID 15843448.
  44. ^ Braun, J; Brandt, J; Listing, J; Zink, A; Alten, R; Golder, W; Gromnica-lhle, E; Kellner, H; Krause, A; Schneider, M; Sörensen, H; Zeidler, H; Thriene, W; Sieper, J (2002). "Treatment of active ankylosing spondylitis with infliximab: a randomised controlled multicentre trial". The Lancet. 359 (9313). Elsevier BV: 1187–1193. doi:10.1016/s0140-6736(02)08215-6. ISSN 0140-6736. PMID 11955536.
  45. ^ van der Heijde, Désirée; Dijkmans, Ben; Geusens, Piet; Sieper, Joachim; DeWoody, Kimberly; Williamson, Paul; Braun, Jürgen (2005). "Efficacy and safety of infliximab in patients with ankylosing spondylitis: Results of a randomized, placebo-controlled trial (ASSERT)". Arthritis & Rheumatism. 52 (2). Wiley: 582–591. doi:10.1002/art.20852. ISSN 0004-3591. PMID 15692973.
  46. ^ van der Heijde, Désirée; Kivitz, Alan; Schiff, Michael H.; Sieper, Joachim; Dijkmans, Ben A. C.; Braun, Jürgen; Dougados, Maxime; Reveille, John D.; Wong, Robert L.; Kupper, Hartmut; Davis, John C. (2006-06-27). "Efficacy and safety of adalimumab in patients with ankylosing spondylitis: Results of a multicenter, randomized, double-blind, placebo-controlled trial". Arthritis & Rheumatism. 54 (7). Wiley: 2136–2146. doi:10.1002/art.21913. ISSN 0004-3591. PMID 16802350.
  47. ^ Inman, Robert D.; Davis, John C.; Heijde, Désirée Van Der; Diekman, Laura; Sieper, Joachim; Kim, Sung Il; Mack, Michael; Han, John; Visvanathan, Sudha; Xu, Zhenhua; Hsu, Benjamin; Beutler, Anna; Braun, Jürgen (2008-10-30). "Efficacy and safety of golimumab in patients with ankylosing spondylitis: Results of a randomized, double-blind, placebo-controlled, phase III trial". Arthritis & Rheumatism. 58 (11). Wiley: 3402–3412. doi:10.1002/art.23969. ISSN 0004-3591. PMID 18975305.
  48. ^ Boonen, Annelies; Brinkhuizen, Tjinta; Landewé, Robert; van der Heijde, Désirée; Severens, Johan L (2010-05-03). "Impact of ankylosing spondylitis on sick leave, presenteeism and unpaid productivity, and estimation of the societal cost". Annals of the Rheumatic Diseases. 69 (6). BMJ: 1123–1128. doi:10.1136/ard.2009.116764. ISSN 0003-4967. PMID 20439293.
  49. ^ Szabo, Shelagh M.; Levy, Adrian R.; Rao, Sumati R.; Kirbach, Stephanie E.; Lacaille, Diane; Cifaldi, Mary; Maksymowych, Walter P. (2011-10-28). "Increased risk of cardiovascular and cerebrovascular diseases in individuals with ankylosing spondylitis: A population-based study". Arthritis & Rheumatism. 63 (11). Wiley: 3294–3304. doi:10.1002/art.30581. ISSN 0004-3591. PMID 21834064.
  50. ^ Wendling, D; Prati, C; Chouk, M; Verhoeven, F (May 2020). "Reactive Arthritis: Treatment Challenges and Future Perspectives". Current Rheumatology Reports. 22 (7): 29. doi:10.1007/s11926-020-00904-9. PMID 32458153.
  51. ^ Lee, W.; Reveille, J. D; Davis, J. C; Learch, T. J; Ward, M. M; Weisman, M. H (2007-05-01). "Are there gender differences in severity of ankylosing spondylitis? Results from the PSOAS cohort". Annals of the Rheumatic Diseases. 66 (5). BMJ: 633–638. doi:10.1136/ard.2006.060293. ISSN 0003-4967. PMC 1954622. PMID 17127685.
  52. ^ Gladman, Dafna D.; Chandran, Vinod (2011-04-15). "Review of Clinical Registries of Psoriatic Arthritis: Lessons Learned? Value for the Future?". Current Rheumatology Reports. 13 (4). Springer Science and Business Media LLC: 346–352. doi:10.1007/s11926-011-0182-x. ISSN 1523-3774.
  53. ^ Colbert, Robert A. (2010-07-06). "Classification of juvenile spondyloarthritis: enthesitis-related arthritis and beyond". Nature Reviews Rheumatology. 6 (8). Springer Science and Business Media LLC: 477–485. doi:10.1038/nrrheum.2010.103. ISSN 1759-4790. PMC 2994189. PMID 20606622.
  54. ^ a b Hukuda, S.; Minami, M.; Saito, T.; Mitsui, H.; Matsui, N.; Komatsubara, Y.; Makino, H.; Shibata, T.; Shingu, M.; Sakou, T.; Shichikawa, K. (2001). "Spondyloarthropathies in Japan: nationwide questionnaire survey performed by the Japan Ankylosing Spondylitis Society". The Journal of Rheumatology. 28 (3): 554–559. ISSN 0315-162X. PMID 11296958.
  55. ^ Muñoz-Fernández, S.; de Miguel, E.; Cobo-Ibáñez, T.; Carmona, L.; Steiner, M.; Descalzo, M. A.; Ferreira, A.; Balsa, A.; Martín-Mola, E.; ESPIDEP Study Group (2010). "Early spondyloarthritis: results from the pilot registry ESPIDEP". Clinical and Experimental Rheumatology. 28 (4): 498–503. ISSN 0392-856X. PMID 20659413.
  56. ^ a b Stolwijk, Carmen; Boonen, Annelies; van Tubergen, Astrid; Reveille, John D. (2012). "Epidemiology of Spondyloarthritis". Rheumatic Disease Clinics of North America. 38 (3): 441–476. doi:10.1016/j.rdc.2012.09.003. PMC 4470267. PMID 23083748.
  57. ^ Boyer, G. S.; Templin, D. W.; Cornoni-Huntley, J. C.; Everett, D. F.; Lawrence, R. C.; Heyse, S. F.; Miller, M. M.; Goring, W. P. (1994). "Prevalence of spondyloarthropathies in Alaskan Eskimos". The Journal of Rheumatology. 21 (12): 2292–2297. ISSN 0315-162X. PMID 7699631.
  58. ^ a b c d Stolwijk, Carmen; van Onna, Marloes; Boonen, Annelies; van Tubergen, Astrid (2016-07-27). "Global Prevalence of Spondyloarthritis: A Systematic Review and Meta-Regression Analysis". Arthritis Care & Research. 68 (9). Wiley: 1320–1331. doi:10.1002/acr.22831. ISSN 2151-464X. PMID 26713432.
  59. ^ a b c Loftus, Edward V (2004). "Clinical epidemiology of inflammatory bowel disease: incidence, prevalence, and environmental influences". Gastroenterology. 126 (6). Elsevier BV: 1504–1517. doi:10.1053/j.gastro.2004.01.063. ISSN 0016-5085. PMID 15168363.
  60. ^ a b Thom, Nicole; Ritchlin, Christopher T.; Zhang, Xiao; Reveille, John; Weisman, Michael H. (2015). "Prevalence of Chronic Axial Pain, Inflammatory Back Pain, and Spondyloarthritis in Diagnosed Psoriasis". Arthritis Care & Research. 67 (6). Wiley: 829–835. doi:10.1002/acr.22528. ISSN 2151-464X. PMC 4488898. PMID 25469666.
  61. ^ MOLL, J M H; HASLOCK, IAN; MACRAE, I F; WRIGHT, V (1974). "ASSOCIATIONS BETWEEN ANKYLOSING SPONDYLITIS, PSORIATIC ARTHRITIS, REITERʼS DISEASE, THE INTESTINAL ARTHROPATHIES, AND BEHCETʼS SYNDROME". Medicine. 53 (5). Ovid Technologies (Wolters Kluwer Health): 343–364. doi:10.1097/00005792-197409000-00002. ISSN 0025-7974. PMID 4604133.

Further reading