Segond fracture

Segond fracture
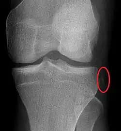
Segond fracture of left knee
SpecialtyOrthopedic

The Segond fracture is a type of avulsion fracture (soft tissue structures pulling off fragments of their bony attachment) from the lateral tibial plateau of the knee, immediately below the articular surface of the tibia (see photo).

Clinical significance

Because of the high rate of associated ligamentous and meniscal injury, the presence of a Segond or reverse Segond fracture requires that these other pathologies must be specifically ruled out. Or more pragmatically, the orthopaedic team assume that the presence of Segond fracture equals ACL rupture, as the correlation is close to 100%. Increasingly, reconstruction of the ACL is combined with reconstruction of the anterolateral ligament when this associated pathology is present.[1][2][3][4] The long-term benefit of an associated Anterolateral Ligament (ALL) reconstruction at the time of ACL surgery is not known. Attention and research is also being paid to a Lateral extra-articular Tenodesis (LET) instead of ALL.

Diagnosis

Segond and reverse Segond fractures are characterized by a small avulsion,[5] or "chip", fragment of characteristic size that is best seen on plain radiography in the anterior-posterior plane. The avulsed fragment of bone may be very difficult to see on the plain x-ray exam, and may be better seen on computed tomography. MRI may be useful for visualization of the associated bone marrow edema of the underlying tibial plateau on fat-saturated T2W and STIR images, as well as the associated findings of ligamentous and/or meniscal injury.

History

Originally described by Dr. Paul Segond in 1879[6][7] after a series of cadaveric experiments, the Segond fracture occurs in association with tears of the anterior cruciate ligament (ACL) (75–100%) and injury to the medial meniscus (66–75%), lateral capsular ligament (now known as the Anterolateral ligament, or ALL), as well as injury to the structures behind the knee.

A rare, mirror image of the Segond fracture has also been described. The so-called "reverse Segond fracture" can occur after an avulsion fracture of the tibial component of the medial collateral ligament (MCL) in association with posterior cruciate ligament (PCL) and medial meniscal tears.[8][9]

Segond fracture is typically the result of abnormal varus, or "bowing", stress to the knee, combined with internal rotation of the tibia. Reverse Segond fracture, as its name suggests, is caused by abnormal valgus, or "knock-knee", stress and external rotation.

Originally thought to be a result of avulsion of the medial third of the lateral collateral ligament, the Segond fracture has been shown by more recent research to relate also to the insertion of the iliotibial tract (ITT) and the anterior oblique band (AOB), a ligamentous attachment of the fibular collateral ligament (FCL), to the midportion of the lateral tibia and to be associated with avulsion by the anterolateral ligament (ALL).[10]

References

  1. ^ Fernandes, Levi Reina; Ouanezar, Herve; Saithna, Adnan; Sonnery-Cottet, Bertrand (2018-03-20). "Combined ACL reconstruction and Segond fracture fixation fails to abolish anterolateral rotatory instability". BMJ Case Reports. 2018: bcr–2018–224457. doi:10.1136/bcr-2018-224457. ISSN 1757-790X. PMC 5878234. PMID 29559494.
  2. ^ Saithna, Adnan; Thaunat, Mathieu; Delaloye, Jean Romain; Ouanezar, Hervé; Fayard, Jean Marie; Sonnery-Cottet, Bertrand (January 2018). "Combined ACL and Anterolateral Ligament Reconstruction". JBJS Essential Surgical Techniques. 8 (1): e2. doi:10.2106/JBJS.ST.17.00045. ISSN 2160-2204. PMC 6143299. PMID 30233974.
  3. ^ Cavaignac, Etienne; Saithna, Adnan; Monaco, Edoardo; Helito, Camilo P.; Daggett, Matthew; Reina, Nicolas; Sonnery-Cottet, Bertrand (April 2018). "Is Treatment of Segond Fracture Necessary With Combined Anterior Cruciate Ligament Reconstruction? Letter to the Editor" (PDF). The American Journal of Sports Medicine. 46 (5): NP13 – NP14. doi:10.1177/0363546518764420. ISSN 0363-5465. PMID 29601246. S2CID 4502322.
  4. ^ Saithna, Adnan; Cavaignac, Etienne; Monaco, Edoardo; Helito, Camilo Partezani; Ouanezar, Hervé; Daggett, Matt; Sonnery-Cottet, Bertrand (April 2018). "Segond Fractures Are Not a Risk Factor for Anterior Cruciate Ligament Reconstruction Failure: Letter to the Editor" (PDF). The American Journal of Sports Medicine. 46 (5): NP23 – NP24. doi:10.1177/0363546518765991. ISSN 0363-5465. PMID 29601244. S2CID 4514223.
  5. ^ Campos JC, Chung CB, Lektrakul N, et al. (2001). "Pathogenesis of the Segond fracture: anatomic and MR imaging evidence of an iliotibial tract or anterior oblique band avulsion". Radiology. 219 (2): 381–6. doi:10.1148/radiology.219.2.r01ma23381. PMID 11323461.
  6. ^ Segond P. "Recherches cliniques et expérimentales sur les épanchements sanguins du genou par entorse". Progres Med 1879; 7:297–99, 319–21, 340–41.
  7. ^ Recherches cliniques et expérimentales sur les épanchements sanguins du genou par entorse, par Paul Segond. 1879. Retrieved November 6, 2013.
  8. ^ Escobedo EM, Mills WJ, Hunter JC (2002). "The "reverse Segond" fracture: association with a tear of the posterior cruciate ligament and medial meniscus". AJR. American Journal of Roentgenology. 178 (4): 979–83. doi:10.2214/ajr.178.4.1780979. PMID 11906886. S2CID 32377911.
  9. ^ Steven Claes, et al.: "Anatomy of the anterolateral ligament of the knee". Journal of Anatomy, 223: 321–28, Oct 2013
  10. ^ Roberts CC, Towers JD, Spangehl MJ et-al. "Advanced MR imaging of the cruciate ligaments". Radiol. Clin. North Am. 2007;45 (6): 1003–16, vi–vii.