Ovarian tumor
Ovarian tumors, or ovarian neoplasms, are tumors in the ovary.[1] Not all are ovarian cancer.[1] They consist of mainly solid tissue, while ovarian cysts contain fluid.[2]
In 2020, the World Health Organization (WHO) divided ovarian tumours as 90% epithelial, 3% germ cell, and 2% sex cord-stromal types.[3]
Histopathologic classification

Tumor of the ovary vary remarkably as they may arise from any of the 3 cell types of the normal ovary.
Ovarian tumors are classified according to the histology of the tumor, obtained in a pathology report. Histology dictates many aspects of clinical treatment, management, and prognosis.
The most common forms are:
| Type | Subtype | Relative incidence[5] | Percent malignant[5] | Comments | Micrograph |
|---|---|---|---|---|---|
| Germ cell tumor | Mature cystic teratoma | 46.0% | 0.17% to 2%[6] | Cystic, with elements of all 3 germ layers (endoderm, mesoderm and ectoderm).[7] | ![]() |
| Immature teratoma | 2.5% | 100% | A teratoma that contains anaplastic immature elements, and is often synonymous with malignant teratoma.[8] |
| |
| Other germ cell tumors | 3.0% | Others mainly include dysgerminoma, yolk sac tumor, struma ovarii and squamous cell carcinoma arising from a dermoid cyst, and malignant mixed germ cell tumor.[5] | |||
| Surface epithelial-stromal tumor | Serous tumor | 25% | 18.5% | Benign serous tumors of the right ovarian cyst are thinwalled unilocular cysts that are lined by ciliated pseudostratified cuboidal or columnar epithelium.[9] |
|
| Mucinous tumor | 15% | 8.8% | Benign mucinous tumors of the ovary consist of simple, nonstratified columnar epithelium with basally-located hyperchromatic nuclei and resemble gastric foveolar epithelium.[9] |
| |
| Endometrioid tumor | 1% | Almost 100% | Tubular glands, resembling endometrium.[10] |
| |
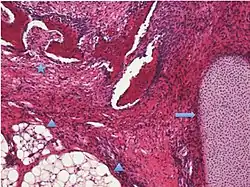
| Other surface-epithelial tumors | 1.5% | Others include mainly malignant mixed Müllerian tumor, Brenner tumor and mixed epithelial tumor.[5] | ![]() | ||
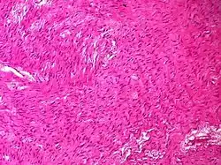
| Sex cord-stromal tumor | Ovarian fibroma | 1.5% | 0% | Spindle-shaped fibroblastic cells and abundant collagen.[11] |
|
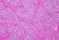
| Adult granulosa cell tumor | 1% | Almost 100% | Small, bland, cuboidal to polygonal cells in various patterns.[12] |
| |
| Other sex cord-stromal tumors | 1% | Others include mainly juvenile granulosa cell tumor, thecoma and sclerosing stromal tumor[5] | |||
| Secondary/metastatic) tumor | 2% | 100% | Usually from breast cancer, colon cancer, endometrial cancer, stomach cancer or cervical cancer.[13] | ||
Mixed tumors contain elements of more than one of the above classes of tumor histology.
History
An 1882 article appearing in Scientific American mentions the case of a patient at University of Pennsylvania Hospital when Dr. William Goodell removed a 112 lbs tumor from a 31 year old patient, who weighted 75 lbs after removal from the tumor.[14]
See also
References
- ^ a b WHO Classification of Tumours Editorial Board, ed. (2020). "1. Tumours of the ovary: introduction". Female genital tumours: WHO Classification of Tumours. Vol. 4 (5th ed.). Lyon (France): International Agency for Research on Cancer. pp. 32–35. ISBN 978-92-832-4504-9.
- ^ Euscher, Elizabeth D.; Hui, Jian-Jun (2021). "9. Ovarian epithelial neoplasia". In Wei, Jian-Jun; Hui, Pei (eds.). Practical Gynecologic Pathology: Frequently Asked Questions. Switzerland: Springer. pp. 225–262. ISBN 978-3-030-68608-6.
- ^ De Leo, A; Santini, D; Ceccarelli, C; Santandrea, G; Palicelli, A; Acquaviva, G; Chiarucci, F; Rosini, F; Ravegnini, G; Pession, A; Turchetti, D; Zamagni, C; Perrone, AM; De Iaco, P; Tallini, G; de Biase, D (14 April 2021). "What Is New on Ovarian Carcinoma: Integrated Morphologic and Molecular Analysis Following the New 2020 World Health Organization Classification of Female Genital Tumors". Diagnostics (Basel, Switzerland). 11 (4): 697. doi:10.3390/diagnostics11040697. PMC 8070731. PMID 33919741.
- ^ - Vaidya, SA; Kc, S; Sharma, P; Vaidya, S (2014). "Spectrum of ovarian tumors in a referral hospital in Nepal". Journal of Pathology of Nepal. 4 (7): 539–543. doi:10.3126/jpn.v4i7.10295. ISSN 2091-0908.
- Minor adjustment for mature cystic teratomas (0.17 to 2% risk of ovarian cancer): Mandal, Shramana; Badhe, Bhawana A. (2012). "Malignant Transformation in a Mature Teratoma with Metastatic Deposits in the Omentum: A Case Report". Case Reports in Pathology. 2012: 1–3. doi:10.1155/2012/568062. ISSN 2090-6781. PMC 3469088. PMID 23082264. - ^ a b c d e Unless otherwise specified in boxes, reference is: Vaidya, SA; Kc, S; Sharma, P; Vaidya, S (2014). "Spectrum of ovarian tumors in a referral hospital in Nepal". Journal of Pathology of Nepal. 4 (7): 539–543. doi:10.3126/jpn.v4i7.10295. ISSN 2091-0908.
- ^ Mandal, Shramana; Badhe, Bhawana A. (2012). "Malignant Transformation in a Mature Teratoma with Metastatic Deposits in the Omentum: A Case Report". Case Reports in Pathology. 2012: 1–3. doi:10.1155/2012/568062. ISSN 2090-6781. PMC 3469088. PMID 23082264.
- ^ Hillary Rose Elwood. "Skin nonmelanocytic tumor - Other tumors of skin - Benign (mature) cystic teratoma". pathology Outlines. Topic Completed: 1 November 2016. Revised: 4 April 2019
- ^ Sun, Hang; Ding, Hongxin; Wang, Jianjun; Zhang, Emma; Fang, Yihua; Li, Zhenhua; Yu, Xiao; Wang, Chongren; Zhao, Yifan; Chen, Kan; Wen, Siwan; Li, Liang; Shan, Shan; Hong, Liu; Chen, Face; Su, Pu (2019). "The differences between gonadal and extra-gonadal malignant teratomas in both genders and the effects of chemotherapy". BMC Cancer. 19 (1): 408. doi:10.1186/s12885-019-5598-0. ISSN 1471-2407. PMC 6492338. PMID 31039746.
- ^ a b Baradwan, Saeed; Alalyani, Haneen; Baradwan, Amira; Baradwan, Afnan; Al-Ghamdi, Maram; Alnemari, Jameel; Al-Jaroudi, Dania (2018). "Bilateral ovarian masses with different histopathology in each ovary". Clinical Case Reports. 6 (5): 784–787. doi:10.1002/ccr3.1466. ISSN 2050-0904. PMC 5930217. PMID 29744056.
- ^ Shahrzad Ehdaivand. "Ovary tumor - Endometrioid tumors - General". Pathology Outlines. Topic Completed: 1 December 2012. Revised: 6 March 2020
- ^ Parwate, Nikhil Sadanand; Patel, Shilpa M.; Arora, Ruchi; Gupta, Monisha (2015). "Ovarian Fibroma: A Clinico-pathological Study of 23 Cases with Review of Literature". The Journal of Obstetrics and Gynecology of India. 66 (6): 460–465. doi:10.1007/s13224-015-0717-6. ISSN 0971-9202. PMC 5080219. PMID 27821988.
- ^ Shahrzad Ehdaivand. "Ovary tumor - Sex cord stromal tumors - Granulosa cell tumor - adult". Pathology Outlines. Topic Completed: 1 December 2012. Revised: 9 March 2020
- ^ Lisa Lee-Jones, University of Wales College of Medicine (2003-12-01). "Ovarian tumours : an overview". Atlas of Genetics and Cytogenetics in Oncology and Haematology.
- ^ Scientific American. Munn & Company. 1882-02-25. p. 114.
.jpg)




.jpg)

.jpg)