Metanephric adenoma
| Metanephric adenoma | |
|---|---|
![]() | |
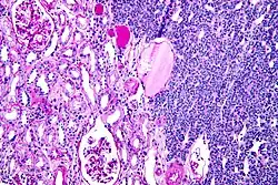
| Micrograph of a metanephric adenoma with structures reminiscent of those seen in papillary renal cell carcinoma. H&E stain. | |
| Specialty | Oncology |
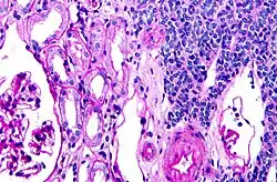
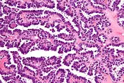
Metanephric adenoma (MA) is a rare, benign tumour of the kidney, that can have a microscopic appearance similar to a nephroblastoma (Wilms tumours),[1] or a papillary renal cell carcinoma.
It should not be confused with the pathologically unrelated, yet similar sounding, mesonephric adenoma.
Symptoms
The symptoms may be similar to those classically associated with renal cell carcinoma, and may include polycythemia, abdominal pain, hematuria and a palpable mass. Mean age at onset is around 40 years with a range of 5 to 83 years and the mean size of the tumour is 5.5 cm with a range 0.3 to 15 cm (1). Polycythemia is more frequent in MA than in any other type of renal tumour. Of further relevance is that this tumour is more commonly calcified than any other kidney neoplasm.[2] Surgery is curative and no other treatment is recommended. There is so far no evidence of metastases or local recurrence.
Pathology
Histopathology


Metanephric adenoma is diagnosed histologically. The tumours can be located at upper pole, lower pole and mid-hilar region of the kidney; they are well circumscribed but unencapsulated, tan pink, with possible cystic and hemorrhagic foci. They show a uniform architecture of closely packed acinar or tubular structures of mature and bland appearance with scanty interposed stroma.[3][4][5][6][7] Cells are small with dark staining nuclei and inconspicuous nucleoli. Blastema is absent whereas calcospherites may be present. Glomeruloid figures are a striking finding, reminiscent of early fetal metenephric tissue. The lumen of the acini may contain otherwise epithelial infoldings or fibrillary material but it is quite often empty. Mitoses are conspicuously absent.[3][4][5][6][7] In the series reported by Jones et al. tumour cells were reactive for Leu7 in 3 cases of 5, to vimentine in 4 of 6, to cytocheratin in 2 of 6, to epithelial membrane antigen in 1 of 6 cases and muscle specific antigen in 1 of 6.[5] Olgac et al. found that intense and diffuse immunoreactivity for alpha-methylacyl-CoA racemase (AMACR) is useful in differentiating renal cell carcinoma from MA but a panel including AMACR, CK7 and CD57 is better in this differential diagnosis.[8] Differential diagnosis may be quite difficult indeed as exemplified by the three malignancies initially diagnosed as MA that later metastasized, in the report by Pins et al.[9]
Cytogenetic characteristics
Brunelli et al. stated that genetic analysis of chromosome 7, 17, and Y may facilitate discrimination of MA from papillary renal cell carcinoma in difficult cases. Their study showed that MA lacks the frequent gain of chromosomes 7 and 17 and losses of the Y chromosome that are typical of papillary renal cell neoplasms, suggesting that MA is not related to renal cell carcinoma and papillary adenoma.[10]
Treatment
As metanephric adenomas are considered benign, they can be left in place, i.e. no treatment is needed.[11]
History
MA has been described in the past under other names such as néphrome néphronogène, metanephroider Nierentumor and nephroblastomartiges Nierenadenom (5) but the term metanephric adenoma was suggested by Brisigotti, Cozzutto et al. in 1992 and then widely accepted. Prior to this report, Nagashima et al. in 1991 had not offered a nosological innovation for their two cases[12] whereas the denomination of néphrome néphronogène proposed by Pages and Granier in 1980 had gone largely undetected.[13]
References
- ^ Bastos Netto JM, Esteves TC, Mattos R, Tibiriçá SH, Costa SM, Vieira LJ (August 2007). "Metanephric adenoma: a rare differential diagnosis of renal tumor in children". Journal of Pediatric Urology. 3 (4): 340–341. doi:10.1016/j.jpurol.2006.10.003. PMID 18947770.
- ^ Davis CJ, Barton JH, Sesterhenn IA, Mostofi FK (October 1995). "Metanephric adenoma. Clinicopathological study of fifty patients". The American Journal of Surgical Pathology. 19 (10): 1101–14. doi:10.1097/00000478-199510000-00001. PMID 7573669.
- ^ a b Kovacs G, Akhtar M, Beckwith BJ, Bugert P, Cooper CS, Delahunt B, et al. (October 1997). "The Heidelberg classification of renal cell tumours". The Journal of Pathology. 183 (2): 131–133. doi:10.1002/(SICI)1096-9896(199710)183:2<131::AID-PATH931>3.0.CO;2-G. PMID 9390023. S2CID 34796951.
- ^ a b Brisigotti M, Cozzutto C, Fabbretti G, Sergi C, Callea F (October 1992). "Metanephric adenoma". Histology and Histopathology. 7 (4): 689–692. PMID 1333853.
- ^ a b c Jones EC, Pins M, Dickersin GR, Young RH (June 1995). "Metanephric adenoma of the kidney. A clinicopathological, immunohistochemical, flow cytometric, cytogenetic, and electron microscopic study of seven cases". The American Journal of Surgical Pathology. 19 (6): 615–626. doi:10.1097/00000478-199506000-00001. PMID 7755148.
- ^ a b Bostwick DG, Eble JN (2008). Urologic Surgical Pathology. St Louis: Mosby. p. 118.
- ^ a b Grignon DJ, Eble JN (February 1998). "Papillary and metanephric adenomas of the kidney". Seminars in Diagnostic Pathology. 15 (1): 41–53. PMID 9503505.
- ^ Olgac S, Hutchinson B, Tickoo SK, Reuter VE (February 2006). "Alpha-methylacyl-CoA racemase as a marker in the differential diagnosis of metanephric adenoma". Modern Pathology. 19 (2): 218–24. doi:10.1038/modpathol.3800520. PMID 16424894. S2CID 30923148.
- ^ Pins MR, Jones EC, Martul EV, Kamat BR, Umlas J, Renshaw AA (May 1999). "Metanephric adenoma-like tumors of the kidney: report of 3 malignancies with emphasis on discriminating features". Archives of Pathology & Laboratory Medicine. 123 (5): 415–20. doi:10.5858/1999-123-0415-MALTOT. PMID 10235500.
- ^ Brunelli M, Eble JN, Zhang S, Martignoni G, Cheng L (October 2003). "Metanephric adenoma lacks the gains of chromosomes 7 and 17 and loss of Y that are typical of papillary renal cell carcinoma and papillary adenoma". Modern Pathology. 16 (10): 1060–3. doi:10.1097/01.MP.0000090923.50509.55. PMID 14559991. S2CID 11701480.
- ^ Galmiche L, Vasiliu V, Poirée S, Hélénon O, Casanova JM, Brousse N (October 2007). "[Diagnosis of renal metanephric adenoma: relevance of immunohistochemistry and biopsy]". Annales de Pathologie (in French). 27 (5): 365–368. doi:10.1016/s0242-6498(07)78275-5. PMID 18185471.
- ^ Nagashima Y, Arai N, Tanaka Y, Yoshida S, Sumino K, Ohaki Y, Matsushita K, Morita T, Misugi K (1991). "Two cases of a renal epithelial tumour resembling immature nephron". Virchows Archiv A. 418 (1): 77–81. doi:10.1007/BF01600247. PMID 1989379. S2CID 28924982.
- ^ Pages A, Granier M (1980). "Le néphrome néphronogène". Arch Anat Cytol Pathol. 28: 99–103.
