Cholesterolosis of gallbladder
| Cholesterolosis of gallbladder | |
|---|---|
![]() | |
| Micrograph of cholesterolosis of the gallbladder, with an annotated foam cell. H&E stain. | |
| Specialty | Gastroenterology |
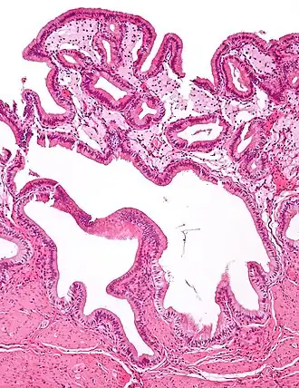
In surgical pathology, strawberry gallbladder, more formally cholesterolosis of the gallbladder and gallbladder cholesterolosis, is a change in the gallbladder wall due to excess cholesterol.[1]
The name strawberry gallbladder comes from the typically stippled appearance of the mucosal surface on gross examination, which resembles a strawberry. The term was coined by surgical pathologist William C. MacCarty of the Mayo Clinic in 1910.[2] Cholesterolosis results from abnormal deposits of cholesterol esters in macrophages within the lamina propria (foam cells) and in mucosal epithelium. The gallbladder may be affected in a patchy localized form or in a diffuse form. The diffuse form macroscopically appears as a bright red mucosa with yellow mottling (due to lipid), hence the term strawberry gallbladder. It is not tied to cholelithiasis (gallstones) or cholecystitis (inflammation of the gallbladder).[3]
Additional images
-
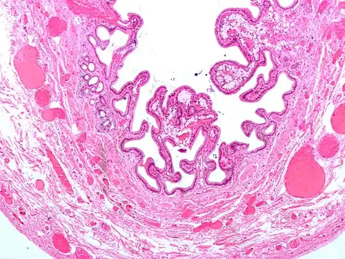
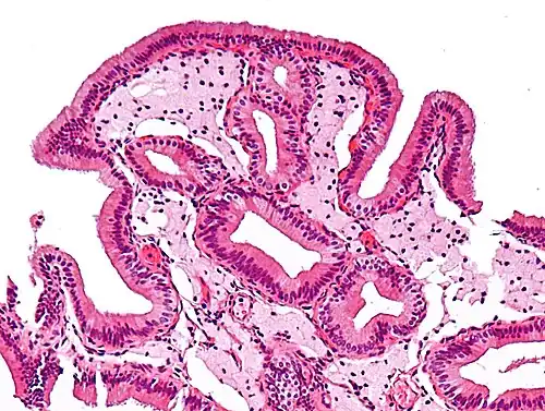
Micrograph of cholesterolosis of the gallbladder -
Micrograph of cholesterolosis of the gallbladder -
Micrograph of cholesterolosis of the gallbladder
See also
References
- ^ Strawberry gallbladder - cancerweb.ncl.ac.uk.
- ^ ELMAN, ROBERT; GRAHAM, EVARTS A. (1932-01-01). "THE PATHOGENESIS OF THE "STRAWBERRY" GALLBLADDER: (CHOLESTEROSIS OF THE GALLBLADDER)". Archives of Surgery. 24 (1): 14–22. doi:10.1001/archsurg.1932.01160130017002. ISSN 0272-5533.
- ^ "Cholesterolosis of the Gall Bladder".
Further reading
- Izzo L, Boschetto A, Brachini G, et al. (2001). "["Strawberry" gallbladder: review of the literature and our experience]". Il Giornale di Chirurgia (in Italian). 22 (1–2): 33–6. PMID 11272434.
