Cerebrospinal fluid leak
| Cerebrospinal fluid leak | |
|---|---|
| Other names | CSF leak |
![]() | |
| Circulation of CSF | |
![]() | |
| The meninges of the central nervous system impacted by CSF leak | |
| Specialty | Neurology |
A cerebrospinal fluid leak (CSF leak or CSFL) is a medical condition where the cerebrospinal fluid (CSF) that surrounds the brain and spinal cord leaks out of one or more holes or tears in the dura mater.[1] A CSF leak is classed as either spontaneous (primary), having no known cause (sCSF leak), or nonspontaneous (secondary) where it is attributed to an underlying condition.[2][3] Causes of a primary CSF leak are those of trauma including from an accident or intentional injury, or arising from a medical intervention known as iatrogenic. A basilar skull fracture as a cause can give the sign of CSF leakage from the ear, nose or mouth.[4] A lumbar puncture can give the symptom of a post-dural-puncture headache.
A cerebrospinal fluid leak can be either cranial or spinal, and these are two different disorders.[5] A spinal CSF leak can be caused by one or more meningeal diverticula or CSF-venous fistulas not associated with an epidural leak.[6][7][8] A spontaneous spinal cerebrospinal fluid leak may occur sometimes in those with predisposing heritable connective tissue disorders including Marfan syndrome and Ehlers–Danlos syndromes.[5][9] A loss of CSF greater than its rate of production leads to a decreased volume inside the skull known as intracranial hypotension.
Any CSF leak is most often characterized by orthostatic headaches, which worsen when standing, and improve when lying down. Other symptoms can include neck pain or stiffness, nausea, vomiting, dizziness, fatigue, and a metallic taste in the mouth. A CT myelography scan can identify the site of a cerebrospinal fluid leakage. Once identified, the leak can often be repaired by an epidural blood patch, an injection of the patient's own blood at the site of the leak, a fibrin glue injection, or surgery.
A spontaneous CSF leak is a rare condition, affecting at least one in 20,000 people and many more who go undiagnosed every year. On average, the condition develops at age 42, and women are twice as likely to be affected. Some people with a sCSF leak have a chronic leak despite repeated patching attempts, leading to long-term disability due to pain and being unable to be upright, and surgery is often needed. The symptoms of a spontaneous CSF leak were first described by German neurologist Georg Schaltenbrand in 1938 and by American neurologist Henry Woltman of the Mayo Clinic in the 1950s.
Classification
Cerebrospinal fluid leaks are classified into two distinct disorders: cranial leaks, and spinal leaks.[10][11] Where there has been no preceding surgery or medical procedure that may have caused a CSF leak it is called a spontaneous CSF leak (sCSF leak).[12]
Cranial leak
Cranial leaks occur in the head, and in some of these cases, CSF can leak from one side of the nose, or from the ear.[13][12] Intracranial hypertension is often associated with a spontaneous cranial CSF leak, rarely reported with a spinal leak.[14]
Spinal leak
The vast majority of CSF leaks are spinal.[15] Spinal leaks occur when one or more holes form in the dura along the spinal cord.[11] There are three types of spontaneous spinal CSF leaks.[16] A spinal leak typically causes spontaneous intracranial hypotension.[17]
Spontaneous intracranial hypotension
Spontaneous intracranial hypotension (SIH) refers to lower than normal CSF volume due to a leak of CSF at the level of the spine.[18]
Spontaneous intracranial hypotension (SIH) is an important cause of longstanding headaches. Other symptoms can include nausea, blurred vision, coma, and dementia. SIH is typically secondary to a spontaneous spinal CSF leak.[17][14] Cranial CSF leaks do not cause SIH.[19] While this symptom can be referred to as intracranial hypotension, the intracranial pressure may be normal, with the underlying issue instead being low CSF volume, in this case a sCSFL may be referred to as CSF hypovolemia.[20][21][22][23]
Signs and symptoms
Spinal SCF leaks
| Nerve | Function | Symptoms |
|---|---|---|
| optic (2) |
optic nerve crossing |
blurred and or double vision |
| chorda tympani (Branch of 7) |
taste | taste distortion |
| facial (7) |
facial nerve | facial weakness and numbness |
| vestibulocochlear (8) |
hearing, balance |
hearing and balance problems |
| glossopharyngeal (9) |
taste | taste distortion |
The most common symptom of a spinal CSF leak is a fast-onset, extremely painful orthostatic headache.[23][25] This headache is usually made worse by standing and typically becomes prominent throughout the day, with the pain becoming less severe when lying down.[26] Orthostatic headaches can become chronic and disabling to the point of incapacitation.[23][27][28][29] Some people will develop headaches that begin in the afternoon. This is known as second-half-of-the-day headache. This may be an initial presentation of a spontaneous CSF leak or appear after treatment such as an epidural patch, and likely indicates a slow spinal CSF leak.[30] While high CSF pressure can make lying down unbearable, low CSF pressure due to a leak can be relieved by lying flat on the back.[31]
About 50% of people with a spinal CSFL experience neck pain or stiffness, nausea, and vomiting.[32]
Other symptoms of a CSF leak include photophobia, dizziness and vertigo, gait disturbances, tinnitus, facial numbness or weakness, visual disturbances, brain fog or difficulties with concentration, neuralgia, fatigue, fluid dripping from the nose or ears,[33][23]
Aural symptoms are also present in many cases of intracranial hypotension due to CSF leak; including muffled hearing, pulsatile tinnitus, hearing loss.[34] Less common symptoms include double vision (due to cranial nerve 6 palsy) or tremor.[34]
Movement disorders are uncommon in spontaneous CSF leaks but occasionally can be one of the major components of the clinical presentation.[35]
Some cases of chronic intracranial hypotension due to CSF leak may present as personality changes, altered behaviors and impairment of executive functions, similar to behavioral-variant frontotemporal dementia as the frontal and temporal lobes are affected by downward sagging due to reduced intra-cranial pressures.[34]
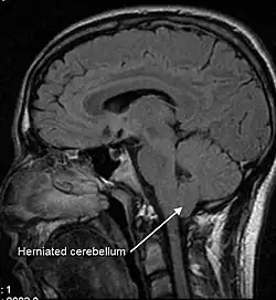
An untreated CSF leak can result in coma or death as late stage findings as the brainstem herniates through the skull base or foramen magnum .[36][34]
Cranial CSF leaks
Cranial leaks occur in the skull. Symptoms often include a watery discharge including CSF from one side of the nose, or from the ear. There may also be a metallic taste in the mouth.[12]
Causes
A spontaneous spinal CSF leak refers to any CSF leak that has not been preceded by a surgical or other medical procedure.[12][29][37] Later evidence suggests that these leaks result from either a discogenic pathology, such as microspur, osteophyte or spinal disc herniation that pierces the dura like a knife, connective tissue disorder (which can often lead to discogenic pathology), or spinal drainage problems.[38][39]
A cerebrospinal fluid leak can be a rare complication of an anterior cervical discectomy and fusion. One study suggested a CSF leak to follow from 0.5% of operations.[40] Another study suggests a CSF leak to follow from 1% of operations. In most of these cases repair is successful.[41]
Discogenic causes
The most common cause of an intractable sCSF leak is discogenic, either from a spinal disc herniation, osteophyte or microspur on the disc or vertebral body. "Recent radiological and microsurgical investigations revealed that a calcified, degenerative bony microspur is often the culprit lesion in cases of intractable CSF leaks. Arising from the level of the intervertebrate disk space, these microspurs pierce the ventral dura and produce a slit-like defect a few millimeters in length. These microspurs and the associated CSF leak have to be localized exactly, and then they are amenable to surgical treatment."[38][39]
Connective tissue theory
Various scientists and physicians have suggested that sCSFLs may be the result of an underlying connective tissue disorder affecting the spinal dura.[23][24][42][43] It may also run in families and be associated with aortic aneurysms and joint hypermobility.[24][44]
Up to two thirds of those affected demonstrate some type of generalized connective tissue disorder.[24][43] Marfan syndrome, Ehlers–Danlos syndrome, and autosomal dominant polycystic kidney disease are the three most common connective tissue disorders associated with sCSFLs.[24] Roughly 20% of patients with a sCSFL exhibit features of Marfan syndrome, including tall stature, hollowed chest (pectus excavatum), joint hypermobility and arched palate. However, no other Marfan syndrome presentations are shown.[24]
Spinal drainage theory
Some studies have proposed that issues with the spinal venous drainage system may cause a CSF leak.[45] According to this theory, dural holes and intracranial hypotension are symptoms caused by low venous pressure in the epidural space. When leg muscles pump blood towards the heart, and pressure in the inferior vena cava vein becomes negative, the network of epidural veins is overdrained, causing CSF to be aspirated into the epidural space. True leaks can form at weak points in the spinal meninges. Therefore, the observed CSF hypotension is a result of CSF hypovolemia and reduced epidural venous pressure.[45]
Other causes
Cranial CSF leaks result from intracranial hypertension in the vast majority of cases. The increased pressure causes a rupture of the cranial dura mater, leading to a CSF leak and intracranial hypotension.[46][47] Patients with a nude nerve root, where the root sleeve is absent, are at increased risk for developing recurrent CSF leaks.[48] Lumbar disc herniation has been reported to cause CSF leaks in at least one case.[49] Degenerative spinal disc diseases cause a disc to pierce the dura mater, leading to a CSF leak.[24]
CSF leaks can result from a lumbar puncture procedure.[50][51][52][53]
Complications

Several complications can occur as a result of sCSFLS including decreased cranial pressure, brain herniation, infection, blood pressure problems, transient paralysis, and coma. The primary and most serious complication of a spontaneous cerebrospinal fluid leak is spontaneous intracranial hypotension, where pressure in the brain is severely decreased.[23][42][54] This complication leads to the hallmark symptom of severe orthostatic headaches.[24][54]
People with cranial CSF leaks, the rarer form, have a 10% risk of developing meningitis per year.[55] If cranial leaks last more than seven days, the chances of developing meningitis are significantly higher.[55] Spinal CSF leaks cannot result in meningitis due to the sterile conditions of the leak site.[24] When a CSF leak occurs at the temporal bone, surgery becomes necessary in order to prevent infection and repair the leak.[56] Orthostatic hypotension is another complication that occurs due to autonomic dysfunction when blood pressure drops significantly.[57] The autonomic dysfunction is caused by compression of the brainstem, which controls breathing and circulation.[57]
Low CSF volume can cause the cerebellar tonsil position to descend, which can be mistaken for Chiari malformation; however when the CSF leak is repaired the tonsil position often returns to normal (as seen in upright MRI) in this "pseudo-Chiari" condition.[58] A further, albeit rare, complication of CSF leak is transient quadriplegia due to a sudden and significant loss of CSF. This loss results in hindbrain herniation and causes major compression of the upper cervical spinal cord. The quadriplegia dissipates once the patient lies supine.[59] An extremely rare complication of sCSFL is third nerve palsy, where the ability to move one's eyes becomes difficult and interrupted due to compression of the third cranial nerve.[60]
There are documented cases of reversible frontotemporal dementia and coma.[61] Coma due to a CSF leak has been successfully treated by using blood patches and/or fibrin glue and placing the person in the Trendelenburg position.[62] Empty sella syndrome, a bony structure that surround the pituitary gland, occurs in CSF leak patients.[46][63]
Pathophysiology
Cerebrospinal fluid is produced by the choroid plexus in the ventricles of the brain and contained by the dura and arachnoid layers of the meninges.[23][42][64] The brain floats in CSF, which also transports nutrients to the brain and spinal cord. As holes form in the spinal dura mater, CSF leaks out into the surrounding space. The CSF is then absorbed into the spinal epidural venous plexus or soft tissues around the spine.[24][65] Due to the sterile conditions of the soft tissues around the spine, there is no risk of meningitis.[24]
Brain sagging
Lack of CSF pressure and volume can allow the brain to sag and descend through the foramen magnum (large opening) of the occipital bone, at the base of the skull. The lower portion of the brain is believed to stretch or impact one or more cranial nerve complexes, thereby causing a variety of sensory symptoms. Nerves that can be affected and their related symptoms are detailed in the table at right.[23][24][29] A rare form of dementia known as brain sagging dementia may be caused by a sagging brain, a characteristic of intracranial hypotension.[17]
Diagnosis
Diagnosis of CSF leakage can be done by various imaging techniques, chemical tests of bodily fluid discharged from a head orifice, or clinical examination. The use of CT, MRI, and assays are the most common types of CSF leak instrumental tests. Many CSF leaks do not show up on imaging and chemical assays, thus such diagnostic tools are not definitive to rule out CSF leaks. A clinician may often depend upon patient history and exam to diagnose, for example: discharge of excessive amount of clear fluid from the nose upon bending over, the increase in headache following a Valsalva maneuver or the reduction of headache when the patient takes a prone position are positive indicators.
A clinical exam is often used as a means to diagnose CSF leaks. Improved patient response to conservative treatment may further define a positive diagnosis. The lack of clinician awareness of the signs -symptoms and ailments- of a CSF leak is the greatest challenge to proper diagnosis and treatment, in particular: the loss of the orthostatic characteristic of headache and that every chronic CSF leaker will have a unique symptom set that as a whole contributes to the underlying condition, and diagnosis of, a CSF leak.
The primary place of first complaint to a physician is a hospital emergency room.[25][66] Up to 94% of those with sCSFLS are initially misdiagnosed. Incorrect diagnoses include migraines, meningitis, Chiari malformation, and psychiatric disorders. The average time from onset of symptoms until definitive diagnosis is 13 months.[67] A 2007 study found a 0% success rate for proper diagnosis in the emergency department.[66]
CT
Diagnosis of a cerebrospinal fluid leak is performed through a combination of non-invasive measurement of intracranial pressure methods of the CSF pressure, and a computed tomography myelogram (CTM) scan of the spinal column for fluid leaks.[24] The opening fluid pressure in the spinal canal is obtained by performing a lumbar puncture, also known as a spinal tap. Once the pressure is measured, a radiocontrast agent is injected into the spinal fluid. The contrast then diffuses out through the dura sac before leaking through dural holes. This allows for a CTM with fluoroscopy to locate and image any sites of dura rupture via contrast seen outside the dura sac in the imagery.[23][33][42]
MRI
There is disagreement over whether MRI should be the diagnostic tool of choice.[24][32][42] Magnetic resonance imaging is less effective than CT at directly imaging sites of CSF leak. MRI studies may show pachymeningeal enhancement (when the dura mater looks thick and inflamed), sagging of the brain, pituitary enlargement, subdural hygromas, engorgement of cerebral venous sinuses, and other abnormalities.[32] For 20% of patients, MRIs present as completely normal.[32] MRIs performed with the patient seated upright (vs. laying supine) are not better for diagnosing CSF leaks,[68] but are more than twice as effective at diagnosing cerebellar tonsillar ectopia, also known as Chiari malformation.[69] Cerebellar tonsillar ectopia shares many of the same symptoms as CSF leak,[58] but originates either congenitally or from trauma, including whiplash strain to the dura.[69]
An alternate method of locating the site of a CSF leak is to use heavily T2-weighted MR myelography.[24] This has been effective in identifying the sites of a CSF leak without the need for a CT scan, lumbar puncture, and contrast and at locating fluid collections such as CSF pooling.[70] Another highly successful method of locating a CSF leak is intrathecal contrast and MR Myelography.[24]
Contrast-enhanced brain MRI with sagittal reformats can assess for the following:[6][8]
- Subdural fluid collections
- Enhancement of the meninges
- Engorgement of venous structures
- Pituitary swelling
- Sagging of the brain
For suspected spinal CSF leaks, spine imaging can be used to guide treatment.[8]
Assay
Fluid dripping from the nose (CSF rhinorrhoea) or ears (CSF otorrhea) should be collected and tested for the protein beta-2 transferrin which would be highly accurate in identifying CS fluid and diagnosing a cranial CSF leak.[71][55][72]
CSF analysis

Patients with CSF leaks have been noted to have very low or even negative opening pressures during lumbar puncture. However, patients with confirmed CSF leaks may also demonstrate completely normal opening pressures. In 18–46% of cases, the CSF pressure is measured within the normal range.[24][73][74][75] Analysis of spinal fluid may demonstrate lymphocytic pleocytosis and elevated protein content or xanthochromia. This is hypothesized to be due to increased permeability of dilated meningeal blood vessels and a decrease of CSF flow in the lumbar subarachnoid space.[24]
Myelography
For patients with recalcitrant spontaneous intracranial hypotension and no leak found on conventional spinal imaging, digital subtraction myelography, CT myelography and dynamic myelography (a modified conventional myelography technique) should be considered to rule out a CSF-venous fistula.[76][7] In addition, presence of a hyperdense paraspinal vein should be investigated in imaging as it is highly suggestive of a CSF venous fistula.[77]
Treatment
Symptomatic treatment usually involves analgesics for both cranial and spinal CSF leaks. Initial measures can include rest, caffeine intake (via coffee or intravenous infusion), and hydration.[32] Corticosteroids may provide transient relief for some patients.[32] An abdominal binder, which increases intracranial pressure by compressing the abdomen, can temporarily relieve symptoms for some people.[78] Sometimes a CSF leak will heal on its own. Otherwise, symptoms may last months or even years.
Epidural blood patch

The treatment of choice for this condition is the surgical application of epidural blood patches,[27][79][80] which has a higher success rate than conservative treatments of bed rest and hydration.[81] Through the injection of a person's own blood into the area of the hole in the dura, an epidural blood patch uses blood's clotting factors to clot the sites of holes. The volume of autologous blood and number of patch attempts for patients is highly variable.[27] One-quarter to one-third of those with a sCSFL patients do not have relief of symptoms from epidural blood patching.[24] Finding the location of a cerebrospinal fluid leak is not required prior to using an epidural blood patch as initial lumbar epidural blood patches often provide relief of symptoms and resolve the leak without further intervention.[34]
Fibrin glue sealant
If blood patches alone do not succeed in closing the dural tears, placement of percutaneous fibrin glue can be used in place of blood patching, raising the effectiveness of forming a clot and arresting CSF leakage.[11][24][82]
Surgical drain technique
In extreme cases of intractable CSF leak, a surgical lumbar drain has been used.[83][84][85] This procedure is believed to decrease spinal CSF volume while increasing intracranial CSF pressure and volume.[83] This procedure restores normal intracranial CSF volume and pressure while promoting the healing of dural tears by lowering the pressure and volume in the dura.[83][85] This procedure has led to positive results leading to relief of symptoms for up to one year.[83][84]
Neurosurgical repair
Surgery to treat a CSF-venous fistula in CSF leak patients is highly effective.[86] Neurosurgery is available to directly repair leaking meningeal diverticula. The areas of dura leak can be tied together in a process called ligation and then a metal clip can be placed in order to hold the ligation closed.[24] Alternatively, a small compress called a pledget can be placed over the dura leak and then sealed with gel foam and fibrin glue.[24] Primary suturing is rarely able to repair a CSF leak, and in some patients exploration of the dura may be required to properly locate all sites of CSF leak.[24]
Adjunct measures
The use of antibiotics to prevent meningitis in those with a CSF leak due to a basilar skull fracture is of unclear benefit.[87]
Prognosis
Long-term outcomes for people with sCSFLS remain poorly studied.[24] Symptoms may resolve in as little as two weeks, or persist for months.[32] Less commonly, patients may have unremitting symptoms for many years.[23][32][42][57] People with chronic sCSFLS may be disabled and unable to work.[24][28] Recurrent CSF leak at an alternate site after recent repair is common.[88]
Epidemiology
A 1994 community-based study indicated that two out of every 100,000 people with a sCSF, while a 2004 emergency room-based study indicated five per 100,000.[24][42] sCSF leaks generally affect the young and middle aged;[83] the average age for onset is 42.3 years, but onset can range from ages 22 to 61.[89] In an 11-year study, women were found to be twice as likely to be affected as men.[90][91]
Studies have shown that sCSF leaks runs in families. It is suspected that genetic similarity in families includes weakness in the dura mater which leads to a sCSFL.[24][92] Large scale population-based studies have not yet been conducted.[42] While a majority of sCSF leaks continue to be undiagnosed or misdiagnosed, an actual increase in occurrence is unlikely.[42]
History
Spontaneous CSF leaks have been described by notable physicians and reported in medical journals dating back to the early 1900s.[93][94] German neurologist Georg Schaltenbrand reported in 1938 and 1953 what he termed "aliquorrhea", a condition marked by very low, unobtainable, or even negative CSF pressures. The symptoms included orthostatic headaches and other features that are now recognized as spontaneous intracranial hypotension. A few decades earlier, the same syndrome had been described in French literature as "hypotension of spinal fluid" and "ventricular collapse". In 1940, Henry Woltman of the Mayo Clinic wrote about "headaches associated with decreased intracranial pressure". The full clinical manifestations of intracranial hypotension and CSF leaks were described in several publications reported between the 1960s and early 1990s.[94] Modern reports of spontaneous CSF leak have been reported to medical journals since the late 1980s.[95]
Research
Tetracosactide is a corticosteroid that causes the brain to produce additional spinal fluid to replace the volume of the lost CSF and alleviate symptoms, and has been given intravenously to treat CSF leaks.[96][97]
In three small studies of 1-2 patients with recurrent CSF leaks where repeated blood patches failed to form clots and relieve symptoms, the patients received temporary but complete resolution of symptoms with an epidural saline infusion.[98][99] The saline infusion temporarily restores the volume necessary for a patient to avoid SIH until the leak can be repaired properly.[24] Intrathecal saline infusion is used in urgent cases such as intractable pain or decreased consciousness.[24]
The gene TGFBR2 has been implicated in several connective tissue disorders including Marfan syndrome, arterial tortuosity, and thoracic aortic aneurysm. A study of people with a sCSF leak demonstrated no mutations in this gene.[24] Minor features of Marfan syndrome have been found in 20% of CSF leak patients. Abnormal findings of fibrillin-1 have been documented in these CSF leak patients, but only one patient demonstrated a fibrillin-1 defect consistent with Marfan syndrome.[24][100]
See also
References
- ^ MedlinePlus Encyclopedia: CSF leak
- ^ Tai, YC; Tai, YS; Ou, CH; Lui, CC; Wang, HK; Kuo, HC; Hsu, SP (2 March 2022). "Treatment, Outcome, and Relapse of Spontaneous and Nonspontaneous Cerebrospinal Fluid Leak". Brain Sciences. 12 (3): 340. doi:10.3390/brainsci12030340. PMC 8945904. PMID 35326296.
- ^ Cerebrospinal Fluid Leak Imaging at eMedicine
- ^ Simon, LV; Newton, EJ (January 2023). Basilar Skull Fractures. PMID 29261908.
- ^ a b "Are all CSF leaks similar?". Spinal CSF Leak Foundation. 29 April 2018.
- ^ a b Kranz, Peter G.; Luetmer, Patrick H.; Diehn, Felix E.; Amrhein, Timothy J.; Tanpitukpongse, Teerath Peter; Gray, Linda (2015-12-23). "Myelographic Techniques for the Detection of Spinal CSF Leaks in Spontaneous Intracranial Hypotension". American Journal of Roentgenology. 206 (1): 8–19. doi:10.2214/AJR.15.14884. ISSN 0361-803X. PMID 26700332. S2CID 5430158.
- ^ a b Kranz, Peter G.; Amrhein, Timothy J.; Gray, Linda (December 2017). "CSF Venous Fistulas in Spontaneous Intracranial Hypotension: Imaging Characteristics on Dynamic and CT Myelography". AJR. American Journal of Roentgenology. 209 (6): 1360–1366. doi:10.2214/AJR.17.18351. ISSN 1546-3141. PMID 29023155.
- ^ a b c Kranz, Peter G.; Gray, Linda; Malinzak, Michael D.; Amrhein, Timothy J. (2019-11-01). "Spontaneous Intracranial Hypotension: Pathogenesis, Diagnosis, and Treatment". Neuroimaging Clinics of North America. Minimally Invasive Image-Guided Spine Interventions. 29 (4): 581–594. doi:10.1016/j.nic.2019.07.006. ISSN 1052-5149. PMID 31677732. S2CID 202812955.
- ^ Reinstein, E; Pariani, M; Bannykh, S; Rimoin, D; Schievink, WI (April 2013). "Connective tissue spectrum abnormalities associated with spontaneous cerebrospinal fluid leaks: a prospective study". European Journal of Human Genetics. 21 (4): 386–390. doi:10.1038/ejhg.2012.191. PMC 3598315. PMID 22929030.
- ^ Lloyd, K. M.; Delgaudio, J. M.; Hudgins, P. A. (2008). "Imaging of Skull Base Cerebrospinal Fluid Leaks in Adults". Radiology. 248 (3): 725–36. doi:10.1148/radiol.2483070362. PMID 18710972.
- ^ a b c Gordon, N. (2009). "Spontaneous intracranial hypotension". Developmental Medicine & Child Neurology. 51 (12): 932–935. doi:10.1111/j.1469-8749.2009.03514.x. PMID 19909307. S2CID 39157001.
- ^ a b c d "CSF leak (Cerebrospinal fluid leak) - Symptoms and causes". Mayo Clinic. Retrieved 16 January 2024.
- ^ Tam, EK; Gilbert, AL (November 2019). "Spontaneous cerebrospinal fluid leak and idiopathic intracranial hypertension". Current Opinion in Ophthalmology. 30 (6): 467–471. doi:10.1097/ICU.0000000000000603. PMID 31449087. S2CID 201748704.
- ^ a b D'Antona, L; Jaime Merchan, MA; Vassiliou, A; Watkins, LD; Davagnanam, I; Toma, AK; Matharu, MS (1 March 2021). "Clinical Presentation, Investigation Findings, and Treatment Outcomes of Spontaneous Intracranial Hypotension Syndrome: A Systematic Review and Meta-analysis". JAMA Neurology. 78 (3): 329–337. doi:10.1001/jamaneurol.2020.4799. PMC 7783594. PMID 33393980.
- ^ Mokri, B. (2013). "Spontaneous low pressure, low CSF volume headaches: spontaneous CSF leaks". Headache: The Journal of Head and Face Pain. 53 (7): 1034–1053. doi:10.1111/head.12149. PMID 23808630. S2CID 44300449.
- ^ Mamlouk, MD; Shen, PY; Jun, P; Sedrak, MF (July 2022). "Spontaneous Spinal CSF Leaks Stratified by Age, Body Mass Index, and Spinal Level". AJNR. American Journal of Neuroradiology. 43 (7): 1068–1072. doi:10.3174/ajnr.A7548. PMC 9262061. PMID 35738670.
- ^ a b c Lashkarivand, A; Eide, PK (October 2023). "Brain Sagging Dementia". Current Neurology and Neuroscience Reports. 23 (10): 593–605. doi:10.1007/s11910-023-01297-9. PMC 10590313. PMID 37676440.
- ^ Dobrocky, T; Nicholson, P; Häni, L; et al. (April 2022). "Spontaneous intracranial hypotension: searching for the CSF leak". The Lancet. Neurology. 21 (4): 369–380. doi:10.1016/S1474-4422(21)00423-3. PMID 35227413. S2CID 247111571.
- ^ Chan, SM; Chodakiewitz, YG; Maya, MM; Schievink, WI; Moser, FG (May 2019). "Intracranial Hypotension and Cerebrospinal Fluid Leak". Neuroimaging Clinics of North America. 29 (2): 213–226. doi:10.1016/j.nic.2019.01.002. PMID 30926112. S2CID 86400418.
- ^ Greenberg, Mark (2006). Handbook of neurosurgery. New York, NY: Thieme Medical Publishers. p. 178. ISBN 978-0-86577-909-9. Retrieved 18 December 2009.
- ^ Neil R. Miller; William Fletcher Hoyt (2005). Walsh and Hoyt's clinical neuro-ophthalmology. Lippincott Williams & Wilkins. pp. 1303–. ISBN 978-0-7817-4811-7. Retrieved 8 November 2010.
- ^ Mokri, B. (1999). "Spontaneous cerebrospinal fluid leaks: from intracranial hypotension to cerebrospinal fluid hypovolemia--evolution of a concept". Mayo Clinic Proceedings. 74 (11): 1113–1123. doi:10.4065/74.11.1113. PMID 10560599.
- ^ a b c d e f g h i j Schievink, WI (2000). "Spontaneous spinal cerebrospinal fluid leaks: a review". Neurosurgical Focus. 9 (1): 1–9. doi:10.3171/foc.2000.9.1.8. PMID 16859269.
- ^ a b c d e f g h i j k l m n o p q r s t u v w x y z aa ab ac ad ae Schievink, W. I. (2008). "Spontaneous spinal cerebrospinal fluid leaks". Cephalalgia: An International Journal of Headache. 28 (12): 1345–1356. doi:10.1111/j.1468-2982.2008.01776.x. PMID 19037970. S2CID 40813766.
- ^ a b Vaidhyanath, R.; Kenningham, R.; Khan, A.; Messios, N. (2007). "Spontaneous intracranial hypotension: a cause of severe acute headache". Emergency Medicine Journal. 24 (10): 739–741. doi:10.1136/emj.2007.048694. PMC 2658456. PMID 17901290.
- ^ Schievink, W.; Palestrant, D.; Maya, M.; Rappard, G. (2009). "Spontaneous spinal cerebrospinal fluid leak as a cause of coma after craniotomy for clipping of an unruptured intracranial aneurysm". Journal of Neurosurgery. 110 (3): 521–524. doi:10.3171/2008.9.JNS08670. PMID 19012477.
- ^ a b c Mehta, B.; Tarshis, J. (2009). "Repeated large-volume epidural blood patches for the treatment of spontaneous intracranial hypotension". Canadian Journal of Anesthesia. 56 (8): 609–13. doi:10.1007/s12630-009-9121-y. PMID 19495908.
- ^ a b Mea, E.; Chiapparini, L.; Savoiardo, M.; Franzini, A.; Bussone, G.; Leone, M. (2009). "Clinical features and outcomes in spontaneous intracranial hypotension: a survey of 90 consecutive patients". Neurological Sciences. 30 (S1): S11 – S13. doi:10.1007/s10072-009-0060-8. PMID 19415418. S2CID 33678574.
- ^ a b c Victor, Maurice; Ropper, Allan H.; Adams, Raymond Delacy; Brown, Robert F. (2005). Adams and Victor's principles of neurology. New York: McGraw-Hill Medical Pub. Division. pp. 541–543. ISBN 978-0-07-141620-7.
- ^ Leep Hunderfund, A. N.; Mokri, B. (2011). "Second-half-of-the-day headache as a manifestation of spontaneous CSF leak". Journal of Neurology. 259 (2): 306–10. doi:10.1007/s00415-011-6181-z. PMID 21811806. S2CID 43308694.
- ^ "CSF Leak: A Curable Cause of Headache". www.cedars-sinai.edu. Archived from the original on 2018-08-01. Retrieved 2018-08-01.
- ^ a b c d e f g h Spears, R. C. (2014). "Low-pressure/spinal fluid leak headache". Current Pain and Headache Reports. 18 (6): 1–6. doi:10.1007/s11916-014-0425-4. PMID 24760494. S2CID 22162918.
- ^ a b Hofmann, E.; Behr, R.; Schwager, K. (2009). "Imaging of cerebrospinal fluid leaks". Klinische Neuroradiologie. 19 (2): 111–121. doi:10.1007/s00062-009-9008-x. PMID 19636501. S2CID 13544316.
- ^ a b c d e Schievink, Wouter I. (2 December 2021). Ropper, Allan H. (ed.). "Spontaneous Intracranial Hypotension". New England Journal of Medicine. 385 (23): 2173–2178. doi:10.1056/NEJMra2101561. PMID 34874632. S2CID 244829127.
- ^ Mokri, Bahram (December 2014). "Movement disorders associated with spontaneous CSF leaks: a case series". Cephalalgia: An International Journal of Headache. 34 (14): 1134–1141. doi:10.1177/0333102414531154. ISSN 1468-2982. PMID 24728303. S2CID 3100453.
- ^ "Headache Secondary to Intracranial Hypotension, Schievink, W and Deline, C". www.researchgate.net. Retrieved 2018-09-22.
- ^ Schievink, W. I.; Louy, C. (2007). "Precipitating Factors of Spontaneous Spinal Csf Leaks and Intracranial Hypotension". Neurology. 69 (7): 700–702. doi:10.1212/01.wnl.0000267324.68013.8e. PMID 17698794. S2CID 43132714.
- ^ a b Beck, Jürgen; et al. (2018). "Diagnostic challenges and therapeutic possibilities in spontaneous intracranial hypotension". Clinical and Translational Neuroscience. 2 (2): 2514183X1878737. doi:10.1177/2514183X18787371.
- ^ a b Feichter I. (2019). "Intradural non-calcified thoracic disc herniation causing spontaneous intracranial hypotension: a case report". BMC Surg. 19 (66): 66. doi:10.1186/s12893-019-0527-3. PMC 6588915. PMID 31226967.
- ^ Yee, TJ; Swong, K; Park, P (March 2020). "Complications of anterior cervical spine surgery: a systematic review of the literature". Journal of Spine Surgery. 6 (1): 302–322. doi:10.21037/jss.2020.01.14. PMC 7154369. PMID 32309668.
- ^ Syre, P; Bohman, LE; Baltuch, G; Le Roux, P; Welch, WC (15 July 2014). "Cerebrospinal fluid leaks and their management after anterior cervical discectomy and fusion: a report of 13 cases and a review of the literature". Spine. 39 (16): E936-43. doi:10.1097/BRS.0000000000000404. PMID 25010015. S2CID 20105020.
- ^ a b c d e f g h i Schievink, W. I. (2006). "Spontaneous Spinal Cerebrospinal Fluid Leaks and Intracranial Hypotension". Journal of the American Medical Association. 295 (19): 2286–96. doi:10.1001/jama.295.19.2286. PMID 16705110.
- ^ a b Liu, F. -C.; Fuh, J. -L.; Wang, Y. -F.; Wang, S. -J. (2011). "Connective tissue disorders in patients with spontaneous intracranial hypotension". Cephalalgia. 31 (6): 691–695. doi:10.1177/0333102410394676. PMID 21220378. S2CID 21554078.
- ^ Mokri, B. (2007). "Familial Occurrence of Spontaneous Spinal CSF Leaks: Underlying Connective Tissue Disorder (CME)". Headache: The Journal of Head and Face Pain. 48 (1): 146–149. doi:10.1111/j.1526-4610.2007.00979.x. PMID 18184297. S2CID 32994607.
- ^ a b Franzini, A.; Messina, G.; Nazzi, V.; Mea, E.; Leone, M.; Chiapparini, L.; Broggi, G.; Bussone, G. (2009). "Spontaneous intracranial hypotension syndrome: a novel speculative physiopathological hypothesis and a novel patch method in a series of 28 consecutive patients". Journal of Neurosurgery. 112 (2): 300–6. doi:10.3171/2009.6.JNS09415. PMID 19591547. S2CID 207609670.
- ^ a b Woodworth, B. A.; Palmer, J. N. (2009). "Spontaneous cerebrospinal fluid leaks". Current Opinion in Otolaryngology & Head and Neck Surgery. 17 (1): 59–65. doi:10.1097/MOO.0b013e3283200017. PMID 19225307. S2CID 35820893.
- ^ Schlosser, RJ; Wilensky, EM; Grady, MS; Bolger, WE (2003). "Elevated intracranial pressures in spontaneous cerebrospinal fluid leaks". American Journal of Rhinology. 17 (4): 191–5. doi:10.1177/194589240301700403. PMID 12962187. S2CID 39030096.
- ^ Schievink, WI; Jacques, L (2003). "Recurrent spontaneous spinal cerebrospinal fluid leak associated with "nude nerve root" syndrome: case report". Neurosurgery. 53 (5): 1216–8, discussion 1218–9. doi:10.1227/01.NEU.0000089483.30857.11. PMID 14580290. S2CID 10793428.
- ^ Kim, K. T.; Kim, Y. B. (2010). "Spontaneous Intracranial Hypotension Secondary to Lumbar Disc Herniation". Journal of Korean Neurosurgical Society. 47 (1): 48–50. doi:10.3340/jkns.2010.47.1.48. PMC 2817515. PMID 20157378.
- ^ Ragab, Ashraf; Facharzt, Khalid Noman (2014). "Caffeine, is it effective for prevention of postdural puncture headache in young adult patients?". Egyptian Journal of Anaesthesia. 30 (2): 181–186. doi:10.1016/j.egja.2013.11.005. S2CID 71403201.
- ^ "Iatrogenic CSF Leaks from Lumbar Punctures – a commentary". 20 February 2015.
- ^ "Cerebrospinal Fluid (CSF) Leak: Symptoms & Treatment".
- ^ "Cerebrospinal Fluid Leak (CSF Leak) FAQ".
- ^ a b Mokri, B (2001). "Spontaneous intracranial hypotension". Current Pain and Headache Reports. 5 (3): 284–91. doi:10.1007/s11916-001-0045-7. PMID 11309218. S2CID 30963142.
- ^ a b c Abuabara, A (2007). "Cerebrospinal fluid rhinorrhoea: diagnosis and management". Medicina Oral, Patologia Oral y Cirugia Bucal. 12 (5): E397–400. PMID 17767107.
- ^ Stenzel, M.; Preuss, S.; Orloff, L.; Jecker, P.; Mann, W. (2005). "Cerebrospinal Fluid Leaks of Temporal Bone Origin: Etiology and Management". ORL; Journal for Oto-Rhino-Laryngology and Its Related Specialties. 67 (1): 51–5. doi:10.1159/000084306. PMID 15753623. S2CID 24434779.
- ^ a b c Schwedt, TJ; Dodick, DW (2007). "Spontaneous intracranial hypotension". Current Pain and Headache Reports. 11 (1): 56–61. doi:10.1007/s11916-007-0023-9. PMID 17214923. S2CID 36869290.
- ^ a b "Spontaneous Spinal Cerebrospinal Fluid Leaks: Diagnosis".
- ^ Schievink, W. I.; Maya, M. M. (2006). "Quadriplegia and cerebellar hemorrhage in spontaneous intracranial hypotension". Neurology. 66 (11): 1777–8. doi:10.1212/01.wnl.0000218210.83855.40. PMID 16769965. S2CID 42704428.
- ^ Alonso Cánovas, A; Martínez San Millán, J; Novillo López, ME; Masjuán Vallejo, J (2008). "Third cranial nerve palsy due to intracranial hypotension syndrome". Neurologia (Barcelona, Spain). 23 (7): 462–5. PMID 18726726.
- ^ Sayao, AL; Heran, MK; Chapman, K; Redekop, G; Foti, D (2009). "Intracranial hypotension causing reversible frontotemporal dementia and coma". The Canadian Journal of Neurological Sciences. 36 (2): 252–6. doi:10.1017/s0317167100006636. PMID 19378725.
- ^ Ferrante, E.; Arpino, I.; Citterio, A.; Savino, A. (2009). "Coma resulting from spontaneous intracranial hypotension treated with the epidural blood patch in the Trendelenburg position pre-medicated with acetazolamide". Clinical Neurology and Neurosurgery. 111 (8): 699–702. doi:10.1016/j.clineuro.2009.06.001. PMID 19577356. S2CID 2457796.
- ^ Schievink, W. I.; Moser, F. G.; Pikul, B. K. (2007). "Reversal of coma with an injection of glue". The Lancet. 369 (9570): 1402. doi:10.1016/S0140-6736(07)60636-9. PMID 17448827. S2CID 5350377.
- ^ Michael Schuenke; Udo Schumacher; Erik Schulte; Edward D. Lamperti; Lawrence M. Ross (2007). Head and neuroanatomy. Thieme. ISBN 978-3-13-142101-2. Retrieved 8 November 2010.
- ^ Inamasu, J.; Guiot, B. (2006). "Intracranial hypotension with spinal pathology". The Spine Journal. 6 (5): 591–9. doi:10.1016/j.spinee.2005.12.026. PMID 16934734.
- ^ a b Schievink, W. I.; Maya, M. M.; Moser, F.; Tourje, J.; Torbati, S. (2007). "Frequency of spontaneous intracranial hypotension in the emergency department". The Journal of Headache and Pain. 8 (6): 325–328. doi:10.1007/s10194-007-0421-8. PMC 3476164. PMID 18071632.
- ^ Schievink, W. I. (2003). "Misdiagnosis of Spontaneous Intracranial Hypotension". Archives of Neurology. 60 (12): 1713–8. doi:10.1001/archneur.60.12.1713. PMID 14676045.
- ^ Schievink, W. I.; Tourje, J. (2007). "Upright MRI in Spontaneous Spinal Cerebrospinal Fluid Leaks and Intracranial Hypotension". Headache: The Journal of Head and Face Pain. 47 (9): 1345–6. doi:10.1111/j.1526-4610.2007.00934.x. PMID 17927653. S2CID 19223351.
- ^ a b Freeman, MD; Rosa, S; Harshfield, D; Smith, F; Bennett, R; Centeno, C. J.; Kornel, E; Nystrom, A; Heffez, D; Kohles, S. S. (2010). "A case-control study of cerebellar tonsillar ectopia (Chiari) and head/neck trauma (whiplash)". Brain Injury. 24 (7–8): 988–94. doi:10.3109/02699052.2010.490512. PMID 20545453. S2CID 9553904.
- ^ Wang, Y. -F.; Lirng, J. -F.; Fuh, J. -L.; Hseu, S. -S.; Wang, S. -J. (2009). "Heavily T2-weighted MR myelography vs CT myelography in spontaneous intracranial hypotension". Neurology. 73 (22): 1892–8. doi:10.1212/WNL.0b013e3181c3fd99. PMID 19949036. S2CID 22189395.
- ^ O'Cearbhaill, Roisin M.; Kavanagh, Eoin C. (March 2018). "Beta-2 Transferrin and IR". Journal of Vascular and Interventional Radiology. 29 (3): 439. doi:10.1016/j.jvir.2017.10.002. ISSN 1535-7732. PMID 29455884.
- ^ "CSF Otorrhea: Practice Essentials, Epidemiology, Etiology". 28 November 2023. Retrieved 13 January 2024.
- ^ Kelley, G (2004). "CSF hypovolemia vs intracranial hypotension in "spontaneous intracranial hypotension syndrome"". Neurology. 62 (8): 1453.1–1453. doi:10.1212/wnl.62.8.1453. PMID 15111706. S2CID 35100816.
- ^ Canas, N; Medeiros, E; Fonseca, AT; Palma-Mira, F (2004). "CSF volume loss in spontaneous intracranial hypotension". Neurology. 63 (1): 186–7. doi:10.1212/01.wnl.0000132964.07982.cc. PMID 15249640. S2CID 43332925.
- ^ Mark S. Greenberg (2006). Handbook of neurosurgery. Thieme. pp. 178–. ISBN 978-3-13-110886-9. Retrieved 8 November 2010.
- ^ Schievink, Wouter I.; Moser, Franklin G.; Maya, M. Marcel; Prasad, Ravi S. (June 2016). "Digital subtraction myelography for the identification of spontaneous spinal CSF-venous fistulas". Journal of Neurosurgery. Spine. 24 (6): 960–964. doi:10.3171/2015.10.SPINE15855. ISSN 1547-5646. PMID 26849709.
- ^ Clark, Michael S.; Diehn, Felix E.; Verdoorn, Jared T.; Lehman, Vance T.; Liebo, Greta B.; Morris, Jonathan M.; Thielen, Kent R.; Wald, John T.; Kumar, Neeraj; Luetmer, Patrick H. (January 2018). "Prevalence of hyperdense paraspinal vein sign in patients with spontaneous intracranial hypotension without dural CSF leak on standard CT myelography". Diagnostic and Interventional Radiology (Ankara, Turkey). 24 (1): 54–59. doi:10.5152/dir.2017.17220. ISSN 1305-3612. PMC 5765931. PMID 29217497.
- ^ Schievink, W. I.; Deline, C. R. (2014). "Headache secondary to intracranial hypotension". Current Pain and Headache Reports. 18 (457): 1–9. doi:10.1007/s11916-014-0457-9. PMID 25255993. S2CID 19577501.
- ^ Peng, PW; Farb (2008). "Spontaneous C1-2 CSF leak treated with high cervical epidural blood patch". The Canadian Journal of Neurological Sciences. 35 (1): 102–5. doi:10.1017/s0317167100007654. PMID 18380287.
- ^ Grimaldi, D.; Mea, E.; Chiapparini, L.; Ciceri, E.; Nappini, S.; Savoiardo, M.; Castelli, M.; Cortelli, P.; Carriero, M. R.; Leone, M.; Bussone, G. (2004). "Spontaneous low cerebrospinal pressure: a mini review". Neurological Sciences. 25 (S3): S135 – S137. doi:10.1007/s10072-004-0272-x. PMID 15549523. S2CID 8388459.
- ^ Wang, S.; Lirng, J.; Hseu, S.; Chan, K. (2008). "Spontaneous Intracranial Hypotension Treated by Epidural Blood Patches". Acta Anaesthesiologica Taiwanica. 46 (3): 129–133. doi:10.1016/S1875-4597(08)60007-7. PMID 18809524.
- ^ Schievink, W. I.; Maya, M. M.; Moser, F. M. (2004). "Treatment of spontaneous intracranial hypotension with percutaneous placement of a fibrin sealant". Journal of Neurosurgery. 100 (6): 1098–1100. doi:10.3171/jns.2004.100.6.1098. PMID 15200130.
- ^ a b c d e Schievink, W. I. (2009). "A Novel Technique for Treatment of Intractable Spontaneous Intracranial Hypotension: Lumbar Dural Reduction Surgery". Headache: The Journal of Head and Face Pain. 49 (7): 1047–1051. doi:10.1111/j.1526-4610.2009.01450.x. PMID 19473279. S2CID 25817793.
- ^ a b Kitchel, SH; Eismont, FJ; Green, BA (1989). "Closed subarachnoid drainage for management of cerebrospinal fluid leakage after an operation on the spine". The Journal of Bone and Joint Surgery. American Volume. 71 (7): 984–7. doi:10.2106/00004623-198971070-00004. PMID 2760094.
- ^ a b Roosendaal, C. M.; Coppes, M. H.; Vroomen, P. C. A. J. (2009). "The paradox of intracranial hypotension responding well to CSF drainage". European Journal of Neurology. 16 (12): e178–9. doi:10.1111/j.1468-1331.2009.02803.x. PMID 19863649. S2CID 6165146.
- ^ Wang, Timothy Y.; Karikari, Isaac O.; Amrhein, Timothy J.; Gray, Linda; Kranz, Peter G. (2020-03-01). "Clinical Outcomes Following Surgical Ligation of Cerebrospinal Fluid-Venous Fistula in Patients With Spontaneous Intracranial Hypotension: A Prospective Case Series". Operative Neurosurgery (Hagerstown, Md.). 18 (3): 239–245. doi:10.1093/ons/opz134. ISSN 2332-4260. PMID 31134267.
- ^ Ratilal, BO; Costa, J; Pappamikail, L; Sampaio, C (28 April 2015). "Antibiotic prophylaxis for preventing meningitis in patients with basilar skull fractures". The Cochrane Database of Systematic Reviews. 2015 (4): CD004884. doi:10.1002/14651858.CD004884.pub4. PMC 10554555. PMID 25918919.
- ^ Schievink, W. I.; Maya, M. M.; Riedinger, M. (2003). "Recurrent spontaneous spinal cerebrospinal fluid leaks and intracranial hypotension: a prospective study". Journal of Neurosurgery. 99 (5): 840–842. doi:10.3171/jns.2003.99.5.0840. PMID 14609162.
- ^ Schievink, W. I.; Morreale, V. M.; Atkinson, J. L. D.; Meyer, F. B.; Piepgras, D. G.; Ebersold, M. J. (1998). "Surgical treatment of spontaneous spinal cerebrospinal fluid leaks". Journal of Neurosurgery. 88 (2): 243–246. doi:10.3171/jns.1998.88.2.0243. PMID 9452231. S2CID 9548722.
- ^ Ferrante, E.; Wetzl, R.; Savino, A.; Citterio, A.; Protti, A. (2004). "Spontaneous cerebrospinal fluid leak syndrome: report of 18 cases". Neurological Sciences. 25. Suppl 3 (S3): S293 – S295. doi:10.1007/s10072-004-0315-3. PMID 15549566. S2CID 19720469.
- ^ Schievink, W.; Maya, M.; Pikul, B.; Louy, C. (2009). "Spontaneous spinal cerebrospinal fluid leaks as the cause of subdural hematomas in elderly patients on anticoagulation". Journal of Neurosurgery. 112 (2): 295–299. doi:10.3171/2008.10.JNS08428. PMID 19199465.
- ^ Larrosa, D; Vázquez, J; Mateo, I; Infante, J (2009). "Familial spontaneous intracranial hypotension". Neurologia (Barcelona, Spain). 24 (7): 485–7. PMID 19921558.
- ^ Schaltenbrand, G (1953). "Normal and pathological physiology of the cerebrospinal fluid circulation". Lancet. 1 (6765): 805–8. doi:10.1016/S0140-6736(53)91948-5. PMID 13036182.
- ^ a b Mokri, B (2000). "Cerebrospinal fluid volume depletion and its emerging clinical/imaging syndromes". Neurosurgical Focus. 9 (1): 1–7. doi:10.3171/foc.2000.9.1.6. PMID 16859267.
- ^ Rupp, S. M.; Wilson, C. B. (1989). "Treatment of spontaneous cerebrospinal fluid leak with epidural blood patch". Journal of Neurosurgery. 70 (5): 808–10. doi:10.3171/jns.1989.70.5.0808. PMID 2709124.
- ^ Carter, B.; Pasupuleti, R. (2000). "Use of intravenous cosyntropin in the treatment of postdural puncture headache". Anesthesiology. 92 (1): 272–274. doi:10.1097/00000542-200001000-00043. PMID 10638928.
- ^ Cánovas, L; Barros, C; Gómez, A; Castro, M; Castro, A (2002). "Use of intravenous tetracosactin in the treatment of postdural puncture headache: our experience in forty cases". Anesthesia and Analgesia. 94 (5): 1369. doi:10.1097/00000539-200205000-00069. PMID 11973227. S2CID 43200053.
- ^ Rouaud, T.; Lallement, F.; Choui, R.; Madigand, M. (2009). "Traitement de l'hypotension spontanée du liquide cérébrospinal par perfusion épidurale de sérum salé isotonique". Revue Neurologique. 165 (2): 201–5. doi:10.1016/j.neurol.2008.05.006. PMID 19010507.
- ^ Binder, DK; Dillon, WP; Fishman, RA; Schmidt, MH (2002). "Intrathecal saline infusion in the treatment of obtundation associated with spontaneous intracranial hypotension: technical case report". Neurosurgery. 51 (3): 830–6, discussion 836–7. doi:10.1097/00006123-200209000-00045. PMID 12188967. S2CID 9552160.
- ^ Schrijver, I.; Schievink, W. I.; Godfrey, M.; Meyer, F. B.; Francke, U. (2002). "Spontaneous spinal cerebrospinal fluid leaks and minor skeletal features of Marfan syndrome: a microfibrillopathy". Journal of Neurosurgery. 96 (3): 483–9. doi:10.3171/jns.2002.96.3.0483. PMID 11883832.

