Balloon cell nevus
| Balloon cell nevus | |
|---|---|
![]() | |
| Specialty | Dermatology |
Balloon cell nevus is a benign nevus.[1] It appears like a melanocytic nevus.[2]
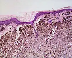
Histologically it is characterized by swollen, pale, polyhedral melanocytes, with pale cytoplasm and a central nucleus.[2] It is different to balloon cell melanoma,[3] which has larger nuclei and is structured like a melanoma.[1]
It was first described by Judalaewitsch in 1901.[3]
Signs and symptoms
Balloon cell nevi can affect the skin, choroid, and conjunctiva. Usually, they appear as elevated, mobile, hyperpigmented masses in the ocular adnexa.[4]
Diagnosis
The characteristics of balloon cells include their relatively large sizes, small, round nuclei positioned in the center, and largely transparent cytoplasm.[3]
Examining under a microscope is particularly crucial when it comes to balloon cell nevi. Progressive vacuolization of melanocytes or nevus cells, caused by the enlargement as well as eventual destruction of melanosomes, results in the formation of balloon cells.[5]
See also
References
- ^ a b James, William D.; Elston, Dirk; Treat, James R.; Rosenbach, Misha A.; Neuhaus, Isaac (2020). "30. Melanocytic nevi and neoplasms: Balloon cell nevus". Andrews' Diseases of the Skin: Clinical Dermatology (13th ed.). Edinburgh: Elsevier. pp. 690–691. ISBN 978-0-323-54753-6.
- ^ a b Johnstone, Ronald B. (2017). "33. Tumors of cutaneous appendages". Weedon's Skin Pathology Essentials (2nd ed.). Elsevier. p. 535. ISBN 978-0-7020-6830-0.
- ^ a b c Paul, Sharad P.; Inskip, Michael (2016). "Balloon Cell Nevi and Balloon Cell Melanomas: What Are They?". Clinical Cases in Skin Cancer Surgery and Treatment. Springer International Publishing. pp. 101–113. doi:10.1007/978-3-319-20937-1_10. ISBN 978-3-319-20936-4.
- ^ Thompson, Jordan M.; Bermudez-Magner, J. Antonio; Barker, Nigel H.; Payne, Darren; Meghpara, Beeran; Dubovy, Sander R. (2015). "Balloon cell nevi of the conjunctiva: Clinicopathologic correlation and literature review". Survey of Ophthalmology. 60 (5). Elsevier BV: 481–485. doi:10.1016/j.survophthal.2014.12.001. ISSN 0039-6257. PMID 26002588.
- ^ MR, Okun; B, Donnellan; L, Edelstein (1974). "An ultrastructural study of balloon cell nevus. Relationship of mast cells to nevus cells". Cancer. 34 (3): 615–625. doi:10.1002/1097-0142(197409)34:3<615::aid-cncr2820340319>3.0.co;2-o. ISSN 0008-543X. PMID 4850558.
Further reading
- Micali, Giuseppe; Verzì, Anna Elisa; Puglisi, Davide F.; Quattrocchi, Enrica; Caltabiano, Rosario; Lacarrubba, Francesco (2021). "Balloon cell nevus in children: Report of three cases of the scalp and review". Pediatric Dermatology. 38 (1): 198–201. doi:10.1111/pde.14372. ISSN 0736-8046.
- Tan, Natalie S.H.; Chia, Shi Yun; Liu, Coni W.; Koh, Mark J.A. (2020). "A rare case of balloon cell nevus of the vulva in an adolescent". Human Pathology: Case Reports. 22 200433. Elsevier BV. doi:10.1016/j.ehpc.2020.200433. ISSN 2214-3300.
